Suppr超能文献

一例与卵圆孔未闭相关的隐源性卒中合并肺栓塞、深静脉血栓形成和肾动脉梗死。

A case of cryptogenic stroke associated with patent foramen ovale coexisting with pulmonary embolisms, deep vein thromboses, and renal artery infarctions.

机构信息

Division of Cardiology, Department of Internal Medicine, Presbyterian Medical Center, Jeonju, Korea.

出版信息

Korean Circ J. 2012 Dec;42(12):853-6. doi: 10.4070/kcj.2012.42.12.853. Epub 2012 Dec 31.

Abstract

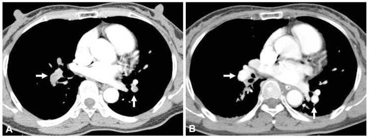
A paradoxical embolism is defined as a systemic arterial embolism requiring the passage of a venous thrombus into the arterial circulatory system through a right-to-left shunt, and is commonly related to patent foramen ovale (PFO). However, coexisting pulmonary embolisms, deep vein thromboses (DVT), and multipe systemic arterial embolisms, associated with PFO, are rare. Here, we report a patient who had a cryptogenic ischemic stroke, associated with PFO, which is complicated with a massive pulmonary thromboembolism, DVT, and renal infarctions, and subsequently, the patient was treated using a thrombolytic therapy.

摘要

矛盾性栓塞定义为静脉血栓通过右向左分流进入体循环动脉系统导致的全身性动脉栓塞,通常与卵圆孔未闭(PFO)有关。然而,PFO 并发肺栓塞、深静脉血栓形成(DVT)和多发性体循环动脉栓塞较为罕见。在此,我们报告了一例伴有 PFO 的隐源性缺血性脑卒中患者,该患者并发了巨大的肺血栓栓塞、DVT 和肾梗死,随后接受溶栓治疗。

https://cdn.ncbi.nlm.nih.gov/pmc/blobs/37a3/3539053/e8d138db1bc1/kcj-42-853-g001.jpg

文献AI研究员

20分钟写一篇综述,助力文献阅读效率提升50倍。

立即体验

用中文搜PubMed

大模型驱动的PubMed中文搜索引擎

马上搜索

文档翻译

学术文献翻译模型,支持多种主流文档格式。

立即体验