Drug Design and Discovery Research Group, College of Pharmacy and Nutrition, University of Saskatchewan, 110 Science Place, Saskatoon, SK, Canada.
Int J Nanomedicine. 2012;7:3851-66. doi: 10.2147/IJN.S32877. Epub 2012 Jul 19.
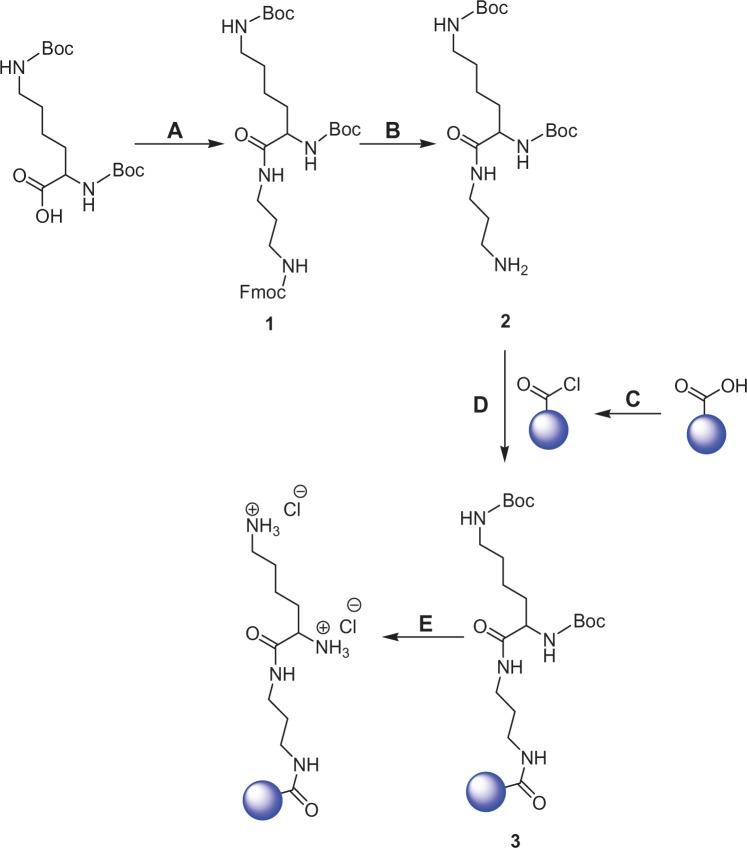
Detonation nanodiamonds (NDs) are carbon-based nanomaterials that, because of their size (4-5 nm), stable inert core, alterable surface chemistry, fluorescence, and biocompatibility, are emerging as bioimaging agents and promising tools for the delivery of biochemical molecules into cellular systems. However, diamond particles possess a strong propensity to aggregate in liquid formulation media, restricting their applicability in biomedical sciences. Here, the authors describe the covalent functionalization of NDs with lysine in an attempt to develop nanoparticles able to act as suitable nonviral vectors for transferring genetic materials across cellular membranes.
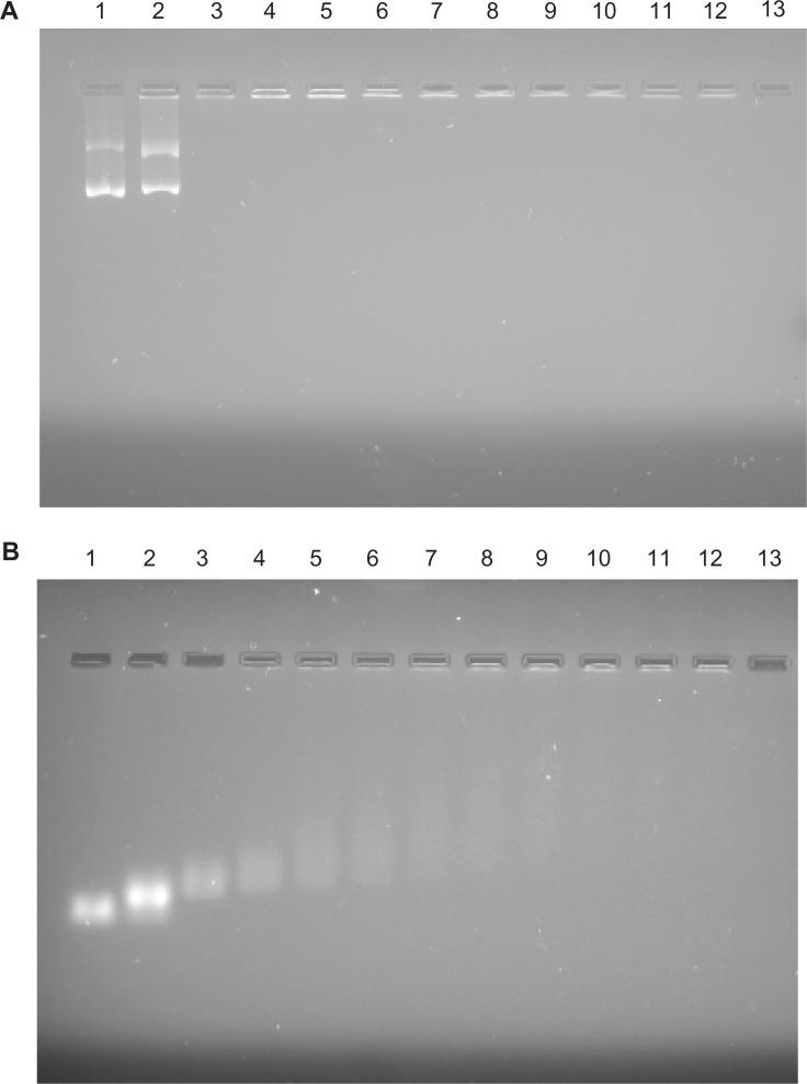
NDs were oxidized and functionalized by binding lysine moieties attached to a three-carbon-length linker (1,3-diaminopropane) to their surfaces through amide bonds. Raman and Fourier transform infrared spectroscopy, zeta potential measurement, dynamic light scattering, atomic force microscopic imaging, and thermogravimetric analysis were used to characterize the lysine-functionalized NDs. Finally, the ability of the functionalized diamonds to bind plasmid DNA and small interfering RNA was investigated by gel electrophoresis assay and through size and zeta potential measurements.
NDs were successfully functionalized with the lysine linker, producing surface loading of 1.7 mmol g(-1) of ND. These modified NDs formed highly stable aqueous dispersions with a zeta potential of 49 mV and particle size of approximately 20 nm. The functionalized NDs were found to be able to bind plasmid DNA and small interfering RNA by forming nanosized "diamoplexes".
The lysine-substituted ND particles generated in this study exhibit stable aqueous formulations and show potential for use as carriers for genetic materials.
爆轰纳米金刚石(NDs)是一种碳基纳米材料,由于其尺寸(4-5nm)、稳定的惰性核心、可改变的表面化学性质、荧光和生物相容性,它们正成为生物成像剂,并有望成为将生化分子递送到细胞系统的工具。然而,金刚石颗粒在液体制剂介质中具有强烈的聚集倾向,限制了它们在生物医学科学中的应用。在这里,作者描述了通过赖氨酸与 NDs 的共价功能化,试图开发能够作为合适的非病毒载体将遗传物质传递穿过细胞膜的纳米颗粒。
NDs 通过酰胺键结合附着在三碳长连接物(1,3-二氨基丙烷)上的赖氨酸片段,从而被氧化和功能化。拉曼和傅里叶变换红外光谱、zeta 电位测量、动态光散射、原子力显微镜成像和热重分析用于表征赖氨酸功能化的 NDs。最后,通过凝胶电泳分析和通过大小和 zeta 电位测量来研究功能化钻石结合质粒 DNA 和小干扰 RNA 的能力。
NDs 成功地与赖氨酸连接物进行了功能化,产生了 1.7mmol/g 的 ND 表面负载。这些修饰的 NDs 形成了高度稳定的水性分散体,zeta 电位为 49mV,粒径约为 20nm。研究发现,功能化的 NDs 通过形成纳米级“二胺复合物”能够结合质粒 DNA 和小干扰 RNA。
本研究中生成的赖氨酸取代 ND 颗粒表现出稳定的水性制剂,并显示出作为遗传物质载体的潜力。