Jain Manjula, Madan Neha K, Agarwal Shilpi, Singh Smita
Department of Pathology, Lady Hardinge Medical College, New Delhi, India.
J Cytol. 2012 Oct;29(4):273-5. doi: 10.4103/0970-9371.103952.
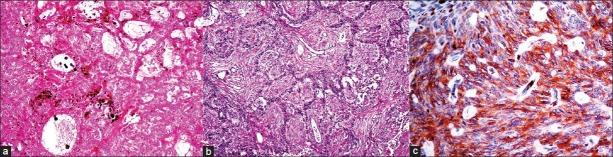
Pigmented basal cell carcinoma is a rare cutaneous neoplasm with only a few cases reported so far. Review of the literature yielded only an occasional fine-needle aspiration report of the cytologic features of the tumor.We report a rare case of pigmented basal cell carcinoma occurring on the thigh of a 55-year-old woman. The cytological features are described with discussion over the possible differential diagnoses.