• 文献检索
  • 文档翻译
  • 深度研究
  • 学术资讯
  • Suppr Zotero 插件Zotero 插件
  • 邀请有礼
  • 套餐&价格
  • 历史记录
应用&插件
Suppr Zotero 插件Zotero 插件浏览器插件Mac 客户端Windows 客户端微信小程序
定价
高级版会员购买积分包购买API积分包
服务
文献检索文档翻译深度研究API 文档MCP 服务
关于我们
关于 Suppr公司介绍联系我们用户协议隐私条款
关注我们

Suppr 超能文献

核心技术专利:CN118964589B侵权必究
粤ICP备2023148730 号-1Suppr @ 2026

文献检索

告别复杂PubMed语法,用中文像聊天一样搜索,搜遍4000万医学文献。AI智能推荐,让科研检索更轻松。

立即免费搜索

文件翻译

保留排版,准确专业,支持PDF/Word/PPT等文件格式,支持 12+语言互译。

免费翻译文档

深度研究

AI帮你快速写综述,25分钟生成高质量综述,智能提取关键信息,辅助科研写作。

立即免费体验

在来自马里利什曼原虫病流行地区的人群中,对沙蝇唾液的迟发型超敏反应是 Th1 介导的,并持续到中年。

Delayed-type hypersensitivity to sand fly saliva in humans from a leishmaniasis-endemic area of Mali is Th1-mediated and persists to midlife.

机构信息

Vector Molecular Biology Section, Laboratory of Malaria and Vector Research (LMVR), National Institute of Allergy and Infectious Diseases (NIAID), National Institutes of Health (NIH), Rockville, Maryland, USA.

出版信息

J Invest Dermatol. 2013 Feb;133(2):452-9. doi: 10.1038/jid.2012.315. Epub 2012 Sep 20.

DOI:10.1038/jid.2012.315
PMID:22992802
原文链接:https://pmc.ncbi.nlm.nih.gov/articles/PMC3529997/
Abstract

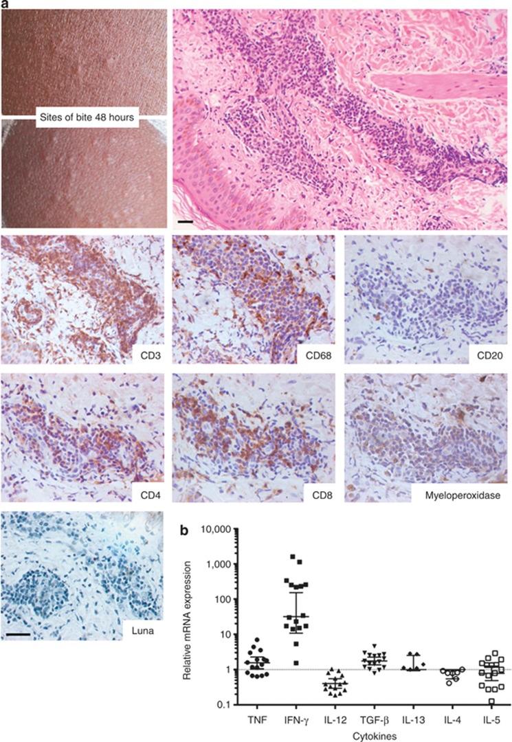
Immunity to sand fly saliva in rodents induces a T(H)1 delayed-type hypersensitivity (DTH) response conferring protection against leishmaniasis. The relevance of DTH to sand fly bites in humans living in a leishmaniasis-endemic area remains unknown. Here, we describe the duration and nature of DTH to sand fly saliva in humans from an endemic area of Mali. DTH was assessed at 24, 48, 72, and 96 hours post bite in volunteers exposed to colony-bred sand flies. Dermal biopsies were obtained 48 hours post bite; cytokines were quantified from peripheral blood mononuclear cells (PBMCs) stimulated with sand fly saliva in vitro. A DTH response to bites was observed in 75% of individuals aged 1-15 years, decreasing gradually to 48% by age 45, and dropping to 21% thereafter. Dermal biopsies were dominated by T lymphocytes and macrophages. Abundant expression of IFN-γ and absence of T(H)2 cytokines establishes the T(H)1 nature of this DTH response. PBMCs from 98% of individuals responded to sand fly saliva. Of these, 23% were polarized to a T(H)1 and 25% to a T(H)2 response. We demonstrate the durability and T(H)1 nature of DTH to sand fly bites in humans living in a cutaneous leishmaniasis-endemic area. A systemic T(H)2 response may explain why some individuals remain susceptible to disease.

摘要

沙蝇唾液中的免疫原性在啮齿动物中引起 T(H)1 迟发型超敏反应 (DTH),从而对利什曼病提供保护。DTH 与生活在利什曼病流行地区的沙蝇叮咬之间的相关性在人类中尚不清楚。在这里,我们描述了来自马里一个利什曼病流行地区的人类对沙蝇唾液的 DTH 持续时间和性质。在暴露于群体饲养的沙蝇的志愿者中,在叮咬后 24、48、72 和 96 小时评估 DTH。在叮咬后 48 小时获得皮肤活检;从体外用沙蝇唾液刺激外周血单核细胞 (PBMC) 中定量细胞因子。在 1-15 岁的个体中观察到 75%的人对叮咬有 DTH 反应,到 45 岁时逐渐降至 48%,此后降至 21%。皮肤活检主要由 T 淋巴细胞和巨噬细胞组成。IFN-γ 的大量表达和 T(H)2 细胞因子的缺乏确立了这种 DTH 反应的 T(H)1 性质。98%的个体的 PBMC 对沙蝇唾液有反应。其中,23%被极化到 T(H)1 反应,25%被极化到 T(H)2 反应。我们证明了生活在皮肤利什曼病流行地区的人类对沙蝇叮咬的 DTH 具有耐久性和 T(H)1 性质。全身性 T(H)2 反应可能解释了为什么一些人仍然容易患病。

https://cdn.ncbi.nlm.nih.gov/pmc/blobs/56c2/3547224/5cabacc45f61/jid2012315f3.jpg
https://cdn.ncbi.nlm.nih.gov/pmc/blobs/56c2/3547224/19788d3bdb39/jid2012315f1.jpg
https://cdn.ncbi.nlm.nih.gov/pmc/blobs/56c2/3547224/325b0f246c7d/jid2012315f2.jpg
https://cdn.ncbi.nlm.nih.gov/pmc/blobs/56c2/3547224/5cabacc45f61/jid2012315f3.jpg
https://cdn.ncbi.nlm.nih.gov/pmc/blobs/56c2/3547224/19788d3bdb39/jid2012315f1.jpg
https://cdn.ncbi.nlm.nih.gov/pmc/blobs/56c2/3547224/325b0f246c7d/jid2012315f2.jpg
https://cdn.ncbi.nlm.nih.gov/pmc/blobs/56c2/3547224/5cabacc45f61/jid2012315f3.jpg

相似文献

1
Delayed-type hypersensitivity to sand fly saliva in humans from a leishmaniasis-endemic area of Mali is Th1-mediated and persists to midlife.在来自马里利什曼原虫病流行地区的人群中,对沙蝇唾液的迟发型超敏反应是 Th1 介导的,并持续到中年。
J Invest Dermatol. 2013 Feb;133(2):452-9. doi: 10.1038/jid.2012.315. Epub 2012 Sep 20.
2
Characterization of the early inflammatory infiltrate at the feeding site of infected sand flies in mice protected from vector-transmitted Leishmania major by exposure to uninfected bites.在感染沙蝇的摄食部位的早期炎症浸润的特征,在通过接触未感染的叮咬而免受媒介传播的 Leishmania major 感染的小鼠中。
PLoS Negl Trop Dis. 2014 Apr 24;8(4):e2781. doi: 10.1371/journal.pntd.0002781. eCollection 2014 Apr.
3
Immunity to sand fly salivary protein LJM11 modulates host response to vector-transmitted leishmania conferring ulcer-free protection.对沙蝇唾液蛋白 LJM11 的免疫调节可改变宿主对媒介传播的利什曼原虫的反应,从而提供无溃疡的保护。
J Invest Dermatol. 2012 Dec;132(12):2735-43. doi: 10.1038/jid.2012.205. Epub 2012 Jun 28.
4
Immunity to vector saliva is compromised by short sand fly seasons in endemic regions with temperate climates.在气候温和的地方性流行地区,由于沙蝇季节短暂,对媒介唾液的免疫力受到损害。
Sci Rep. 2020 May 14;10(1):7990. doi: 10.1038/s41598-020-64820-9.
5
Structure and function of a "yellow" protein from saliva of the sand fly Lutzomyia longipalpis that confers protective immunity against Leishmania major infection.黄蛋白的结构与功能研究:来自沙蝇唾液的一种“黄”蛋白,可赋予对感染利什曼原虫的主要保护免疫。
J Biol Chem. 2011 Sep 16;286(37):32383-93. doi: 10.1074/jbc.M111.268904. Epub 2011 Jul 27.
6
Individuals co-exposed to sand fly saliva and filarial parasites exhibit altered monocyte function.个体同时暴露于沙蝇唾液和丝虫寄生虫下会表现出改变的单核细胞功能。
PLoS Negl Trop Dis. 2021 Jun 9;15(6):e0009448. doi: 10.1371/journal.pntd.0009448. eCollection 2021 Jun.
7
The protective effect against Leishmania infection conferred by sand fly bites is limited to short-term exposure.通过沙蝇叮咬获得的针对利什曼原虫感染的保护作用仅限于短期暴露。
Int J Parasitol. 2011 Apr;41(5):481-5. doi: 10.1016/j.ijpara.2011.01.003. Epub 2011 Feb 23.
8
Interleukin 10-Dominant Immune Response and Increased Risk of Cutaneous Leishmaniasis After Natural Exposure to Lutzomyia intermedia Sand Flies.自然暴露于中间罗蛉白蛉后白细胞介素10主导的免疫反应与皮肤利什曼病风险增加
J Infect Dis. 2015 Jul 1;212(1):157-65. doi: 10.1093/infdis/jiv020. Epub 2015 Jan 16.
9
Sand fly salivary proteins induce strong cellular immunity in a natural reservoir of visceral leishmaniasis with adverse consequences for Leishmania.白蛉唾液蛋白在内脏利什曼病的天然宿主中诱导强烈的细胞免疫,对利什曼原虫产生不良影响。
PLoS Pathog. 2009 May;5(5):e1000441. doi: 10.1371/journal.ppat.1000441. Epub 2009 May 22.
10
A Listeria monocytogenes-based vaccine that secretes sand fly salivary protein LJM11 confers long-term protection against vector-transmitted Leishmania major.一种基于李斯特菌的疫苗,可分泌沙蝇唾液蛋白 LJM11,可提供针对媒介传播的利什曼原虫的长期保护。
Infect Immun. 2014 Jul;82(7):2736-45. doi: 10.1128/IAI.01633-14. Epub 2014 Apr 14.

引用本文的文献

1
salivary proteins elicit human innate and adaptive immune responses detrimental to parasites.唾液蛋白引发对寄生虫有害的人类先天性和适应性免疫反应。
bioRxiv. 2025 Mar 4:2025.02.25.640210. doi: 10.1101/2025.02.25.640210.
2
Efficacy of LaAg Vaccine Associated with Saponin Against Infection.与皂苷相关的LaAg疫苗抗感染的疗效。
Vaccines (Basel). 2025 Jan 27;13(2):129. doi: 10.3390/vaccines13020129.
3
Antibodies to D7L salivary proteins as a new serological tool to estimate human exposure to mosquitoes.抗 D7L 唾液蛋白抗体作为一种新的血清学工具来估计人类接触蚊子的情况。

本文引用的文献

1
The immune response to sand fly salivary proteins and its influence on leishmania immunity.对沙蝇唾液蛋白的免疫反应及其对利什曼原虫免疫的影响。
Front Immunol. 2012 May 11;3:110. doi: 10.3389/fimmu.2012.00110. eCollection 2012.
2
Human cellular immune response to the saliva of Phlebotomus papatasi is mediated by IL-10-producing CD8+ T cells and Th1-polarized CD4+ lymphocytes.人体对白蛉唾液的细胞免疫反应是由产生 IL-10 的 CD8+T 细胞和 Th1 极化的 CD4+淋巴细胞介导的。
PLoS Negl Trop Dis. 2011 Oct;5(10):e1345. doi: 10.1371/journal.pntd.0001345. Epub 2011 Oct 4.
3
Seasonality and prevalence of Leishmania major infection in Phlebotomus duboscqi Neveu-Lemaire from two neighboring villages in central Mali.
Front Immunol. 2024 May 1;15:1368066. doi: 10.3389/fimmu.2024.1368066. eCollection 2024.
4
Immune response profiles from humans experimentally exposed to bites.人类经实验性暴露于叮咬后的免疫反应谱。
Front Immunol. 2024 Apr 3;15:1335307. doi: 10.3389/fimmu.2024.1335307. eCollection 2024.
5
The absence of eosinophils is associated with early metastatic lesions in Leishmania amazonensis-infected mice.在感染利什曼原虫的小鼠中,嗜酸性粒细胞缺失与早期转移病变有关。
Mem Inst Oswaldo Cruz. 2024 Jan 8;119:e220242. doi: 10.1590/0074-02760220242. eCollection 2024.
6
PpSP32, the Phlebotomus papatasi immunodominant salivary protein, exerts immunomodulatory effects on human monocytes, macrophages, and lymphocytes.PpSP32,白蛉免疫显性唾液蛋白,对人单核细胞、巨噬细胞和淋巴细胞具有免疫调节作用。
Parasit Vectors. 2023 Jan 2;16(1):1. doi: 10.1186/s13071-022-05627-7.
7
Evaluation of cutaneous immune response in a controlled human in vivo model of mosquito bites.评估在控制的人体体内蚊虫叮咬模型中的皮肤免疫反应。
Nat Commun. 2022 Nov 17;13(1):7036. doi: 10.1038/s41467-022-34534-9.
8
Immune Response to LinB13, a Lutzomyia Intermedia Salivary Protein Correlates With Disease Severity in Tegumentary Leishmaniasis.对林氏唾液蛋白 LinB13 的免疫反应与皮肤利什曼病的严重程度相关。
Clin Infect Dis. 2022 Nov 14;75(10):1754-1762. doi: 10.1093/cid/ciac258.
9
Some Good and Some Bad: Sand Fly Salivary Proteins in the Control of Leishmaniasis and in Autoimmunity.有好有坏:沙蝇唾液蛋白在利什曼病和自身免疫中的作用。
Front Cell Infect Microbiol. 2022 Feb 25;12:839932. doi: 10.3389/fcimb.2022.839932. eCollection 2022.
10
A clinical study to optimise a sand fly biting protocol for use in a controlled human infection model of cutaneous leishmaniasis (the FLYBITE study).一项优化用于皮肤利什曼病受控人类感染模型的白蛉叮咬方案的临床研究(“FLYBITE研究”)。
Wellcome Open Res. 2021 Jun 30;6:168. doi: 10.12688/wellcomeopenres.16870.1. eCollection 2021.
在马里中部的两个邻近村庄中,从 Neveu-Lemaire 的杜氏白蛉(Phlebotomus duboscqi)中分离出的利什曼原虫(Leishmania major)感染的季节性和流行率。
PLoS Negl Trop Dis. 2011 May 10;5(5):e1139. doi: 10.1371/journal.pntd.0001139.
4
The protective effect against Leishmania infection conferred by sand fly bites is limited to short-term exposure.通过沙蝇叮咬获得的针对利什曼原虫感染的保护作用仅限于短期暴露。
Int J Parasitol. 2011 Apr;41(5):481-5. doi: 10.1016/j.ijpara.2011.01.003. Epub 2011 Feb 23.
5
Mosquito allergy: clinical features and natural course.蚊虫过敏:临床特征与自然病程
J Dermatol. 2010 Dec;37(12):1025-31. doi: 10.1111/j.1346-8138.2010.00958.x. Epub 2010 Aug 17.
6
Man's reaction to mosquito bites.人类对蚊虫叮咬的反应。
Nature. 1946 Oct 19;158(4016):554. doi: 10.1038/158554c0.
7
Lack of protection of pre-immunization with saliva of long-term colonized Phlebotomus papatasi against experimental challenge with Leishmania major and saliva of wild-caught P. papatasi.长期定殖的白蛉唾液预先免疫未能保护免受大沙鼠利什曼原虫的实验性攻击以及野生捕获的白蛉唾液。
Am J Trop Med Hyg. 2010 Sep;83(3):512-4. doi: 10.4269/ajtmh.2010.09-0687.
8
The salivary gland transcriptome of the eastern tree hole mosquito, Ochlerotatus triseriatus.东方穴蚊唾液腺转录组。
J Med Entomol. 2010 May;47(3):376-86. doi: 10.1603/me09226.
9
Discrepant prevalence and incidence of Leishmania infection between two neighboring villages in Central Mali based on Leishmanin skin test surveys.根据利什曼素皮肤试验调查,马里中部两个相邻村庄的利什曼原虫感染率和发病率存在差异。
PLoS Negl Trop Dis. 2009 Dec 15;3(12):e565. doi: 10.1371/journal.pntd.0000565.
10
Specificity of anti-saliva immune response in mice repeatedly bitten by Phlebotomus sergenti.重复被白蛉叮咬的小鼠唾液免疫反应的特异性。
Parasite Immunol. 2009 Dec;31(12):766-70. doi: 10.1111/j.1365-3024.2009.01155.x.