• 文献检索
  • 文档翻译
  • 深度研究
  • 学术资讯
  • Suppr Zotero 插件Zotero 插件
  • 邀请有礼
  • 套餐&价格
  • 历史记录
应用&插件
Suppr Zotero 插件Zotero 插件浏览器插件Mac 客户端Windows 客户端微信小程序
定价
高级版会员购买积分包购买API积分包
服务
文献检索文档翻译深度研究API 文档MCP 服务
关于我们
关于 Suppr公司介绍联系我们用户协议隐私条款
关注我们

Suppr 超能文献

核心技术专利:CN118964589B侵权必究
粤ICP备2023148730 号-1Suppr @ 2026

文献检索

告别复杂PubMed语法,用中文像聊天一样搜索,搜遍4000万医学文献。AI智能推荐,让科研检索更轻松。

立即免费搜索

文件翻译

保留排版,准确专业,支持PDF/Word/PPT等文件格式,支持 12+语言互译。

免费翻译文档

深度研究

AI帮你快速写综述,25分钟生成高质量综述,智能提取关键信息,辅助科研写作。

立即免费体验

梅内特里耶病及其在四名兄弟姐妹中的非典型表现。

Ménétrier's Disease and Its Atypical Presentation in Four Siblings.

作者信息

Hassan Imran H, Soliman Mina, Shirazi-Nejad Ahmad R

机构信息

Gastroenterology, Barnsley Hospital National Health Service (NHS) Foundation Trust, Barnsley, GBR.

出版信息

Cureus. 2022 Oct 27;14(10):e30759. doi: 10.7759/cureus.30759. eCollection 2022 Oct.

DOI:10.7759/cureus.30759
PMID:36320788
原文链接:https://pmc.ncbi.nlm.nih.gov/articles/PMC9611642/
Abstract

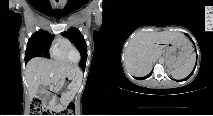
Ménétrier's disease is a rare, acquired, premalignant disorder of the stomach distinguished by hypertrophic giant mucosal folds in the proximal part of the stomach (body and fundus), diminished acid secretion and excessive mucous production, resulting in hypoalbuminemia. Menetrier's is also known as hypoproteinaemic hypertrophic gastropathy and giant hypertrophic gastritis. We present a case of four siblings who presented between 2010 and 2017 with symptomatic iron deficiency anaemia or upper gastrointestinal symptoms with confirmed Ménétrier's disease. The etiology of Ménétrier's disease is unknown but it has been linked to raised TGF-α (transforming growth factor alpha protein) in the gastric mucosa causing increased signalling of epidermal growth factor. It is also associated with infections such as cytomegalovirus and . Despite these associations, there have been cases without any of these viruses detected.  Diagnosis is usually made by barium swallow or endoscopic evaluation, which characteristically shows thickened gastric folds, while the biopsies' hallmark feature is massive foveolar hyperplasia. We present a case series of four siblings who presented between 2010 and 2017 with symptomatic iron deficiency anaemia or upper gastrointestinal symptoms with confirmed Ménétrier's disease.

摘要

梅内特里尔病是一种罕见的后天性癌前胃部疾病,其特征为胃近端(胃体和胃底)出现肥厚性巨大黏膜皱襞、胃酸分泌减少以及黏液分泌过多,从而导致低蛋白血症。梅内特里尔病也被称为低蛋白血症性肥厚性胃病和巨大肥厚性胃炎。我们报告了一个四兄弟姐妹的病例,他们在2010年至2017年间因有症状的缺铁性贫血或上消化道症状就诊,确诊为梅内特里尔病。梅内特里尔病的病因尚不清楚,但它与胃黏膜中转化生长因子α(TGF-α)水平升高有关,这会导致表皮生长因子信号增强。它还与巨细胞病毒等感染有关。尽管有这些关联,但也有未检测到任何这些病毒的病例。诊断通常通过钡餐或内镜评估进行,其特征性表现为胃皱襞增厚,而活检的标志性特征是大量小凹增生。我们报告了一个四兄弟姐妹的病例系列,他们在2010年至2017年间因有症状的缺铁性贫血或上消化道症状就诊,确诊为梅内特里尔病。

https://cdn.ncbi.nlm.nih.gov/pmc/blobs/3286/9611642/07f176a7d196/cureus-0014-00000030759-i03.jpg
https://cdn.ncbi.nlm.nih.gov/pmc/blobs/3286/9611642/174bed0a3d57/cureus-0014-00000030759-i01.jpg
https://cdn.ncbi.nlm.nih.gov/pmc/blobs/3286/9611642/7e77c243d89c/cureus-0014-00000030759-i02.jpg
https://cdn.ncbi.nlm.nih.gov/pmc/blobs/3286/9611642/07f176a7d196/cureus-0014-00000030759-i03.jpg
https://cdn.ncbi.nlm.nih.gov/pmc/blobs/3286/9611642/174bed0a3d57/cureus-0014-00000030759-i01.jpg
https://cdn.ncbi.nlm.nih.gov/pmc/blobs/3286/9611642/7e77c243d89c/cureus-0014-00000030759-i02.jpg
https://cdn.ncbi.nlm.nih.gov/pmc/blobs/3286/9611642/07f176a7d196/cureus-0014-00000030759-i03.jpg

相似文献

1
Ménétrier's Disease and Its Atypical Presentation in Four Siblings.梅内特里耶病及其在四名兄弟姐妹中的非典型表现。
Cureus. 2022 Oct 27;14(10):e30759. doi: 10.7759/cureus.30759. eCollection 2022 Oct.
2
Curative resection with endoscopic submucosal dissection of early gastric cancer in -negative Ménétrier's disease: A case report.内镜黏膜下剥离术治疗Ménétrier病阴性早期胃癌的根治性切除:一例报告
World J Gastroenterol. 2022 Feb 7;28(5):594-601. doi: 10.3748/wjg.v28.i5.594.
3
Co-Infection with Cytomegalovirus and Helicobacter pylori in a Child with Ménétrier's Disease.一名患有梅内特里耶病儿童的巨细胞病毒与幽门螺杆菌合并感染
Pediatr Gastroenterol Hepatol Nutr. 2013 Jun;16(2):123-6. doi: 10.5223/pghn.2013.16.2.123. Epub 2013 Jun 30.
4
Survival Times of Patients With Menetrier's Disease and Risk of Gastric Cancer.梅内特里耶病患者的生存时间与胃癌风险
Clin Gastroenterol Hepatol. 2021 Apr;19(4):707-712. doi: 10.1016/j.cgh.2020.03.017. Epub 2020 Mar 14.
5
A case of Menetrier's disease without Helicobacter pylori or hypoalbuminemia.一例无幽门螺杆菌感染及低白蛋白血症的梅内特里耶病病例。
Int J Surg Case Rep. 2015;17:58-60. doi: 10.1016/j.ijscr.2015.10.025. Epub 2015 Oct 27.
6
A Rare Presentation of Ménétrier's Disease as Gastroduodenal Intussusception.以胃十二指肠套叠形式表现的罕见的梅内特里耶病
Middle East J Dig Dis. 2013 Jan;5(1):52-5.
7
Ménétrier's disease of the stomach: a clinical challenge.胃的梅内特里耶病:一项临床挑战。
Curr Gastroenterol Rep. 2011 Dec;13(6):513-7. doi: 10.1007/s11894-011-0222-8.
8
Menetrier's Disease.梅内特里耶病
Curr Treat Options Gastroenterol. 2008 Apr;11(2):103-8. doi: 10.1007/s11938-008-0022-x.
9
Menetrier's disease: a form of hypertrophic gastropathy or gastritis?梅内特里耶病:一种肥厚性胃病还是胃炎?
Gastroenterology. 1993 May;104(5):1310-9. doi: 10.1016/0016-5085(93)90339-e.
10
A case report of diffuse hyperplastic gastropathy with multiple polypoid formations in a patient with pernicious anemia, Helicobacter pylori infection, hypergastrinemia and hypoalbuminaemia: Do not forget of Ménétrier's disease.1例恶性贫血、幽门螺杆菌感染、高胃泌素血症和低白蛋白血症患者出现弥漫性增生性胃病伴多发息肉样病变的病例报告:勿忘梅内特里耶病。
Int J Surg Case Rep. 2020;77:498-502. doi: 10.1016/j.ijscr.2020.11.055. Epub 2020 Nov 12.

本文引用的文献

1
Natural history of adult-onset Ménétrier's disease: Report of a case with 9-year follow-up.成人起病的梅内特里耶病的自然病史:一例9年随访报告。
Exp Ther Med. 2016 Jun;11(6):2462-2466. doi: 10.3892/etm.2016.3181. Epub 2016 Mar 23.
2
Evidence-based assessment of proton-pump inhibitors in Helicobacter pylori eradication: a systematic review.基于证据的质子泵抑制剂在幽门螺杆菌根除中的评估:一项系统评价。
World J Gastroenterol. 2014 Oct 28;20(40):14527-36. doi: 10.3748/wjg.v20.i40.14527.
3
A case of Ménétrier's disease localized to the gastric antrum without helicobacter infection or hypoalbuminemia.
一例局限于胃窦部的门脉高压性胃病,无幽门螺杆菌感染及低白蛋白血症。
Int J Surg Case Rep. 2013;4(10):839-41. doi: 10.1016/j.ijscr.2013.07.004. Epub 2013 Jul 17.
4
A case of Ménétrier's disease without Helicobacter pylori infection.一例无幽门螺杆菌感染的巨大肥厚性胃炎病例。
Dig Endosc. 2012 Jul;24(4):275-9. doi: 10.1111/j.1443-1661.2012.01242.x.
5
Laparoscopic total gastrectomy for Ménétrier's disease.腹腔镜全胃切除术治疗梅内特里耶病
J Laparoendosc Adv Surg Tech A. 2007 Feb;17(1):32-5. doi: 10.1089/lap.2006.05094.
6
Ménétrier disease and gastrointestinal stromal tumors: hyperproliferative disorders of the stomach.梅内特里耶病与胃肠道间质瘤:胃的过度增殖性疾病
J Clin Invest. 2007 Jan;117(1):70-80. doi: 10.1172/JCI30491.
7
Treatment of Ménétrier's disease with a monoclonal antibody against the epidermal growth factor receptor.用抗表皮生长因子受体单克隆抗体治疗梅内特里耶病。
N Engl J Med. 2000 Dec 7;343(23):1697-701. doi: 10.1056/NEJM200012073432305.
8
Octreotide reduces enteral protein losses in Ménétrier's disease.奥曲肽可减少梅内特里耶病患者的肠内蛋白质流失。
Am J Gastroenterol. 1993 Jan;88(1):95-8.
9
Resolution of protein-losing hypertrophic lymphocytic gastritis with therapeutic eradication of Helicobacter pylori.通过治疗性根除幽门螺杆菌治愈蛋白丢失性肥厚性淋巴细胞性胃炎。
Am J Gastroenterol. 1994 Sep;89(9):1548-51.
10
Hypertrophic gastropathy with gastric adenocarcinoma: Menetrier's disease and lymphocytic gastritis?肥厚性胃病合并胃腺癌:梅内特里耶病和淋巴细胞性胃炎?
Gut. 1991 Dec;32(12):1565-7. doi: 10.1136/gut.32.12.1565.