Suppr超能文献

锂相关性甲状腺肿大:气道梗阻的一种罕见病因。

Lithium-associated thyromegaly: an unusual cause of airway obstruction.

作者信息

Verma Ashish, Wartak Siddharth, Tidswell Mark

机构信息

Baystate Medical Center, Tufts University School of Medicine, Springfield, MA 01199, USA.

出版信息

Case Rep Med. 2012;2012:627415. doi: 10.1155/2012/627415. Epub 2012 Sep 9.

Abstract

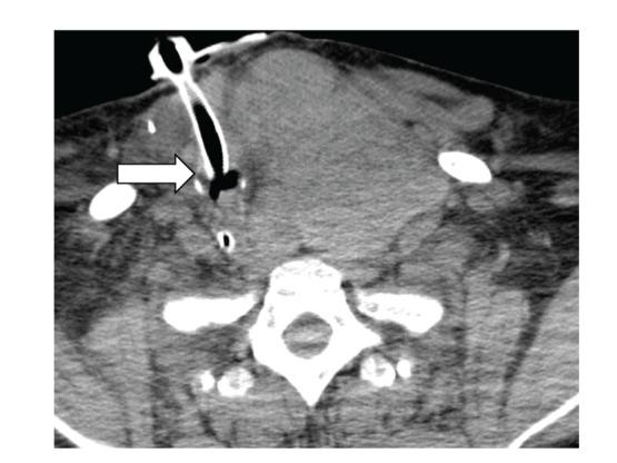
Acute upper airway obstruction is a medical emergency and can be caused by many serious conditions such as a foreign body occluding the airway, intrinsic swelling (as in anaphylaxis), or extrinsic compression. Thyromegaly has rarely been reported as a source of airway compromise. We present a patient whose thyromegaly is presumed to have been induced by lithium and was massive enough to cause severe airway compromise.

摘要

急性上气道梗阻是一种医疗急症,可由许多严重情况引起,如气道被异物阻塞、内在肿胀(如过敏反应)或外在压迫。甲状腺肿大作为气道受损的原因鲜有报道。我们报告一例患者,其甲状腺肿大推测由锂盐诱发,肿大程度足以导致严重的气道受损。

https://cdn.ncbi.nlm.nih.gov/pmc/blobs/20d4/3444054/e3f9dfeca5a0/CRIM2012-627415.001.jpg

相似文献

1
Lithium-associated thyromegaly: an unusual cause of airway obstruction.
Case Rep Med. 2012;2012:627415. doi: 10.1155/2012/627415. Epub 2012 Sep 9.
2
Prehospital removal improves neurological outcomes in elderly patient with foreign body airway obstruction.
Am J Emerg Med. 2017 Oct;35(10):1396-1399. doi: 10.1016/j.ajem.2017.04.016. Epub 2017 Apr 10.
3
Acute upper airway obstruction in the adult. 2. Causative events.
Postgrad Med. 1982 Dec;72(6):61-3, 66-7. doi: 10.1080/00325481.1982.11716283.
4
Management of upper airway obstruction.
Otolaryngol Clin North Am. 1979 May;12(2):351-73.
5
Patient With Prior COVID-19 Infection Presenting With Acute Upper Airway Obstruction: A Case Report.
Cureus. 2022 Mar 16;14(3):e23214. doi: 10.7759/cureus.23214. eCollection 2022 Mar.
6
Massive lingual swelling following palatoplasty. An unusual cause of upper airway obstruction.
Anaesthesia. 1995 Jan;50(1):30-4. doi: 10.1111/j.1365-2044.1995.tb04509.x.
7
Upper airway obstruction caused by massive subcutaneous emphysema.
Intensive Care Med. 1984;10(1):43-4. doi: 10.1007/BF00258069.
8
A Case Report of Acute Airway Compromise due to Subcutaneous Emphysema.
Case Rep Med. 2018 Nov 25;2018:3103061. doi: 10.1155/2018/3103061. eCollection 2018.
9
Critical airway compromise caused by neck haematoma.
Clin Otolaryngol Allied Sci. 2002 Aug;27(4):244-5. doi: 10.1046/j.1365-2273.2002.00567.x.

本文引用的文献

2
[Intrathoracic goitre: a literature review].
Cir Esp. 2010 Sep;88(3):142-5. doi: 10.1016/j.ciresp.2010.03.020. Epub 2010 May 24.
3
Lithium salts in the treatment of psychotic excitement.
Med J Aust. 1949 Sep 3;2(10):349-52. doi: 10.1080/j.1440-1614.1999.06241.x.
4
Fifteen-year follow-up of thyroid function in lithium patients.
J Endocrinol Invest. 2007 May;30(5):363-6. doi: 10.1007/BF03346311.
5
A cross-sectional and a prospective study of thyroid disorders in lithium-treated patients.
J Affect Disord. 2005 Aug;87(2-3):313-7. doi: 10.1016/j.jad.2005.03.010.
6
Thyroiditis.
N Engl J Med. 2003 Jun 26;348(26):2646-55. doi: 10.1056/NEJMra021194.
7
Association between lithium use and thyrotoxicosis caused by silent thyroiditis.
Clin Endocrinol (Oxf). 2001 Oct;55(4):501-8. doi: 10.1046/j.1365-2265.2001.01381.x.
8
The effects of lithium therapy on thyroid and thyrotropin-releasing hormone.
Thyroid. 1998 Oct;8(10):909-13. doi: 10.1089/thy.1998.8.909.
9
Management of substernal goiter.
Laryngoscope. 1998 Nov;108(11 Pt 1):1611-7. doi: 10.1097/00005537-199811000-00005.
10
Histological features of the thyroid gland in a patient with lithium induced thyrotoxicosis.
J Clin Pathol. 1995 Jun;48(6):582-4. doi: 10.1136/jcp.48.6.582.

文献AI研究员

20分钟写一篇综述,助力文献阅读效率提升50倍。

立即体验

用中文搜PubMed

大模型驱动的PubMed中文搜索引擎

马上搜索

文档翻译

学术文献翻译模型,支持多种主流文档格式。

立即体验