• 文献检索
  • 文档翻译
  • 深度研究
  • 学术资讯
  • Suppr Zotero 插件Zotero 插件
  • 邀请有礼
  • 套餐&价格
  • 历史记录
应用&插件
Suppr Zotero 插件Zotero 插件浏览器插件Mac 客户端Windows 客户端微信小程序
定价
高级版会员购买积分包购买API积分包
服务
文献检索文档翻译深度研究API 文档MCP 服务
关于我们
关于 Suppr公司介绍联系我们用户协议隐私条款
关注我们

Suppr 超能文献

核心技术专利:CN118964589B侵权必究
粤ICP备2023148730 号-1Suppr @ 2026

文献检索

告别复杂PubMed语法,用中文像聊天一样搜索,搜遍4000万医学文献。AI智能推荐,让科研检索更轻松。

立即免费搜索

文件翻译

保留排版,准确专业,支持PDF/Word/PPT等文件格式,支持 12+语言互译。

免费翻译文档

深度研究

AI帮你快速写综述,25分钟生成高质量综述,智能提取关键信息,辅助科研写作。

立即免费体验

经皮肺穿刺活检术的疗效与安全性评估

Evaluation of the efficacy and safety of percutaneous biopsy of lung.

作者信息

McSweeney Sean E, O'Regan Kevin N, Mc Laughlin Patrick D, Crush Lee, Maher Michael M

机构信息

Department of Radiology, Cork University Hospital and University College Cork, Cork, Ireland.

出版信息

Open Respir Med J. 2012;6:82-8. doi: 10.2174/1874306401206010082. Epub 2012 Sep 6.

DOI:10.2174/1874306401206010082
PMID:22977650
原文链接:https://pmc.ncbi.nlm.nih.gov/articles/PMC3439799/
Abstract

INTRODUCTION

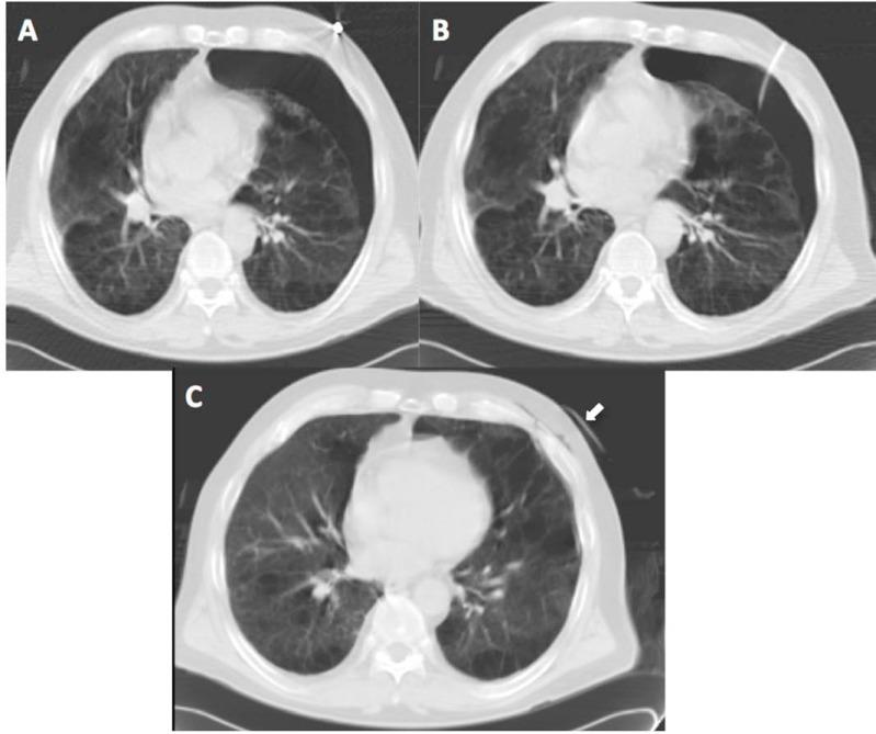
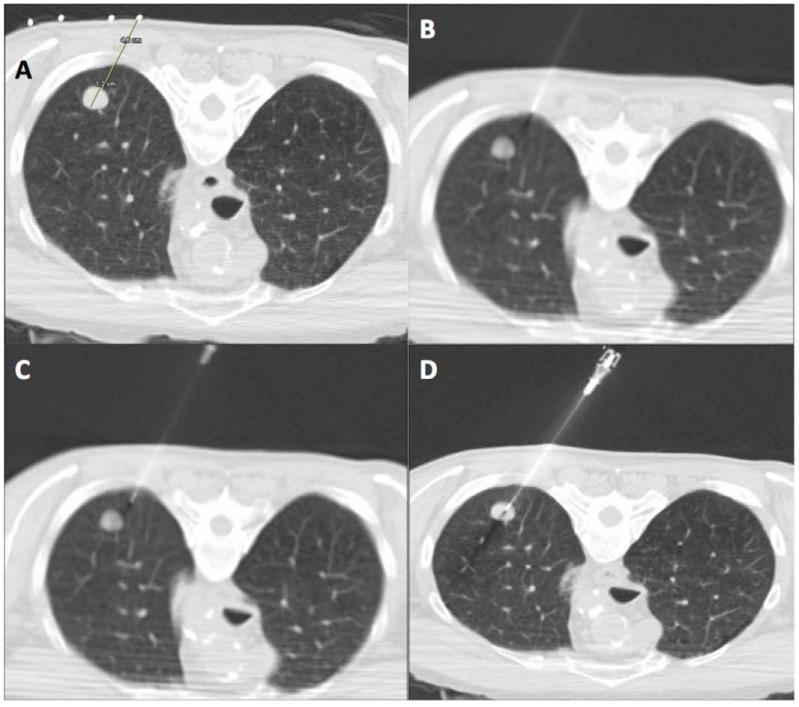
Percutanous needle biopsy of the lung (PNBL), under image guidance, has established itself as a safe and effective minimally-invasive method of obtaining a tissue diagnosis of pulmonary lesions, for selected patients with suspected pathologic processes. The purpose of this study was to evaluate the diagnostic yield and safety of percutaneous core biopsy of the lung (PCBL) without Fine Needle Aspiration Biopsy (FNAB), with specific attention to potential risk factors that may predict post-biopsy pneumothorax.

MATERIALS AND METHODS

A retrospective analysis of 75 consecutive PCBL procedures between January 2006 to March 2008 involving 72 patients with a documented pulmonary nodule or mass lesion on CT scan of Thorax. The study population included 38 males (52.8%) and 34 females (47.2%) aged 20-85 years (mean age 63.6 years). A co-axial cutting system with a 19-gauge outer needle and a 20-gauge inner automated cutting needle (Temno, Allegiance Healthcare Corporation, Ohio, USA) was used in all patients.

RESULTS

Lesions varied in size from 0.7cm to 10.7cm (mean maximum trans-axial diameter 3.1cm). The mean number of core biopsy samples obtained was 3.1 (range 1-5). Of the 75 PCBL procedures, 71 yielded specimens adequate for histopathologic evaluation, consistent with a technical success rate of 95%. Malignancy was detected in 48 specimens (64%) and benign diagnoses were identified in 23 specimens (31%). As mentioned, 4 specimens (5%) were nondiagnostic. The most common biopsy-induced complication was pneumothorax, occurring in 15 patients (20%), with 4 (5.3%) requiring thoracostomy tube placement.

CONCLUSION

PCBL without FNAB, under CT fluoroscopy guidance, has an excellent diagnostic accuracy in obtaining a conclusive histologic diagnosis of thoracic lesions and is comparable to FNAB in terms of safety and rates of occurence of complications.

摘要

引言

在影像引导下,经皮肺穿刺活检(PNBL)已成为一种安全有效的微创方法,可为选定的疑似病理过程患者获取肺部病变的组织诊断。本研究的目的是评估不进行细针穿刺抽吸活检(FNAB)的经皮肺芯针活检(PCBL)的诊断率和安全性,特别关注可能预测活检后气胸的潜在危险因素。

材料与方法

对2006年1月至2008年3月期间连续进行的75例PCBL手术进行回顾性分析,这些手术涉及72例经胸部CT扫描记录有肺结节或肿块病变的患者。研究人群包括38名男性(52.8%)和34名女性(47.2%),年龄在20 - 85岁之间(平均年龄63.6岁)。所有患者均使用带有19号外针和20号内自动切割针的同轴切割系统(Temno,美国俄亥俄州忠诚医疗保健公司)。

结果

病变大小从0.7厘米至10.7厘米不等(平均最大横轴直径3.1厘米)。获得的芯针活检样本平均数量为3.1个(范围为1 - 5个)。在75例PCBL手术中,71例获得了足以进行组织病理学评估的标本,技术成功率为95%。48例标本(64%)检测到恶性肿瘤,23例标本(31%)确定为良性诊断。如前所述,4例标本(5%)无法诊断。最常见的活检引起的并发症是气胸,15例患者(20%)发生气胸,其中4例(5.3%)需要放置胸腔引流管。

结论

在CT透视引导下,不进行FNAB的PCBL在获得胸部病变的确切组织学诊断方面具有出色的诊断准确性,在安全性和并发症发生率方面与FNAB相当。

https://cdn.ncbi.nlm.nih.gov/pmc/blobs/1d99/3439799/f6866db78f6e/TORMJ-6-82_F4.jpg
https://cdn.ncbi.nlm.nih.gov/pmc/blobs/1d99/3439799/689ef4a9dc9f/TORMJ-6-82_F1.jpg
https://cdn.ncbi.nlm.nih.gov/pmc/blobs/1d99/3439799/cfdcaf1231f4/TORMJ-6-82_F2.jpg
https://cdn.ncbi.nlm.nih.gov/pmc/blobs/1d99/3439799/22ff7141dc39/TORMJ-6-82_F3.jpg
https://cdn.ncbi.nlm.nih.gov/pmc/blobs/1d99/3439799/f6866db78f6e/TORMJ-6-82_F4.jpg
https://cdn.ncbi.nlm.nih.gov/pmc/blobs/1d99/3439799/689ef4a9dc9f/TORMJ-6-82_F1.jpg
https://cdn.ncbi.nlm.nih.gov/pmc/blobs/1d99/3439799/cfdcaf1231f4/TORMJ-6-82_F2.jpg
https://cdn.ncbi.nlm.nih.gov/pmc/blobs/1d99/3439799/22ff7141dc39/TORMJ-6-82_F3.jpg
https://cdn.ncbi.nlm.nih.gov/pmc/blobs/1d99/3439799/f6866db78f6e/TORMJ-6-82_F4.jpg

相似文献

1
Evaluation of the efficacy and safety of percutaneous biopsy of lung.经皮肺穿刺活检术的疗效与安全性评估
Open Respir Med J. 2012;6:82-8. doi: 10.2174/1874306401206010082. Epub 2012 Sep 6.
2
Full core technology versus notch sampling technology: evaluation of the diagnostic accuracy and the risk of a pneumothorax after transthoracic needle biopsy of suspicious lung lesions.全芯技术与切迹取样技术:经胸针吸活检可疑肺部病变的诊断准确性和气胸风险评估。
Acta Radiol. 2022 Jan;63(1):35-41. doi: 10.1177/0284185120981575. Epub 2020 Dec 26.
3
CT-guided percutaneous fine-needle aspiration biopsy of small (< or =1-cm) pulmonary lesions.CT引导下经皮细针穿刺活检小(≤1厘米)肺部病变。
Radiology. 2002 Dec;225(3):823-8. doi: 10.1148/radiol.2253011465.
4
Usefulness of new automated cutting needle for tissue-core biopsy of lung nodules under CT fluoroscopic guidance.新型自动切割针在CT透视引导下对肺结节进行组织芯活检的实用性。
Chest. 2003 Jul;124(1):147-54. doi: 10.1378/chest.124.1.147.
5
CT-guided automated needle biopsy of the chest.CT引导下胸部自动针吸活检术
AJR Am J Roentgenol. 1995 Jul;165(1):53-5. doi: 10.2214/ajr.165.1.7785631.
6
Combining fine-needle aspiration and core biopsy under CT fluoroscopy guidance: a better way to treat patients with lung nodules?CT透视引导下细针穿刺与粗针活检联合应用:治疗肺结节患者的更佳方法?
AJR Am J Roentgenol. 2003 Mar;180(3):811-5. doi: 10.2214/ajr.180.3.1800811.
7
Percutaneous transthoracic CT guided biopsies of lung lesions; fine needle aspiration biopsy versus core biopsy.经皮经胸 CT 引导下肺病变活检;细针抽吸活检与核心活检。
Radiol Oncol. 2012 Mar;46(1):19-22. doi: 10.2478/v10019-012-0004-4. Epub 2012 Jan 2.
8
CT-guided Core-Needle Biopsy of the Lung Is Safe and More Effective than Fine-Needle Aspiration Biopsy in Patients with Hematologic Malignancies.CT引导下经皮肺穿刺活检术对血液系统恶性肿瘤患者安全且比细针穿刺抽吸活检更有效。
Radiol Cardiothorac Imaging. 2019 Dec 19;1(5):e180030. doi: 10.1148/ryct.2019180030. eCollection 2019 Dec.
9
Diagnostic accuracy and safety of CT-guided fine needle aspiration biopsy in cavitary pulmonary lesions.CT 引导下经皮肺空洞病变细针抽吸活检的诊断准确性和安全性。
Eur J Radiol. 2013 Jan;82(1):182-6. doi: 10.1016/j.ejrad.2012.09.011. Epub 2012 Oct 15.
10
Transthoracic Computed Tomography-Guided Lung Nodule Biopsy: Comparison of Core Needle and Fine Needle Aspiration Techniques.经胸计算机断层扫描引导下肺结节活检:粗针穿刺与细针抽吸技术的比较。
Can Assoc Radiol J. 2016 Aug;67(3):284-9. doi: 10.1016/j.carj.2015.10.005. Epub 2016 Mar 19.

引用本文的文献

1
Diagnostic Efficacy of Sputum Cytology versus Invasive Procedures for Lung Cancer: A Comparative Study.痰液细胞学检查与肺癌侵入性检查方法的诊断效能:一项对比研究
Cureus. 2025 Jan 22;17(1):e77829. doi: 10.7759/cureus.77829. eCollection 2025 Jan.
2
CT-Guided vs. Navigational Bronchoscopic Biopsies for Solitary Pulmonary Nodules: A Single-Institution Retrospective Comparison.CT引导与导航支气管镜活检用于孤立性肺结节:单机构回顾性比较
Cancers (Basel). 2023 Nov 2;15(21):5258. doi: 10.3390/cancers15215258.
3
Non-diagnostic Results of Percutaneous Transthoracic Needle Biopsy: A Meta-analysis.

本文引用的文献

1
Rapid needle-out patient-rollover time after percutaneous CT-guided transthoracic biopsy of lung nodules: effect on pneumothorax rate.经皮 CT 引导下经胸肺结节穿刺活检后快速针出患者翻身时间:对气胸发生率的影响。
Radiology. 2012 Jan;262(1):314-9. doi: 10.1148/radiol.11103506. Epub 2011 Nov 21.
2
Quality improvement guidelines for percutaneous needle biopsy.经皮穿刺活检的质量改进指南。
J Vasc Interv Radiol. 2010 Jul;21(7):969-75. doi: 10.1016/j.jvir.2010.01.011. Epub 2010 Mar 20.
3
Incidence of and risk factors for pneumothorax and chest tube placement after CT fluoroscopy-guided percutaneous lung biopsy: retrospective analysis of the procedures conducted over a 9-year period.
经皮经胸穿刺活检的非诊断性结果:一项荟萃分析。
Sci Rep. 2019 Aug 27;9(1):12428. doi: 10.1038/s41598-019-48805-x.
4
Percutaneous computed tomography-guided aspiration and biopsy of intrathoracic lesions: Results of 265 procedures.经皮计算机断层扫描引导下胸腔内病变的抽吸与活检:265例手术结果
Lung India. 2016 Nov-Dec;33(6):620-625. doi: 10.4103/0970-2113.192863.
5
Biopsy testing in an inoperable, non-small cell lung cancer population-a retrospective, real-life study in Sweden.对无法手术的非小细胞肺癌患者群体进行活检检测——瑞典的一项回顾性真实病例研究。
J Thorac Dis. 2015 Dec;7(12):2226-33. doi: 10.3978/j.issn.2072-1439.2015.12.52.
6
Safety and diagnostic performance of image-guided lung biopsy in the targeted therapy era.靶向治疗时代图像引导下肺活检的安全性和诊断性能
Radiol Med. 2015 Nov;120(11):1024-30. doi: 10.1007/s11547-015-0538-9. Epub 2015 May 1.
7
CT-guided biopsy of lung lesions: defining the best needle option for a specific diagnosis.CT引导下肺病变活检:确定用于特定诊断的最佳穿刺针选择
Clinics (Sao Paulo). 2014;69(5):335-40. doi: 10.6061/clinics/2014(05)07.
CT 透视引导下经皮肺活检后气胸和胸腔管放置的发生率和危险因素:9 年期间进行的回顾性分析。
AJR Am J Roentgenol. 2010 Mar;194(3):809-14. doi: 10.2214/AJR.09.3224.
4
Cancer statistics, 2009.2009年癌症统计数据。
CA Cancer J Clin. 2009 Jul-Aug;59(4):225-49. doi: 10.3322/caac.20006. Epub 2009 May 27.
5
CT fluoroscopy-guided biopsy of 1,000 pulmonary lesions performed with 20-gauge coaxial cutting needles: diagnostic yield and risk factors for diagnostic failure.使用20号同轴切割针在CT透视引导下对1000个肺部病变进行活检:诊断率及诊断失败的危险因素
Chest. 2009 Dec;136(6):1612-1617. doi: 10.1378/chest.09-0370. Epub 2009 May 8.
6
Variables affecting the risk of pneumothorax and intrapulmonal hemorrhage in CT-guided transthoracic biopsy.影响CT引导下经胸壁活检气胸和肺内出血风险的因素。
Eur Radiol. 2008 Jul;18(7):1356-63. doi: 10.1007/s00330-008-0893-1. Epub 2008 Mar 20.
7
CT-guided cutting needle lung biopsy using modified coaxial technique: factors effecting risk of complications.采用改良同轴技术的CT引导下切割针肺活检:影响并发症风险的因素
Eur J Radiol. 2009 Apr;70(1):57-60. doi: 10.1016/j.ejrad.2008.01.006. Epub 2008 Feb 21.
8
Accuracy of CT-guided transthoracic needle biopsy of lung lesions: factors affecting diagnostic yield.CT引导下经胸肺穿刺活检术对肺部病变的诊断准确性:影响诊断阳性率的因素
Radiol Med. 2007 Dec;112(8):1142-59. doi: 10.1007/s11547-007-0212-y. Epub 2007 Dec 13.
9
Estimates of the cancer incidence and mortality in Europe in 2006.2006年欧洲癌症发病率和死亡率的估计数据。
Ann Oncol. 2007 Mar;18(3):581-92. doi: 10.1093/annonc/mdl498. Epub 2007 Feb 7.
10
Transthoracic needle biopsy of lung masses: a survey of techniques.肺肿块的经胸针吸活检:技术综述
Clin Radiol. 2005 Mar;60(3):370-4. doi: 10.1016/j.crad.2004.09.006.