Suppr超能文献

成年中期接触异氟醚可减轻 APP/PS1 转基因小鼠与年龄相关的空间记忆损伤。

Isoflurane exposure during mid-adulthood attenuates age-related spatial memory impairment in APP/PS1 transgenic mice.

机构信息

Department of Anesthesiology, Renji Hospital, School of Medicine, Shanghai Jiaotong University, Shanghai, China.

出版信息

PLoS One. 2012;7(11):e50172. doi: 10.1371/journal.pone.0050172. Epub 2012 Nov 19.

Abstract

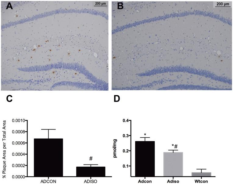
Many in vitro findings suggest that isoflurane exposure might accelerate the process of Alzheimer Disease (AD); however, no behavioral evidence exists to support this theory. In the present study, we hypothesized that exposure of APP/PS1 transgenic mice to isoflurane during mid-adulthood, which is the pre-symptomatic phase of amyloid beta (Abeta) deposition, would alter the progression of AD. Seven-month-old Tg(APPswe,PSEN1dE9)85Dbo/J transgenic mice and their wild-type littermates were exposed to 1.1% isoflurane for 2 hours per day for 5 days. Learning and memory ability was tested 48 hours and 5 months following isoflurane exposure using the Morris Water Maze and Y maze, respectively. Abeta deposition and oligomers in the hippocampus were measured by immunohistochemistry or Elisa 5 months following isoflurane exposure. We found that the performance of both the transgenic and wild-type mice in the Morris Water Maze significantly improved 48 hours following isoflurane exposure. The transgenic mice made significantly fewer discrimination errors in the Y maze following isoflurane exposure, and no differences were found between wild-type littermates 5 months following isoflurane exposure. For the transgenic mice, the Abeta plaque and oligomers in the hippocampus was significantly decreased in the 5 months following isoflurane exposure. In summary, repeated isoflurane exposure during the pre-symptomatic phase not only improved spatial memory in both the APP/PS1 transgenic and wild-type mice shortly after the exposure but also prevented age-related decline in learning and memory and attenuated the Abeta plaque and oligomers in the hippocampus of transgenic mice.

摘要

许多体外研究结果表明,异氟醚暴露可能加速阿尔茨海默病(AD)的进程;然而,目前尚无行为学证据支持这一理论。在本研究中,我们假设在 APP/PS1 转基因小鼠成年中期(即淀粉样蛋白β(Abeta)沉积的无症状前阶段)暴露于异氟醚会改变 AD 的进展。将 7 月龄的 Tg(APPswe,PSEN1dE9)85Dbo/J 转基因小鼠及其野生型同窝仔鼠暴露于 1.1%异氟醚中,每天 2 小时,持续 5 天。异氟醚暴露后 48 小时和 5 个月分别使用 Morris 水迷宫和 Y 迷宫测试学习和记忆能力。异氟醚暴露后 5 个月通过免疫组化或 ELISA 测量海马区的 Abeta 沉积和寡聚物。我们发现,异氟醚暴露后 48 小时,转基因和野生型小鼠在 Morris 水迷宫中的表现均显著改善。异氟醚暴露后,转基因小鼠在 Y 迷宫中的分辨错误明显减少,而野生型同窝仔鼠在异氟醚暴露后 5 个月无差异。对于转基因小鼠,异氟醚暴露后 5 个月,海马区的 Abeta 斑块和寡聚物明显减少。总之,在无症状前阶段重复异氟醚暴露不仅在暴露后不久改善了 APP/PS1 转基因和野生型小鼠的空间记忆,而且防止了与年龄相关的学习和记忆下降,并减轻了转基因小鼠海马区的 Abeta 斑块和寡聚物。

https://cdn.ncbi.nlm.nih.gov/pmc/blobs/4538/3501473/93cd4d6d9f33/pone.0050172.g001.jpg

文献AI研究员

20分钟写一篇综述,助力文献阅读效率提升50倍。

立即体验

用中文搜PubMed

大模型驱动的PubMed中文搜索引擎

马上搜索

文档翻译

学术文献翻译模型,支持多种主流文档格式。

立即体验