• 文献检索
  • 文档翻译
  • 深度研究
  • 学术资讯
  • Suppr Zotero 插件Zotero 插件
  • 邀请有礼
  • 套餐&价格
  • 历史记录
应用&插件
Suppr Zotero 插件Zotero 插件浏览器插件Mac 客户端Windows 客户端微信小程序
定价
高级版会员购买积分包购买API积分包
服务
文献检索文档翻译深度研究API 文档MCP 服务
关于我们
关于 Suppr公司介绍联系我们用户协议隐私条款
关注我们

Suppr 超能文献

核心技术专利:CN118964589B侵权必究
粤ICP备2023148730 号-1Suppr @ 2026

文献检索

告别复杂PubMed语法,用中文像聊天一样搜索,搜遍4000万医学文献。AI智能推荐,让科研检索更轻松。

立即免费搜索

文件翻译

保留排版,准确专业,支持PDF/Word/PPT等文件格式,支持 12+语言互译。

免费翻译文档

深度研究

AI帮你快速写综述,25分钟生成高质量综述,智能提取关键信息,辅助科研写作。

立即免费体验

一项用于确定单个准直器最佳尺寸的仿体研究,以缩短 CyberKnife 立体定向放射手术中球形靶区的治疗时间。

A phantom study to determine the optimum size of a single collimator for shortening the treatment time in CyberKnife stereotactic radiosurgery of spherical targets.

机构信息

Department of Radiotherapy, Apollo Specialty Hospital, Chennai -600035, India.

出版信息

J Appl Clin Med Phys. 2012 Sep 6;13(5):3864. doi: 10.1120/jacmp.v13i5.3864.

DOI:10.1120/jacmp.v13i5.3864
PMID:22955653
原文链接:https://pmc.ncbi.nlm.nih.gov/articles/PMC5718220/
Abstract

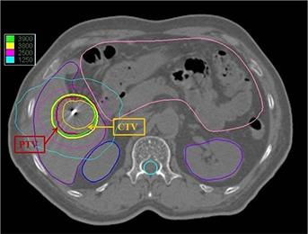
Prolonged treatment execution time is a concern in CyberKnife robotic radiosurgery. Beam reduction and node reduction technique, and monitor unit optimization methods are adopted to reduce the treatment time. Usage of single collimator in the CyberKnife treatment plan can potentially reduce collimator exchange time. An optimal single collimator, which yields an acceptable dose distribution along with minimum number of nodes, beams, and monitor units, can be a versatile alternative for shortening treatment time. The aim of the present study is to find the optimal single collimator in CyberKnife treatment planning to shorten the treatment time with the acceptable dose distribution. A spherical planning target volume PTV1 was drawn in an anthropomorphic head and neck phantom. Plans with same treatment goals were generated for all the 12 collimators independently. D(95%) was selected as the prescribing isodose and the prescribed dose was 10 Gy. The plan of the optimal collimator size was evaluated for conformity, homogeneity, and dose spillage outside the target. The optimum collimator size and the target dimensions were correlated. The study was repeated with two other target volumes PTV2 and PTV3 for generalizing the results. Collimator sizes just above the diameter of the spherical PTVs were yielding least number of nodes and beams with acceptable dose distributions. The collimator size of 35 mm is optimum for the PTV1, whose diameter is 31.4 mm. Similarly, 50 mm collimator is optimum for PTV2 (diameter= 45.2 mm) and 20 mm collimator is optimum for PTV3 (Diameter = 17.3 mm). The total number of monitor units is found to reduce with increasing collimator size. Optimal single collimator is found to be useful for shortening the treatment time in spherical targets. Studies on two clinical targets, (a brain metastasis and a liver metastasis cases) show comparable results with the phantom study.

摘要

在 CyberKnife 机器人放射外科中,治疗执行时间延长是一个关注点。可以采用减少射束和节点数量以及优化监测单位的方法来缩短治疗时间。在 CyberKnife 治疗计划中使用单个准直器可以潜在地减少准直器更换时间。一个最佳的单准直器,可以产生可接受的剂量分布,同时具有最小数量的节点、射束和监测单位,是缩短治疗时间的多功能替代方案。本研究的目的是在 CyberKnife 治疗计划中找到最佳的单准直器,以在可接受的剂量分布下缩短治疗时间。在人体头颈部模型中绘制了一个球形计划靶区(PTV1)。为每个 12 个准直器独立生成具有相同治疗目标的计划。选择 D(95%)作为规定等剂量线,规定剂量为 10 Gy。评估了最佳准直器尺寸的计划的适形性、均匀性和靶区外剂量泄漏。对目标尺寸和最佳准直器尺寸进行了相关性分析。对另外两个靶区 PTV2 和 PTV3 进行了研究,以推广结果。直径略大于球形 PTV 直径的准直器可产生具有可接受剂量分布的最少节点和射束数量。对于 PTV1(直径为 31.4mm),35mm 的准直器是最佳的;对于 PTV2(直径为 45.2mm),50mm 的准直器是最佳的;对于 PTV3(直径为 17.3mm),20mm 的准直器是最佳的。随着准直器尺寸的增加,监测单位的总数减少。研究表明,对于球形靶区,最佳的单准直器可用于缩短治疗时间。对两个临床靶区(脑转移和肝转移病例)的研究结果与模型研究相似。

https://cdn.ncbi.nlm.nih.gov/pmc/blobs/90af/5718220/33bdae475d39/ACM2-13-033-g010.jpg
https://cdn.ncbi.nlm.nih.gov/pmc/blobs/90af/5718220/51c4ab0933e6/ACM2-13-033-g001.jpg
https://cdn.ncbi.nlm.nih.gov/pmc/blobs/90af/5718220/c5efb7483126/ACM2-13-033-g002.jpg
https://cdn.ncbi.nlm.nih.gov/pmc/blobs/90af/5718220/f771efc0a6aa/ACM2-13-033-g003.jpg
https://cdn.ncbi.nlm.nih.gov/pmc/blobs/90af/5718220/00fb7d8fe4aa/ACM2-13-033-g004.jpg
https://cdn.ncbi.nlm.nih.gov/pmc/blobs/90af/5718220/b1f7b02eb0f1/ACM2-13-033-g005.jpg
https://cdn.ncbi.nlm.nih.gov/pmc/blobs/90af/5718220/1636414a7131/ACM2-13-033-g006.jpg
https://cdn.ncbi.nlm.nih.gov/pmc/blobs/90af/5718220/ff390aef0e4c/ACM2-13-033-g007.jpg
https://cdn.ncbi.nlm.nih.gov/pmc/blobs/90af/5718220/eabe57ec78f7/ACM2-13-033-g008.jpg
https://cdn.ncbi.nlm.nih.gov/pmc/blobs/90af/5718220/4223cc3bc465/ACM2-13-033-g009.jpg
https://cdn.ncbi.nlm.nih.gov/pmc/blobs/90af/5718220/33bdae475d39/ACM2-13-033-g010.jpg
https://cdn.ncbi.nlm.nih.gov/pmc/blobs/90af/5718220/51c4ab0933e6/ACM2-13-033-g001.jpg
https://cdn.ncbi.nlm.nih.gov/pmc/blobs/90af/5718220/c5efb7483126/ACM2-13-033-g002.jpg
https://cdn.ncbi.nlm.nih.gov/pmc/blobs/90af/5718220/f771efc0a6aa/ACM2-13-033-g003.jpg
https://cdn.ncbi.nlm.nih.gov/pmc/blobs/90af/5718220/00fb7d8fe4aa/ACM2-13-033-g004.jpg
https://cdn.ncbi.nlm.nih.gov/pmc/blobs/90af/5718220/b1f7b02eb0f1/ACM2-13-033-g005.jpg
https://cdn.ncbi.nlm.nih.gov/pmc/blobs/90af/5718220/1636414a7131/ACM2-13-033-g006.jpg
https://cdn.ncbi.nlm.nih.gov/pmc/blobs/90af/5718220/ff390aef0e4c/ACM2-13-033-g007.jpg
https://cdn.ncbi.nlm.nih.gov/pmc/blobs/90af/5718220/eabe57ec78f7/ACM2-13-033-g008.jpg
https://cdn.ncbi.nlm.nih.gov/pmc/blobs/90af/5718220/4223cc3bc465/ACM2-13-033-g009.jpg
https://cdn.ncbi.nlm.nih.gov/pmc/blobs/90af/5718220/33bdae475d39/ACM2-13-033-g010.jpg

相似文献

1
A phantom study to determine the optimum size of a single collimator for shortening the treatment time in CyberKnife stereotactic radiosurgery of spherical targets.一项用于确定单个准直器最佳尺寸的仿体研究,以缩短 CyberKnife 立体定向放射手术中球形靶区的治疗时间。
J Appl Clin Med Phys. 2012 Sep 6;13(5):3864. doi: 10.1120/jacmp.v13i5.3864.
2
Influence of collimator size on three-dimensional conformal radiotherapy of the cyberknife.
Radiat Med. 2004 Nov-Dec;22(6):442-8.
3
Variable circular collimator in robotic radiosurgery: a time-efficient alternative to a mini-multileaf collimator?机器人放射外科中的可变环形准直器:是否比迷你多叶准直器更有效率?
Int J Radiat Oncol Biol Phys. 2011 Nov 1;81(3):863-70. doi: 10.1016/j.ijrobp.2010.12.052. Epub 2011 Mar 4.
4
Impact of prescription isodose level and collimator selection on dose homogeneity and plan quality in robotic radiosurgery.机器人放射外科中处方等剂量线和准直器选择对剂量均匀性和计划质量的影响。
Strahlenther Onkol. 2022 May;198(5):484-496. doi: 10.1007/s00066-021-01872-4. Epub 2021 Dec 9.
5
Dosimetric feasibility of brain stereotactic radiosurgery with a 0.35 T MRI-guided linac and comparison vs a C-arm-mounted linac.使用0.35 T MRI引导直线加速器进行脑部立体定向放射外科手术的剂量学可行性及与C形臂安装直线加速器的比较。
Med Phys. 2020 Nov;47(11):5455-5466. doi: 10.1002/mp.14503. Epub 2020 Oct 18.
6
Impact of collimator leaf width on stereotactic radiosurgery and 3D conformal radiotherapy treatment plans.准直器叶片宽度对立体定向放射外科和三维适形放射治疗计划的影响。
Int J Radiat Oncol Biol Phys. 1999 Jul 1;44(4):937-45. doi: 10.1016/s0360-3016(99)00041-3.
7
End-to-end testing of automatic plan optimization using RayStation scripting for hypofractionated multimetastatic brain stereotactic radiosurgery.使用RayStation脚本对多分次多转移灶脑立体定向放射外科的自动计划优化进行端到端测试。
Med Dosim. 2019;44(4):e44-e50. doi: 10.1016/j.meddos.2018.12.006. Epub 2019 Jan 14.
8
A new plan quality objective function for determining optimal collimator combinations in prostate cancer treatment with stereotactic body radiation therapy using CyberKnife.一种新的计划质量目标函数,用于确定使用 CyberKnife 进行立体定向体部放射治疗前列腺癌时的最佳准直器组合。
PLoS One. 2018 Nov 27;13(11):e0208086. doi: 10.1371/journal.pone.0208086. eCollection 2018.
9
Benefit of dosimetry distribution for patients with multiple brain metastases from non-small cell lung cancer by a Cyberknife stereotactic radiosurgery (SRS) system.非小细胞肺癌患者多发脑转移行 Cyberknife 立体定向放射外科(SRS)治疗时剂量分布的优势。
BMC Cancer. 2020 Nov 25;20(1):1144. doi: 10.1186/s12885-020-07624-4.
10
Optimization of normalized prescription isodose selection for stereotactic body radiation therapy: conventional vs robotic linac.立体定向体部放射治疗中规范处方等剂量曲线选择的优化:常规直线加速器与机器人直线加速器比较。
Med Phys. 2013 May;40(5):051705. doi: 10.1118/1.4798944.

引用本文的文献

1
Dosimetric comparison in various stereotactic radiosurgery modalities for trigeminal neuralgia treatment.三叉神经痛治疗中各种立体定向放射外科治疗方式的剂量学比较。
Radiol Phys Technol. 2025 Sep;18(3):812-820. doi: 10.1007/s12194-025-00935-w. Epub 2025 Jul 14.
2
Applying pytorch toolkit to plan optimization for circular cone based robotic radiotherapy.应用 PyTorch 工具包进行基于圆锥体的机器人放射治疗计划优化。
Radiat Oncol. 2022 Apr 20;17(1):82. doi: 10.1186/s13014-022-02045-y.

本文引用的文献

1
The CyberKnife in clinical use: current roles, future expectations.临床应用中的射波刀:当前作用与未来期望
Front Radiat Ther Oncol. 2011;43:181-194. doi: 10.1159/000322423. Epub 2011 May 20.
2
Shortening treatment time in robotic radiosurgery using a novel node reduction technique.使用新的节点减少技术缩短机器人放射外科的治疗时间。
Med Phys. 2011 Mar;38(3):1397-405. doi: 10.1118/1.3549765.
3
A dosimetric comparison between Gamma Knife and CyberKnife treatment plans for trigeminal neuralgia.伽玛刀和 CyberKnife 治疗三叉神经痛计划的剂量学比较。
J Neurosurg. 2010 Dec;113 Suppl:199-206.
4
Advantages of mini-multileaf in stereotactic radiotherapy.立体定向放射治疗中微型多叶光栅的优势。
J Med Phys. 2007 Jan;32(1):12-7. doi: 10.4103/0971-6203.31144.
5
The CyberKnife Robotic Radiosurgery System in 2010.2010 年的 CyberKnife 机器人放射外科手术系统。
Technol Cancer Res Treat. 2010 Oct;9(5):433-52. doi: 10.1177/153303461000900502.
6
CyberKnife: A new paradigm in radiotherapy.射波刀:放射治疗的一种新范例。
J Med Phys. 2010 Apr;35(2):63-4. doi: 10.4103/0971-6203.62194.
7
The design, physical properties and clinical utility of an iris collimator for robotic radiosurgery.用于机器人放射外科手术的虹膜准直器的设计、物理特性及临床应用
Phys Med Biol. 2009 Sep 21;54(18):5359-80. doi: 10.1088/0031-9155/54/18/001. Epub 2009 Aug 18.
8
Reducing monitor units for robotic radiosurgery by optimized use of multiple collimators.通过优化使用多个准直器减少机器人放射外科的监测单位。
Med Phys. 2008 Jun;35(6):2294-9. doi: 10.1118/1.2919090.
9
Influence of collimator size on three-dimensional conformal radiotherapy of the cyberknife.
Radiat Med. 2004 Nov-Dec;22(6):442-8.
10
Dose conformity of gamma knife radiosurgery and risk factors for complications.伽玛刀放射外科的剂量适形性及并发症的危险因素。
Int J Radiat Oncol Biol Phys. 2001 Dec 1;51(5):1313-9. doi: 10.1016/s0360-3016(01)01757-6.