Department of Biochemistry and Microbiology, University of Victoria, Victoria, British Columbia, Canada.
PLoS Pathog. 2012;8(7):e1002822. doi: 10.1371/journal.ppat.1002822. Epub 2012 Jul 26.
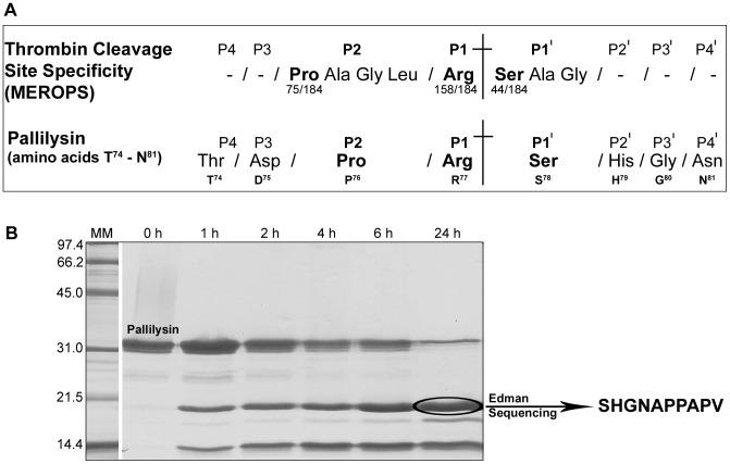
Treponema pallidum is a highly invasive pathogen that undergoes rapid dissemination to establish widespread infection. Previous investigations identified the T. pallidum adhesin, pallilysin, as an HEXXH-containing metalloprotease that undergoes autocatalytic cleavage and degrades laminin and fibrinogen. In the current study we characterized pallilysin's active site, activation requirements, cellular location, and fibrin clot degradation capacity through both in vitro assays and heterologous treponemal expression and degradation studies. Site-directed mutagenesis showed the pallilysin HEXXH motif comprises at least part of the active site, as introduction of three independent mutations (AEXXH [H¹⁹⁸A], HAXXH [E¹⁹⁹A], and HEXXA [H²⁰²A]) abolished pallilysin-mediated fibrinogenolysis but did not adversely affect host component binding. Attainment of full pallilysin proteolytic activity was dependent upon autocatalytic cleavage of an N-terminal pro-domain, a process which could not occur in the HEXXH mutants. Pallilysin was shown to possess a thrombin cleavage site within its N-terminal pro-domain, and in vitro studies confirmed cleavage of pallilysin with thrombin generates a truncated pallilysin fragment that has enhanced proteolytic activity, suggesting pallilysin can also exploit the host coagulation process to facilitate protease activation. Opsonophagocytosis assays performed with viable T. pallidum demonstrated pallilysin is a target of opsonic antibodies, consistent with a host component-interacting, surface-exposed cellular location. Wild-type pallilysin, but not the HEXXA mutant, degraded fibrin clots, and similarly heterologous expression of pallilysin in the non-invasive spirochete Treponema phagedenis facilitated fibrin clot degradation. Collectively these results identify pallilysin as a surface-exposed metalloprotease within T. pallidum that possesses an HEXXH active site motif and requires autocatalytic or host-mediated cleavage of a pro-domain to attain full host component-directed proteolytic activity. Furthermore, our finding that expression of pallilysin confers upon T. phagedenis the capacity to degrade fibrin clots suggests this capability may contribute to the dissemination potential of T. pallidum.
梅毒螺旋体是一种具有高度侵袭性的病原体,能够迅速传播并广泛感染。先前的研究确定了梅毒螺旋体的黏附素——苍白密螺旋体蛋白酶,它是一种含有 HEXXH 的金属蛋白酶,能够自动催化裂解并降解层粘连蛋白和纤维蛋白原。在本研究中,我们通过体外分析和异源苍白密螺旋体表达和降解研究,对苍白密螺旋体蛋白酶的活性位点、激活要求、细胞定位和纤维蛋白凝块降解能力进行了表征。定点突变表明苍白密螺旋体蛋白酶的 HEXXH 基序至少包含部分活性位点,因为引入三个独立的突变(AEXXH[H¹⁹⁸A]、HAXXH[E¹�99A]和 HEXXA[H²⁰²A])会消除苍白密螺旋体蛋白酶介导的纤维蛋白原水解作用,但不会对宿主成分结合产生不利影响。获得完整的苍白密螺旋体蛋白酶活性取决于 N 端前导肽的自动催化裂解,而在 HEXXH 突变体中,该过程无法发生。苍白密螺旋体蛋白酶的 N 端前导肽内含有凝血酶裂解位点,体外研究证实,凝血酶可裂解苍白密螺旋体蛋白酶,生成具有增强蛋白水解活性的截短苍白密螺旋体蛋白酶片段,这表明苍白密螺旋体蛋白酶也可以利用宿主的凝血过程来促进蛋白酶的激活。用活的梅毒螺旋体进行调理吞噬作用试验表明,苍白密螺旋体蛋白酶是调理抗体的靶标,这与表面暴露的细胞定位相一致。野生型苍白密螺旋体蛋白酶,但不是 HEXXA 突变体,降解纤维蛋白凝块,同样地,异源表达苍白密螺旋体蛋白酶在非侵袭性密螺旋体苍白密螺旋体中促进纤维蛋白凝块降解。这些结果共同表明,苍白密螺旋体蛋白酶是梅毒螺旋体表面暴露的金属蛋白酶,具有 HEXXH 活性位点基序,并且需要前导肽的自动催化或宿主介导的裂解,才能获得完全针对宿主成分的蛋白水解活性。此外,我们发现表达苍白密螺旋体蛋白酶赋予苍白密螺旋体降解纤维蛋白凝块的能力,这表明这种能力可能有助于梅毒螺旋体的传播潜力。