Suppr超能文献

巨细胞纤维瘤:一项临床病理研究。

Giant cell fibroma: A clinicopathological study.

作者信息

Sabarinath B, Sivaramakrishnan M, Sivapathasundharam B

机构信息

Department of Oral Pathology and Microbiology, Meenakshi Ammal Dental College and Hospital, Maduravoyal, Chennai, India.

出版信息

J Oral Maxillofac Pathol. 2012 Sep;16(3):359-62. doi: 10.4103/0973-029X.102485.

Abstract

OBJECTIVE

Giant cell fibromas (GCF) of the oral cavity are found predominantly in Caucasians and rarely in other races. This retrospective study was done to evaluate the clinicopathological features of GCFs in a sample of Indian population.

MATERIALS AND METHODS

21 oral GCF cases were investigated from the year 1995 to 2010. Clinical data and microscopic features were reviewed and analyzed.

RESULTS

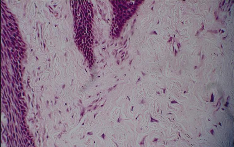
The mean age of patients at the time of diagnosis was 39years. Oral GCF occurred in patients between 6 and 67 years of age. The lesions were 4-17 mm in greatest dimension. GCF frequently has the provisional diagnosis of fibroma or papilloma. All tumors were treated by total surgical excision and no recurrence was reported. The consistent and diagnostic feature was the presence of large stellate giant cells, usually with one or two nuclei. Multinucleated giant cells were seen occasionally. These giant cells were most numerous in the connective tissue beneath the epithelium.

CONCLUSION

Though there are distinct histopathologic features for GCF, its clinical presentation and prognosis are similar to the conventional fibroma/fibroepithelial polyp.

摘要

目的

口腔巨细胞纤维瘤(GCF)主要见于白种人,在其他种族中很少见。本回顾性研究旨在评估印度人群样本中GCF的临床病理特征。

材料与方法

对1995年至2010年间的21例口腔GCF病例进行研究。回顾并分析临床资料和微观特征。

结果

诊断时患者的平均年龄为39岁。口腔GCF发生于6至67岁的患者。病变最大直径为4 - 17毫米。GCF常初步诊断为纤维瘤或乳头状瘤。所有肿瘤均通过手术全切治疗,未报告复发情况。其一致且具有诊断意义的特征是存在大的星状巨细胞,通常有一个或两个核。偶尔可见多核巨细胞。这些巨细胞在上皮下结缔组织中最多。

结论

尽管GCF有独特的组织病理学特征,但其临床表现和预后与传统纤维瘤/纤维上皮性息肉相似。

https://cdn.ncbi.nlm.nih.gov/pmc/blobs/ec05/3519210/17088f901d23/JOMFP-16-359-g002.jpg

文献AI研究员

20分钟写一篇综述,助力文献阅读效率提升50倍。

立即体验

用中文搜PubMed

大模型驱动的PubMed中文搜索引擎

马上搜索

文档翻译

学术文献翻译模型,支持多种主流文档格式。

立即体验