Suppr超能文献

雄激素受体在激素难治性前列腺癌中的 PIM1 磷酸化。

Phosphorylation of the androgen receptor by PIM1 in hormone refractory prostate cancer.

机构信息

Department of Urology, New York University School of Medicine, New York, NY 10016, USA.

出版信息

Oncogene. 2013 Aug 22;32(34):3992-4000. doi: 10.1038/onc.2012.412. Epub 2012 Sep 17.

Abstract

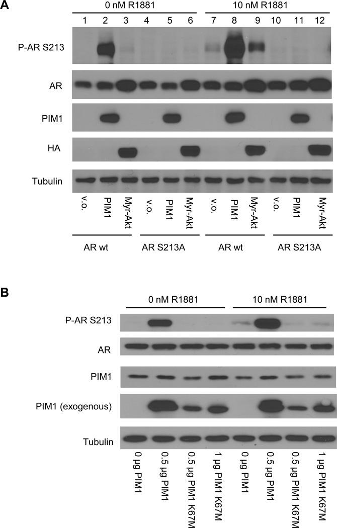
Integration of cellular signaling pathways with androgen receptor (AR) signaling can be achieved through phosphorylation of AR by cellular kinases. However, the kinases responsible for phosphorylating the AR at numerous sites and the functional consequences of AR phosphorylation are only partially understood. Bioinformatic analysis revealed AR serine 213 (S213) as a putative substrate for PIM1, a kinase overexpressed in prostate cancer. Therefore, phosphorylation of AR serine 213 by PIM1 was examined using a phosphorylation site-specific antibody. Wild-type PIM1, but not catalytically inactive PIM1, specifically phosphorylated AR but not an AR serine-to-alanine mutant (S213A). In vitro kinase assays confirmed that PIM1 can phosphorylate AR S213 in a ligand-independent manner and cell type-specific phosphorylation was observed in prostate cancer cell lines. Upon PIM1 overexpression, AR phosphorylation was observed in the absence of hormone and was further increased in the presence of hormone in LNCaP, LNCaP-abl and VCaP cells. Moreover, phosphorylation of AR was reduced in the presence of PIM kinase inhibitors. An examination of AR-mediated transcription showed that reporter gene activity was reduced in the presence of PIM1 and wild-type AR, but not S213A mutant AR. Androgen-mediated transcription of endogenous PSA, Nkx3.1 and IGFBP5 was also decreased in the presence of PIM1, whereas IL6, cyclin A1 and caveolin 2 were increased. Immunohistochemical analysis of prostate cancer tissue microarrays showed significant P-AR S213 expression that was associated with hormone refractory prostate cancers, likely identifying cells with catalytically active PIM1. In addition, prostate cancers expressing a high level of P-AR S213 were twice as likely to be from biochemically recurrent cancers. Thus, AR phosphorylation by PIM1 at S213 impacts gene transcription and is highly prevalent in aggressive prostate cancer.

摘要

细胞信号通路与雄激素受体 (AR) 信号的整合可以通过细胞激酶对 AR 的磷酸化来实现。然而,负责在众多位点磷酸化 AR 的激酶以及 AR 磷酸化的功能后果仅部分被理解。生物信息学分析显示 AR 丝氨酸 213 (S213) 是 PIM1 的一个假定底物,PIM1 在前列腺癌中过表达。因此,使用磷酸化位点特异性抗体检查了 PIM1 对 AR 丝氨酸 213 的磷酸化作用。野生型 PIM1,但不是催化失活的 PIM1,特异性地磷酸化 AR 但不磷酸化 AR 丝氨酸至丙氨酸突变体 (S213A)。体外激酶测定证实 PIM1 可以以配体非依赖性方式磷酸化 AR S213,并且在前列腺癌细胞系中观察到细胞类型特异性磷酸化。在 PIM1 过表达时,在没有激素的情况下观察到 AR 磷酸化,并且在 LNCaP、LNCaP-abl 和 VCaP 细胞中在存在激素的情况下进一步增加。此外,在 PIM 激酶抑制剂存在下,AR 磷酸化减少。对 AR 介导的转录的检查表明,在存在 PIM1 和野生型 AR 的情况下,报告基因活性降低,但在 S213A 突变型 AR 的情况下则不然。雄激素介导的内源性 PSA、Nkx3.1 和 IGFBP5 的转录也在 PIM1 存在下减少,而 IL6、细胞周期蛋白 A1 和窖蛋白 2 则增加。前列腺癌组织微阵列的免疫组织化学分析显示 P-AR S213 的表达显著,与激素难治性前列腺癌相关,可能鉴定出具有催化活性 PIM1 的细胞。此外,表达高水平 P-AR S213 的前列腺癌有两倍的可能性来自生化复发的癌症。因此,PIM1 在 S213 处对 AR 的磷酸化作用影响基因转录,并且在侵袭性前列腺癌中非常普遍。

https://cdn.ncbi.nlm.nih.gov/pmc/blobs/bddd/3527659/4ddd68d1f47c/nihms396871f1.jpg

文献检索

告别复杂PubMed语法,用中文像聊天一样搜索,搜遍4000万医学文献。AI智能推荐,让科研检索更轻松。

立即免费搜索

文件翻译

保留排版,准确专业,支持PDF/Word/PPT等文件格式,支持 12+语言互译。

免费翻译文档

深度研究

AI帮你快速写综述,25分钟生成高质量综述,智能提取关键信息,辅助科研写作。

立即免费体验