Suppr超能文献

上颌第二磨牙双腭根管的非手术牙髓再治疗:一例报告

Nonsurgical endodontic retreatment of maxillary second molar with two palatal root canals: a case report.

作者信息

Eskandarinezhad Mahsa, Ghasemi Negin

机构信息

Assistant Professor, Department of Endodontics, Faculty of Dentistry, Tabriz University of Medical Sciences, Tabriz, Iran.

出版信息

J Dent Res Dent Clin Dent Prospects. 2012 Spring;6(2):75-8. doi: 10.5681/joddd.2012.016. Epub 2012 Jun 6.

Abstract

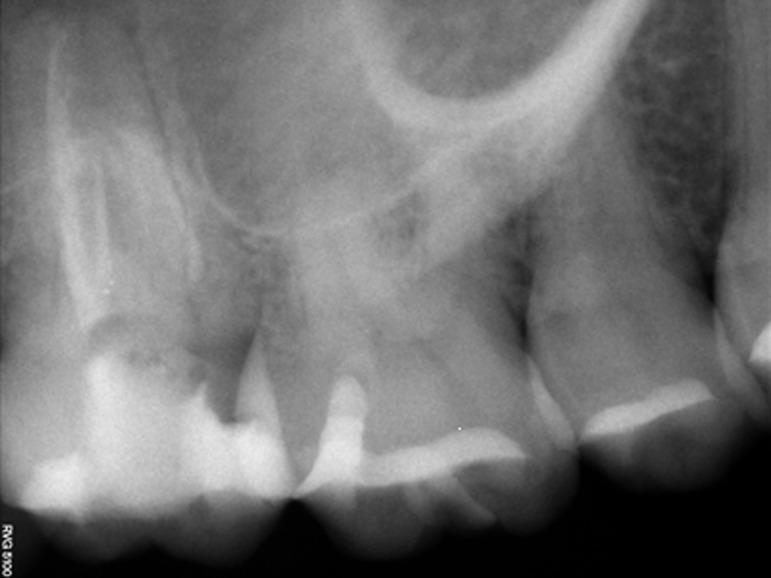
Successful endodontic treatment requires thorough knowledge regarding each root canal system of any tooth and probability of extra canals should be considered. Second maxillary molar with two palatal root canals is not frequent and its incidence reported in literatures is about 0.4-2%. The present case report describes non-surgical retreatment of maxillary second mo-lar with two palatal root canals. Radiographic interpretation is difficult in this region; so, very careful examination of pulpal space and using supportive devices such as loupe and operating microscope is recommended to discover any unusual anat-omic features like extra canals.

摘要

成功的牙髓治疗需要对任何牙齿的每个根管系统有全面的了解,并且应考虑存在额外根管的可能性。上颌第二磨牙有两个腭侧根管的情况并不常见,文献报道的发生率约为0.4%-2%。本病例报告描述了对上颌第二磨牙两个腭侧根管进行的非手术再治疗。该区域的影像学解读较为困难;因此,建议非常仔细地检查牙髓腔,并使用放大镜和手术显微镜等辅助设备,以发现任何异常的解剖特征,如额外的根管。

https://cdn.ncbi.nlm.nih.gov/pmc/blobs/6781/3445319/7a5077fdc6d1/joddd-6-75-g001.jpg

文献检索

告别复杂PubMed语法,用中文像聊天一样搜索,搜遍4000万医学文献。AI智能推荐,让科研检索更轻松。

立即免费搜索

文件翻译

保留排版,准确专业,支持PDF/Word/PPT等文件格式,支持 12+语言互译。

免费翻译文档

深度研究

AI帮你快速写综述,25分钟生成高质量综述,智能提取关键信息,辅助科研写作。

立即免费体验