Park Young Joo, Kim Kwang Yong, Park Ji Young, Cho Jin Sung, Kim Young, Shin Sun Hyoung
Department of Surgery, Chonnam National University Hwasun Hospital, Hwasun, Korea.
J Korean Surg Soc. 2013 Jan;84(1):57-60. doi: 10.4174/jkss.2013.84.1.57. Epub 2012 Dec 26.
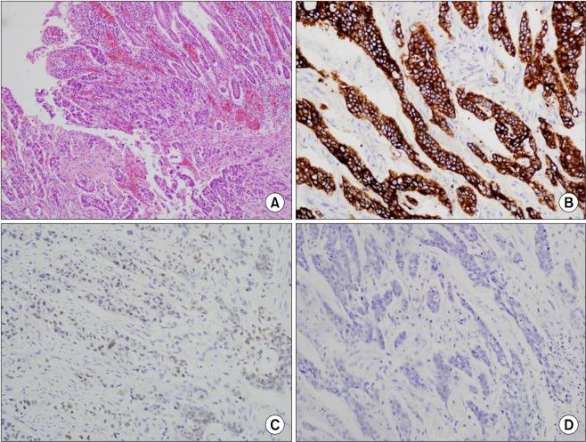
Symptomatic gastrointestinal metastasis from lung malignancy is rarely reported. In this report, we present a case of lung adenocarcinoma with acute abdominal pain from small bowel perforation. The patient underwent small bowel resection and the final diagnosis was metastatic adenocarcinoma originating from lung. Immunohistochemistry was positive for thyroid transcription factor-1 and cytokeratin 7 (CK7), and negative for CK20. We present this rare case and briefly review the literature.