Suppr超能文献

一名儿童患巨细胞病毒阴性的梅内特里耶病伴嗜酸性粒细胞增多症的病例。

A case of cytomegalovirus-negative Ménétrier's disease with eosinophilia in a child.

作者信息

Son Keun Hyung, Kwak Jeong Ja, Park Jae Ock

机构信息

Department of Pediatrics, Soonchunhyang University Bucheon Hospital, Soonchunhyang University College of Medicine, Bucheon, Korea.

出版信息

Korean J Pediatr. 2012 Aug;55(8):293-6. doi: 10.3345/kjp.2012.55.8.293. Epub 2012 Aug 23.

Abstract

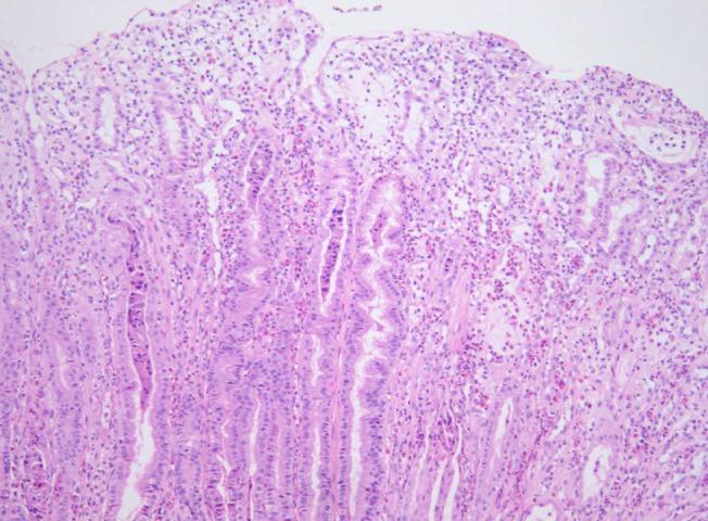
Ménétrier's disease is a rare form of acquired gastropathy characterized by giant rugal folds in the stomach and protein-losing gastropathy. Children with Ménétrier's disease tend to follow a benign self-limited course with symptoms typically completely resolving within 2 to 10 weeks in contrast to the chronic course in adults. A 9-year-old girl presented with a history of gradually worsening abdominal distension, increasing body weight, and abdominal pain for 2 weeks. Physical examination on admission indicated periorbital swelling, pitting edema in both the legs, and abdominal distension with mild diffuse tenderness and shifting dullness. Laboratory tests on admission showed hypoalbuminemia, hypoproteinemia, and peripheral eosinophilia. The test result for anticytomegalovirus immunoglobulin M was negative. Increased fecal alpha 1 anti-trypsin excretion was observed. Radiological findings showed massive ascites and pleural effusion in both the lungs. On gastroscopy, large gastric folds, erythema, erosion, and exudation were noted in the body and fundus of the stomach. Microscopic findings showed infiltration of eosinophils and neutrophils in the gastric mucosa. Her symptoms improved with conservative treatment from day 7 of hospitalization and resolved completely.

摘要

梅内特里尔病是一种罕见的获得性胃病,其特征为胃黏膜巨大皱襞和蛋白丢失性胃病。与成人的慢性病程不同,梅内特里尔病患儿往往呈良性自限性病程,症状通常在2至10周内完全缓解。一名9岁女孩有腹胀逐渐加重、体重增加及腹痛2周的病史。入院时体格检查显示眶周肿胀、双下肢凹陷性水肿、腹胀伴轻度弥漫性压痛及移动性浊音。入院时实验室检查显示低白蛋白血症、低蛋白血症及外周血嗜酸性粒细胞增多。抗巨细胞病毒免疫球蛋白M检测结果为阴性。观察到粪便α1抗胰蛋白酶排泄增加。影像学检查结果显示大量腹水及双肺胸腔积液。胃镜检查发现胃体和胃底有粗大胃皱襞、红斑、糜烂及渗出。显微镜检查结果显示胃黏膜有嗜酸性粒细胞和中性粒细胞浸润。住院第7天起经保守治疗后她的症状有所改善并完全缓解。

https://cdn.ncbi.nlm.nih.gov/pmc/blobs/2583/3433566/15f4b160b803/kjped-55-293-g001.jpg

文献检索

告别复杂PubMed语法,用中文像聊天一样搜索,搜遍4000万医学文献。AI智能推荐,让科研检索更轻松。

立即免费搜索

文件翻译

保留排版,准确专业,支持PDF/Word/PPT等文件格式,支持 12+语言互译。

免费翻译文档

深度研究

AI帮你快速写综述,25分钟生成高质量综述,智能提取关键信息,辅助科研写作。

立即免费体验