Suppr超能文献

膀胱恶性炎性肌纤维母细胞瘤伴快速进展

Malignant inflammatory myofibroblastic tumor of the bladder with rapid progression.

作者信息

Kim Hyeon Woo, Choi Young Hun, Kang Sung Min, Ku Ja Yoon, Ahn Jae Hyun, Kim Jung Man, Chung Jae Min, Ha Hong Koo, Chung Moon Kee

机构信息

Department of Urology, Pusan National University Hospital, Pusan National University School of Medicine, Busan, Korea.

出版信息

Korean J Urol. 2012 Sep;53(9):657-61. doi: 10.4111/kju.2012.53.9.657. Epub 2012 Sep 19.

Abstract

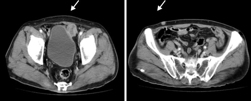
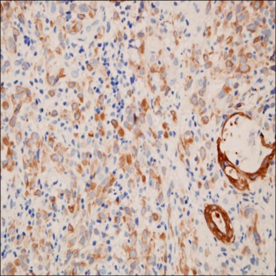
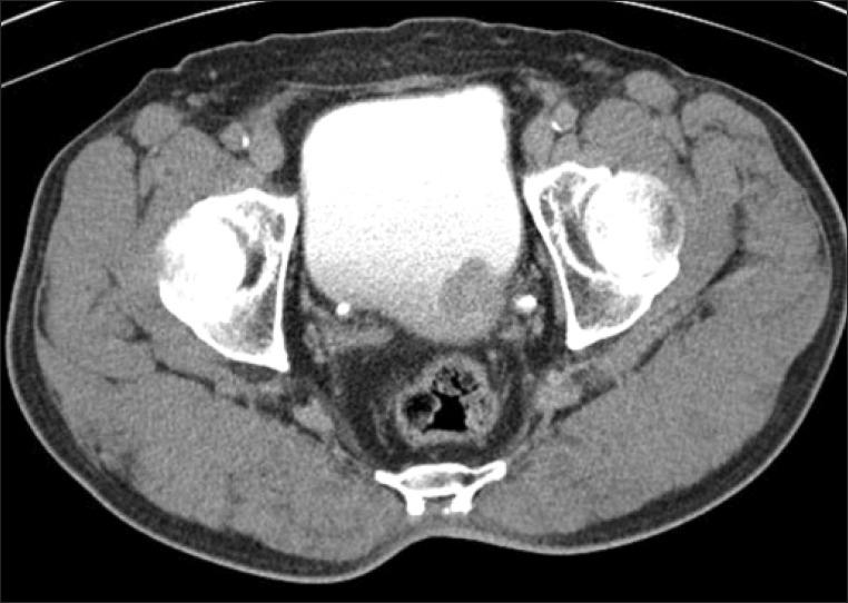
A 71-year-old man was referred for painless hematuria and a bladder tumor. Cystoscopy and computed tomography revealed a 3-cm oval nodular mass on the left lateral side of the bladder. The patient underwent a complete transurethral resection of the lesion and histology showed a proliferation of atypical spindle cells with inflammation consistent with a myofibroblastic tumor. After 4 and 7 months, follow-up cystoscopy demonstrated nodular mass lesions and transurethral resection of bladder tumor was done, which showed chronic cystitis and a recurred myofibroblastic tumor, respectively. Five months later, multiple lymph node, bone, and soft tissue metastases were found by positron emission tomography. The patient was treated first with palliative chemotherapy, including doxorubicin and cisplatin. After that, radiologic studies showed disease progression but the patient refused further treatment and died 6 months later.

摘要

一名71岁男性因无痛性血尿和膀胱肿瘤前来就诊。膀胱镜检查和计算机断层扫描显示膀胱左侧有一个3厘米的椭圆形结节状肿块。患者接受了病变的完全经尿道切除术,组织学检查显示非典型梭形细胞增生并伴有炎症,符合肌成纤维细胞瘤。4个月和7个月后,随访膀胱镜检查发现结节状肿块病变,分别进行了膀胱肿瘤经尿道切除术,结果显示为慢性膀胱炎和复发性肌成纤维细胞瘤。5个月后,正电子发射断层扫描发现多处淋巴结、骨骼和软组织转移。患者首先接受了姑息化疗,包括阿霉素和顺铂。此后,影像学研究显示疾病进展,但患者拒绝进一步治疗,6个月后死亡。

https://cdn.ncbi.nlm.nih.gov/pmc/blobs/4b05/3460011/c64c0b85d347/kju-53-657-g001.jpg

文献AI研究员

20分钟写一篇综述,助力文献阅读效率提升50倍。

立即体验

用中文搜PubMed

大模型驱动的PubMed中文搜索引擎

马上搜索

文档翻译

学术文献翻译模型,支持多种主流文档格式。

立即体验