• 文献检索
  • 文档翻译
  • 深度研究
  • 学术资讯
  • Suppr Zotero 插件Zotero 插件
  • 邀请有礼
  • 套餐&价格
  • 历史记录
应用&插件
Suppr Zotero 插件Zotero 插件浏览器插件Mac 客户端Windows 客户端微信小程序
定价
高级版会员购买积分包购买API积分包
服务
文献检索文档翻译深度研究API 文档MCP 服务
关于我们
关于 Suppr公司介绍联系我们用户协议隐私条款
关注我们

Suppr 超能文献

核心技术专利:CN118964589B侵权必究
粤ICP备2023148730 号-1Suppr @ 2026

文献检索

告别复杂PubMed语法,用中文像聊天一样搜索,搜遍4000万医学文献。AI智能推荐,让科研检索更轻松。

立即免费搜索

文件翻译

保留排版,准确专业,支持PDF/Word/PPT等文件格式,支持 12+语言互译。

免费翻译文档

深度研究

AI帮你快速写综述,25分钟生成高质量综述,智能提取关键信息,辅助科研写作。

立即免费体验

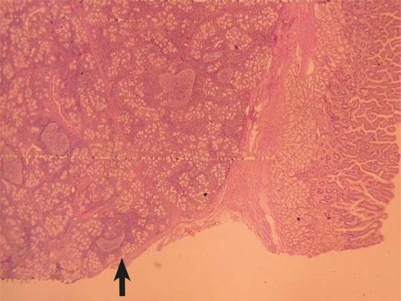
巨大布伦纳氏腺腺瘤作为贫血的不常见病因:病例报告。

Giant Brunner's gland adenoma as an unusual cause of anaemia: report of a case.

机构信息

Department of Surgery, Izmir Bozyaka Training and Research Hospital, Izmir, Turkey.

出版信息

Radiol Oncol. 2011 Jun;45(2):129-31. doi: 10.2478/v10019-010-0053-5. Epub 2010 Dec 31.

DOI:10.2478/v10019-010-0053-5
PMID:22933946
原文链接:https://pmc.ncbi.nlm.nih.gov/articles/PMC3423726/
Abstract

BACKGROUND

Brunner's gland adenoma (BGA) is a rare benign duodenal tumour proliferating from Brunner's glands. Here, we present a giant BGA leading to anaemia, with its clinical, endoscopic, radiological, surgical and pathological findings.

CASE REPORT

A 48-year-old Turkish man complained of a six months history of vague epigastric discomfort, loss of appetite and nausea after meals without vomiting. The physical examination had no unremarkable finding. Laboratory findings, including liver function tests, were within normal limits except a hypochromic, microcytic anaemia. The upper gastrointestinal endoscopic examination revealed a lobulated, red, polypoid tumour with a smooth surface covered with normal mucosa. The tumour was located on the anterior surface of duodenal bulb and had a wide base measuring 3.5 × 4 cm in size. Endoscopic ultrasonography revealed a submucosal polypoid mass located at the anterior surface of duodenal bulb. The endoscopic excision was tried but was not successful. The patient was operated and transduodenal polypectomy was done. The postoperative period was uneventful and the pathologic diagnosis was assessed as Brunner's gland adenoma. During the follow-up period, the endoscopic examination was normal at 12th month postoperatively.

CONCLUSIONS

BGA is a rare benign cause of anaemia that can be treated with excellent results.

摘要

背景

布伦纳氏腺腺瘤(BGA)是一种罕见的良性十二指肠肿瘤,由布伦纳氏腺增生引起。本文报道了一例导致贫血的巨大 BGA,包括其临床表现、内镜、影像学、手术和病理特征。

病例报告

一名 48 岁的土耳其男性,因上腹不适、食欲减退和餐后恶心(无呕吐)6 个月来就诊。体格检查无明显异常。实验室检查除小细胞低色素性贫血外,其余肝功能检查均正常。上消化道内镜检查发现十二指肠球部有一个分叶状、红色、息肉样肿瘤,表面光滑,覆盖正常黏膜。肿瘤位于十二指肠球部前壁,基底较宽,大小为 3.5×4cm。内镜超声检查显示十二指肠球部前壁黏膜下有一个息肉样肿块。尝试内镜切除,但未成功。患者接受了手术,行经十二指肠息肉切除术。术后恢复顺利,病理诊断为布伦纳氏腺腺瘤。术后 12 个月的内镜随访正常。

结论

BGA 是一种罕见的良性贫血病因,治疗效果良好。

https://cdn.ncbi.nlm.nih.gov/pmc/blobs/44ee/3423726/f24af209f8b6/rado-45-02-129f3.jpg
https://cdn.ncbi.nlm.nih.gov/pmc/blobs/44ee/3423726/9350e9152020/rado-45-02-129f1.jpg
https://cdn.ncbi.nlm.nih.gov/pmc/blobs/44ee/3423726/849742cb2647/rado-45-02-129f2.jpg
https://cdn.ncbi.nlm.nih.gov/pmc/blobs/44ee/3423726/f24af209f8b6/rado-45-02-129f3.jpg
https://cdn.ncbi.nlm.nih.gov/pmc/blobs/44ee/3423726/9350e9152020/rado-45-02-129f1.jpg
https://cdn.ncbi.nlm.nih.gov/pmc/blobs/44ee/3423726/849742cb2647/rado-45-02-129f2.jpg
https://cdn.ncbi.nlm.nih.gov/pmc/blobs/44ee/3423726/f24af209f8b6/rado-45-02-129f3.jpg

相似文献

1
Giant Brunner's gland adenoma as an unusual cause of anaemia: report of a case.巨大布伦纳氏腺腺瘤作为贫血的不常见病因:病例报告。
Radiol Oncol. 2011 Jun;45(2):129-31. doi: 10.2478/v10019-010-0053-5. Epub 2010 Dec 31.
2
Brunner's gland adenoma is a rare cause of upper gastrointestinal bleeding: A case report and literature review.布伦纳氏腺腺瘤是上消化道出血的罕见病因:病例报告及文献复习。
Arab J Gastroenterol. 2020 Jun;21(2):122-124. doi: 10.1016/j.ajg.2020.04.006. Epub 2020 Apr 21.
3
Giant Brunner's Gland Adenoma Presenting as Upper Gastrointestinal Bleeding in 76 Years Old Male: A Case Report.76岁男性以消化道出血为表现的巨大Brunner腺腺瘤:病例报告
JNMA J Nepal Med Assoc. 2019 Jan-Feb;57(215):50-52. doi: 10.31729/jnma.4013.
4
Giant Brunner's gland adenoma of the duodenal bulb presenting with ampullary and duodenal obstruction mimicking pancreatic malignancy.十二指肠球部巨大布伦纳腺腺瘤伴壶腹和十二指肠梗阻,酷似胰腺恶性肿瘤。
JOP. 2011 Jul 8;12(4):413-9.
5
[Large Brunner's adenoma of the duodenal bulb--a case report].[十二指肠球部巨大布伦纳腺瘤——病例报告]
Swiss Surg. 1997;3(1):13-6.
6
[The safety and usefulness of endoscopic polypectomy for treatment of Brunner's gland adenomas].
Korean J Gastroenterol. 2004 May;43(5):299-303.
7
Brunner's glands hamartoma with pylorus obstruction: a case report and review of literature.伴有幽门梗阻的布伦纳腺错构瘤:病例报告及文献复习
J Surg Case Rep. 2020 Aug 26;2020(8):rjaa191. doi: 10.1093/jscr/rjaa191. eCollection 2020 Aug.
8
[Endoscopic resection of a giant duodenal Brunner's gland adenoma].[巨大十二指肠布伦纳腺腺瘤的内镜切除]
Korean J Gastroenterol. 2008 Aug;52(2):106-9.
9
Giant Brunner's gland hyperplasia of the duodenum successfully resected by endoscopic mucosal resection: A case report.经内镜黏膜切除术成功切除十二指肠巨大布伦纳腺增生:1例报告
World J Gastrointest Endosc. 2024 Jun 16;16(6):368-375. doi: 10.4253/wjge.v16.i6.368.
10
Giant duodenal Brunner's gland hamartoma successfully treated via endoscopic mucosal resection.经内镜黏膜切除术成功治疗巨大十二指肠布伦纳腺错构瘤。
Arab J Gastroenterol. 2018 Sep;19(3):125-129. doi: 10.1016/j.ajg.2018.08.004. Epub 2018 Sep 20.

引用本文的文献

1
A rare gastric neuroendocrine carcinoma coexisting with Brunner's gland adenoma: A case report.一例罕见的胃神经内分泌癌合并布伦纳腺腺瘤:病例报告
Oncol Lett. 2015 Sep;10(3):1251-1254. doi: 10.3892/ol.2015.3465. Epub 2015 Jul 8.

本文引用的文献

1
CT colonography in detection of colorectal carcinoma.CT 结肠成像术在结直肠癌检测中的应用。
Radiol Oncol. 2010 Mar;44(1):19-23. doi: 10.2478/v10019-010-0012-1. Epub 2010 Mar 18.
2
Surgical management of giant Brunner's gland hamartoma: case report and literature review.巨大Brunner腺错构瘤的手术治疗:病例报告及文献复习
World J Surg Oncol. 2009 Sep 2;7:68. doi: 10.1186/1477-7819-7-68.
3
Giant Brunner's hamartomas of the duodenum and obstructive jaundice. An overview of the literature and suspicion of malignancy in a case.
Dig Surg. 2007;24(6):452-5. doi: 10.1159/000111076. Epub 2007 Nov 15.
4
Brunner's gland hyperplasia and hamartoma: imaging features with clinicopathologic correlation.布鲁纳腺增生与错构瘤:影像学特征与临床病理相关性
AJR Am J Roentgenol. 2006 Sep;187(3):715-22. doi: 10.2214/AJR.05.0564.
5
Large Brunner's gland adenoma: case report and literature review.巨大布伦纳腺腺瘤:病例报告及文献综述
World J Gastroenterol. 2006 Mar 28;12(12):1966-8. doi: 10.3748/wjg.v12.i12.1966.
6
[Tumors of the duodenum. Benign tumors of the duodenum].[十二指肠肿瘤。十二指肠良性肿瘤]
Sem Med. 1959 Sep 10;115:411-8.
7
Tumors of the small intestine. A review of experience with 115 cases including a report of a rare case of malignant hemangio-endothelioma.小肠肿瘤。对115例病例的经验回顾,包括1例罕见的恶性血管内皮瘤病例报告。
Am J Surg. 1962 Mar;103:358-65. doi: 10.1016/0002-9610(62)90226-x.
8
Endosonographic features of Brunner's gland hamartomas which were subsequently resected endoscopically.随后经内镜切除的Brunner腺错构瘤的内镜超声特征。
Endoscopy. 2002 Dec;34(12):956-8. doi: 10.1055/s-2002-35849.
9
Giant Brunneroma as an unusual cause of upper gastrointestinal hemorrhage: report of a case.巨大布伦纳瘤作为上消化道出血的罕见病因:一例报告
Surg Today. 2002;32(10):910-2. doi: 10.1007/s005950200179.
10
Brunner's gland hamartomas: clinical presentation and pathological features of 27 cases.布伦纳腺错构瘤:27例的临床表现及病理特征
Am J Gastroenterol. 1995 Feb;90(2):290-4.