Department of Pathology, Stony Brook University Medical Center, Stony Brook, NY 11794, USA.
Exp Hematol Oncol. 2012 Apr 18;1(1):7. doi: 10.1186/2162-3619-1-7.
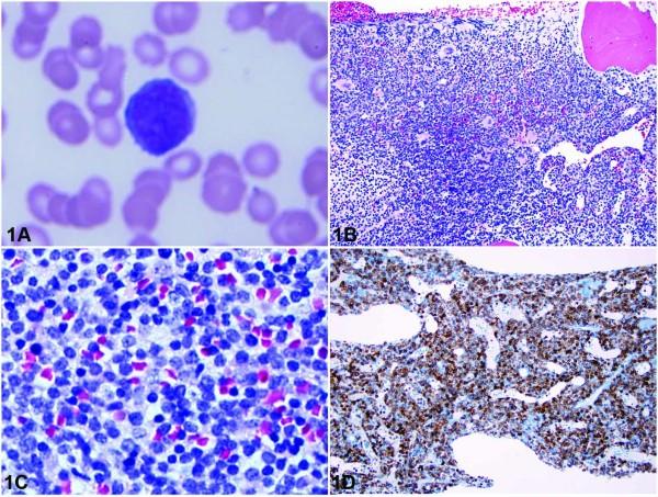
T-cell Prolymphocytic leukemia (T-PLL) is a rare post-thymic T-cell malignancy that follows an aggressive clinical course. The classical presentation includes an elevated white blood cell (WBC) count with anemia and thrombocytopenia, hepatosplenomegaly, and lymphadenopathy. T-PLL is a disease of the elderly and to our knowledge it has never been described in the pediatric age group. We report a case of T-PLL in a 9 year old male who was initially diagnosed with T-cell acute lymphoblastic lymphoma (ALL), the diagnosis was later refined to T-PLL following additional analysis of bone marrow morphology and immunophenotype. Two unusual findings in our patient included CD117 expression and an isolated chromosomal 12(p13) deletion. The patient failed to respond to standard ALL induction chemotherapy, but achieved complete remission following treatment with a fludarabine and alemtuzumab-based regimen.
T 细胞前淋巴细胞白血病(T-PLL)是一种罕见的胸腺后 T 细胞恶性肿瘤,具有侵袭性的临床病程。其典型表现包括白细胞计数升高,伴有贫血和血小板减少、肝脾肿大和淋巴结病。T-PLL 好发于老年人,据我们所知,在儿科年龄组从未有过描述。我们报告了一例 9 岁男性 T-PLL 病例,该患者最初被诊断为 T 细胞急性淋巴细胞白血病(ALL),随后通过对骨髓形态学和免疫表型的进一步分析,诊断为 T-PLL。我们的患者中有两个不常见的发现,包括 CD117 表达和孤立性 12(p13)染色体缺失。该患者对标准 ALL 诱导化疗无反应,但在用氟达拉滨和阿仑单抗为基础的方案治疗后获得完全缓解。