Suppr超能文献

促性腺激素治疗是否能增强成年小鼠卵巢的产后卵母细胞发生和原始卵泡组装?

Gonadotropin treatment augments postnatal oogenesis and primordial follicle assembly in adult mouse ovaries?

机构信息

Stem Cell Biology Department, National Institute for Research in Reproductive Health, Mumbai, 400 012, India.

出版信息

J Ovarian Res. 2012 Nov 7;5(1):32. doi: 10.1186/1757-2215-5-32.

Abstract

BACKGROUND

Follicle stimulating hormone (FSH) exerts action on both germline and somatic compartment in both ovary and testis although FSH receptors (FSHR) are localized only on the somatic cells namely granulosa cells of growing follicles and Sertoli cells in the seminiferous tubules. High levels of FSH in females are associated with poor ovarian reserve, ovarian hyper stimulation syndrome etc. and at the same time FSH acts as a survival factor during in vitro organotypic culture of ovarian cortical strips. Thus a further understanding of FSH action on the ovary is essential. We have earlier reported presence of pluripotent very small embryonic-like stem cells (VSELs express Oct-4A in addition to other pluripotent markers) and their immediate descendants 'progenitors' ovarian germ stem cells (OGSCs express Oct-4B in addition to other germ cell markers) in ovarian surface epithelium (OSE) in various mammalian species including mice, rabbit, monkey, sheep and human. Present study was undertaken to investigate the effect of pregnant mare serum gonadotropin (PMSG) on adult mice ovaries with a focus on VSELs, OGSCs, postnatal oogenesis and primordial follicle assembly.

METHODS

Ovaries were collected from adult mice during different stages of estrus cycle and after 2 and 7 days of PMSG (5 IU) treatment to study histo-architecture and expression for FSHR, pluripotent stem cells , meiosis and germ cell specific markers.

RESULTS

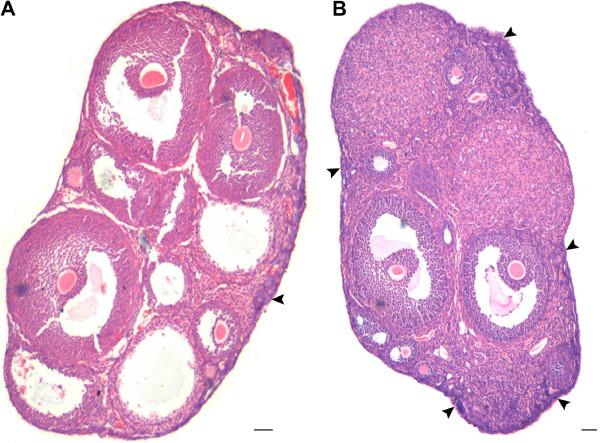
PMSG treatment resulted in increased FSHR and proliferation as indicated by increased FSHR and PCNA immunostaining in OSE and oocytes of primordial follicles (PF) besides the granulosa cells of large antral follicles. Small 1-2 regions of multilayered OSE invariably associated with a cohort of PF during estrus stage in control ovary were increased to 5-8 regions after PMSG treatment. This was associated with an increase in pluripotent transcripts (Oct-4A, Nanog), meiosis (Scp-3) and germ cells (Oct-4B, Mvh) specific markers. MVH showed positive immuno staining on germ cell nest-like clusters and at places primordial follicles appeared connected through oocytes.

CONCLUSIONS

The results of the present study show that gonadotropin (PMSG) treatment to adult mouse leads to increased pluripotent stem cell activity in the ovaries, associated with increased meiosis, appearance of several cohorts of PF and their assembly in close proximity of OSE. This was found associated with the presence of germ cell nests and cytoplasmic continuity of oocytes in PF. We have earlier reported that pluripotent ovarian stem cells in the adult mammalian ovary are the VSELs which give rise to slightly differentiated OGSCs. Thus we propose that gonadotropin through its action on pluripotent VSELs augments neo-oogenesis and PF assembly in adult mouse ovaries.

摘要

背景

卵泡刺激素(FSH)对卵巢和睾丸中的生殖系和体细胞区室均有作用,尽管 FSH 受体(FSHR)仅定位于生长卵泡的颗粒细胞和生精小管中的支持细胞。女性中高水平的 FSH 与卵巢储备不良、卵巢过度刺激综合征等有关,同时 FSH 在卵巢皮质带的体外器官型培养中作为存活因子发挥作用。因此,进一步了解 FSH 对卵巢的作用至关重要。我们之前报道了在各种哺乳动物物种(包括小鼠、兔、猴、绵羊和人)的卵巢表面上皮(OSE)中存在多能性极小胚胎样干细胞(VSELs,除其他多能性标记物外还表达 Oct-4A)及其直接后代“祖细胞”卵巢生殖干细胞(OGSCs,除其他生殖细胞标记物外还表达 Oct-4B)。本研究旨在研究妊娠马血清促性腺激素(PMSG)对成年小鼠卵巢的影响,重点研究 VSELs、OGSCs、产后卵子发生和原始卵泡组装。

方法

在发情周期的不同阶段以及 PMSG(5IU)治疗后 2 天和 7 天收集成年小鼠的卵巢,以研究 FSHR、多能干细胞、减数分裂和生殖细胞特异性标记物的组织形态和表达。

结果

PMSG 治疗导致 FSHR 和增殖增加,这表现在原始卵泡(PF)的 OSE 和卵母细胞中 FSHR 和 PCNA 免疫染色增加,以及大腔卵泡的颗粒细胞中增加。在对照卵巢的发情期,小的 1-2 层 OSE 区域始终与 PF 群相关,而在 PMSG 治疗后增加到 5-8 个区域。这与多能转录物(Oct-4A、Nanog)、减数分裂(Scp-3)和生殖细胞(Oct-4B、Mvh)特异性标记物的增加有关。MVH 在生殖细胞巢状簇上呈阳性免疫染色,在某些地方原始卵泡似乎通过卵母细胞连接。

结论

本研究结果表明,促性腺激素(PMSG)对成年小鼠的治疗导致卵巢中多能干细胞活性增加,与减数分裂增加、几个 PF 群的出现以及它们在 OSE 附近的组装有关。这与生殖细胞巢和 PF 中卵母细胞的细胞质连续性的存在有关。我们之前报道过,成年哺乳动物卵巢中的多能性卵巢干细胞是 VSELs,它们分化为稍分化的 OGSCs。因此,我们提出促性腺激素通过其对多能性 VSELs 的作用,增加成年小鼠卵巢中的新卵子发生和 PF 组装。

https://cdn.ncbi.nlm.nih.gov/pmc/blobs/fdb5/3616927/17a87c16656c/1757-2215-5-32-1.jpg

文献检索

告别复杂PubMed语法,用中文像聊天一样搜索,搜遍4000万医学文献。AI智能推荐,让科研检索更轻松。

立即免费搜索

文件翻译

保留排版,准确专业,支持PDF/Word/PPT等文件格式,支持 12+语言互译。

免费翻译文档

深度研究

AI帮你快速写综述,25分钟生成高质量综述,智能提取关键信息,辅助科研写作。

立即免费体验