Suppr超能文献

食生鸵鸟肝致犬弓蛔虫性脑膜炎。

Meningitis by Toxocara canis after ingestion of raw ostrich liver.

机构信息

Department of Neurology, Sungkyunkwan University School of Medicine, Samsung Medical Center, Seoul, Korea.

出版信息

J Korean Med Sci. 2012 Sep;27(9):1105-8. doi: 10.3346/jkms.2012.27.9.1105. Epub 2012 Aug 22.

Abstract

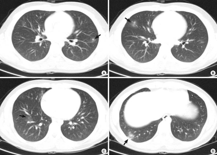
Recently reports on toxocariasis are increasing by serodiagnosis in Korea. A previously healthy 17-yr-old boy complained of headache, fever, dyspnea, and anorexia. He showed symptoms and signs of eosinophilic meningitis with involvement of the lungs and liver. Specific IgG antibody to Toxocara canis larval antigen was positive in serum and cerebrospinal fluid by ELISA. He took raw ostrich liver with his parents 4 weeks before the symptom onset. His parents were seropositive for T. canis antigen but had no symptoms or signs suggesting toxocariasis. This is the first report of toxocariasis in a family due to ingestion of raw ostrich liver in Korea.

摘要

近来,通过血清学诊断,韩国的旋毛虫病报告病例有所增加。一名此前健康的 17 岁男孩主诉头痛、发热、呼吸困难和食欲不振。他出现了嗜酸性粒细胞性脑膜炎的症状和体征,并累及肺部和肝脏。酶联免疫吸附试验(ELISA)显示,血清和脑脊液中针对犬蛔虫幼虫抗原的特异性 IgG 抗体呈阳性。他在症状出现前 4 周与父母一起食用了生鸵鸟肝。他的父母对 T. canis 抗原呈血清学阳性,但没有出现提示旋毛虫病的症状或体征。这是在韩国因食用生鸵鸟肝导致家庭感染旋毛虫病的首例报告。

https://cdn.ncbi.nlm.nih.gov/pmc/blobs/0886/3429831/c689ead8fc40/jkms-27-1105-g001.jpg

相似文献

1
Meningitis by Toxocara canis after ingestion of raw ostrich liver.
J Korean Med Sci. 2012 Sep;27(9):1105-8. doi: 10.3346/jkms.2012.27.9.1105. Epub 2012 Aug 22.
2
Cross-reactivity of Toxocariasis with Crude Antigen of Toxascaris leonina Larvae by ELISA.
J Korean Med Sci. 2015 May;30(5):549-51. doi: 10.3346/jkms.2015.30.5.549. Epub 2015 Apr 15.
3
Transmission of Toxocara canis via ingestion of raw cow liver: a cross-sectional study in healthy adults.
Korean J Parasitol. 2012 Mar;50(1):23-7. doi: 10.3347/kjp.2012.50.1.23. Epub 2012 Mar 6.
4
Eosinophilic meningomyelitis in toxocariasis: case report and review of the literature.
Clin Neurol Neurosurg. 2005 Aug;107(5):432-8. doi: 10.1016/j.clineuro.2004.10.003. Epub 2004 Nov 18.
5
Atypical -Induced Hepatic Visceral Larva Migrans: Diagnostic Challenges and Literature Review.
Korean J Gastroenterol. 2024 Jun 25;83(6):247-252. doi: 10.4166/kjg.2024.051.
7
Serodiagnosis of toxocariasis by ELISA using crude antigen of Toxocara canis larvae.
Korean J Parasitol. 2013 Aug;51(4):433-9. doi: 10.3347/kjp.2013.51.4.433. Epub 2013 Aug 30.
8
Laboratory diagnosis of human toxocariasis.
Vet Parasitol. 2013 Apr 15;193(4):327-36. doi: 10.1016/j.vetpar.2012.12.028. Epub 2012 Dec 20.
10
A familial case of visceral toxocariasis due to consumption of raw bovine liver.
Parasitol Int. 2008 Dec;57(4):525-9. doi: 10.1016/j.parint.2008.08.002. Epub 2008 Aug 16.

引用本文的文献

1
Understanding the research and practical needs required to control toxocariasis in Iran.
Parasite Epidemiol Control. 2024 Apr 23;25:e00351. doi: 10.1016/j.parepi.2024.e00351. eCollection 2024 May.
2
Toxocara tanuki larval distribution in mice and the infectivity of tissue larvae.
Parasitol Res. 2023 Jun;122(6):1327-1332. doi: 10.1007/s00436-023-07832-4. Epub 2023 Apr 13.
3
Therapy and Prevention for Human Toxocariasis.
Microorganisms. 2022 Jan 22;10(2):241. doi: 10.3390/microorganisms10020241.
4
infection in the differential diagnosis of multiple sclerosis in the Middle East.
Mult Scler J Exp Transl Clin. 2020 Jan 9;6(1):2055217319855757. doi: 10.1177/2055217319855757. eCollection 2020 Jan-Mar.
5
Brain food: rethinking food-borne toxocariasis.
Parasitology. 2022 Jan;149(1):1-9. doi: 10.1017/S0031182021001591. Epub 2021 Oct 25.
6
Detection of Larvae from Ostrich and Wild Boar Meat Intended for Human Consumption.
Pathogens. 2021 Oct 7;10(10):1290. doi: 10.3390/pathogens10101290.
7
The Role of Nile Tilapia () in the Life Cycle of spp.
Front Vet Sci. 2021 Jun 17;8:685911. doi: 10.3389/fvets.2021.685911. eCollection 2021.
8
Evidence for Asthma in the Lungs of Mice Inoculated with Different Doses of .
Am J Trop Med Hyg. 2020 Dec;103(6):2305-2314. doi: 10.4269/ajtmh.20-0484. Epub 2020 Sep 17.
9
Dispersion and infectivity of Toxocara canis eggs after passage through chicken intestine.
Parasitol Res. 2018 Nov;117(11):3481-3486. doi: 10.1007/s00436-018-6045-x. Epub 2018 Aug 8.
10
Seroprevalence and associated risk factors of Toxocara infection in Korean, Manchu, Mongol, and Han ethnic groups in northern China.
Epidemiol Infect. 2016 Oct;144(14):3101-3107. doi: 10.1017/S0950268816001631. Epub 2016 Jul 26.

本文引用的文献

1
Foodborne eosinophilia due to visceral larva migrans: a disease abandoned.
J Korean Med Sci. 2012 Jan;27(1):1-2. doi: 10.3346/jkms.2012.27.1.1. Epub 2011 Dec 19.
2
Update on eosinophilic meningoencephalitis and its clinical relevance.
Clin Microbiol Rev. 2009 Apr;22(2):322-48, Table of Contents. doi: 10.1128/CMR.00044-08.
3
Impact of toxocariasis in patients with unexplained patchy pulmonary infiltrate in Korea.
J Korean Med Sci. 2009 Feb;24(1):40-5. doi: 10.3346/jkms.2009.24.1.40. Epub 2009 Feb 28.
4
Toxocariasis and ingestion of raw cow liver in patients with eosinophilia.
Korean J Parasitol. 2008 Sep;46(3):139-43. doi: 10.3347/kjp.2008.46.3.139.
5
Neurotoxocarosis.
Rev Inst Med Trop Sao Paulo. 2007 Sep-Oct;49(5):279-87. doi: 10.1590/s0036-46652007000500002.
6
Pulmonary and myocardial manifestations due to Toxocara canis infection.
Eur J Intern Med. 2005 Dec;16(8):601-2. doi: 10.1016/j.ejim.2005.04.008.
7
Eosinophilic meningomyelitis in toxocariasis: case report and review of the literature.
Clin Neurol Neurosurg. 2005 Aug;107(5):432-8. doi: 10.1016/j.clineuro.2004.10.003. Epub 2004 Nov 18.
9
CT and MR imaging findings in cerebral toxocaral disease.
AJNR Am J Neuroradiol. 2003 Apr;24(4):714-8.
10
Infectivity and pathogenicity of 14-month-cultured embryonated eggs of Toxocara canis in mice.
Vet Parasitol. 2003 Apr 18;113(2):145-55. doi: 10.1016/s0304-4017(03)00046-3.

文献AI研究员

20分钟写一篇综述,助力文献阅读效率提升50倍。

立即体验

用中文搜PubMed

大模型驱动的PubMed中文搜索引擎

马上搜索

文档翻译

学术文献翻译模型,支持多种主流文档格式。

立即体验