Department of Pathology and Forensic Medicine, College of Medicine, Al-Nahrain University, Baghdad, Iraq.
Saudi J Gastroenterol. 2013 Jan-Feb;19(1):23-7. doi: 10.4103/1319-3767.105916.
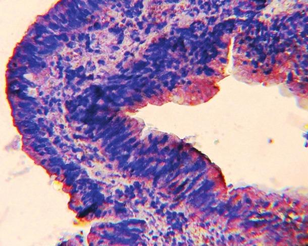
BACKGROUND/AIM: To evaluate the immunohistochemical expression of matrix metalloproteinase-7 (MMP-7) in colorectal adenomas, and to correlate this expression with different clinicopathological parameters.
The study was retrospectively designed. Thirty three paraffin blocks from patients with colorectal adenoma and 20 samples of non-tumerous colonic tissue taken as control group were included in the study. MMP-7 expression was assessed by immunohistochemistry method. The scoring of immunohistochemical staining was conducted utilizing a specified automated cellular image analysis system (Digimizer).
The frequency of positive immunohistochemical expression of MMP-7 was significantly higher in adenoma than control group (45.45% versus 10%) (P value < 0.001). Strong MMP-7 staining was mainly seen in adenoma cases (30.30%) in comparison with control (0%) the difference is significant ( P < 0.001). The three digital parameters of MMP-7 immunohistochemical expression (Area (A), Number of objects (N), and intensity (I)) were significantly higher in adenoma than control. Mean (A and I) of MMP-7 showed a significant correlation with large sized adenoma (≥ 1cm) ( P < 0.05), also a significant positive correlation of the three digital parameters (A, N, and I) of MMP-7 expression with villous configuration and severe dysplasia in colorectal adenoma had been identified ( P < 0.05).
MMP-7 plays an important role in the growth and malignant conversion of colorectal adenomas as it is more likely to be expressed in advanced colorectal adenomatous polyps with large size, severe dysplasia and villous histology. The use of automated cellular image analysis system (Digmizer) to quantify immunohistochemical staining yields more consistent assay results, converts semi-quantitative assay to a truly quantitative assay, and improves assay objectivity and reproducibility.
背景/目的:评估基质金属蛋白酶-7(MMP-7)在结直肠腺瘤中的免疫组织化学表达,并将这种表达与不同的临床病理参数相关联。
本研究采用回顾性设计。共纳入 33 例结直肠腺瘤石蜡块和 20 例非肿瘤性结肠组织作为对照组。采用免疫组织化学方法评估 MMP-7 的表达。采用特定的自动细胞图像分析系统(Digimizer)对免疫组织化学染色进行评分。
MMP-7 免疫组织化学阳性表达的频率在腺瘤组明显高于对照组(45.45%比 10%)(P 值<0.001)。与对照组(0%)相比,MMP-7 强染色主要见于腺瘤病例(30.30%),差异有统计学意义(P<0.001)。MMP-7 免疫组织化学表达的三个数字参数(面积(A)、目标数(N)和强度(I))在腺瘤组均明显高于对照组。MMP-7 的平均(A 和 I)与较大尺寸的腺瘤(≥1cm)显著相关(P<0.05),MMP-7 表达的三个数字参数(A、N 和 I)与结直肠腺瘤的绒毛状结构和重度异型增生也呈显著正相关(P<0.05)。
MMP-7 在结直肠腺瘤的生长和恶性转化中发挥重要作用,因为它更可能在具有大尺寸、重度异型增生和绒毛状组织学特征的高级结直肠腺瘤性息肉中表达。使用自动细胞图像分析系统(Digimizer)对免疫组织化学染色进行定量可以产生更一致的检测结果,将半定量检测转化为真正的定量检测,并提高检测的客观性和可重复性。