Suppr超能文献

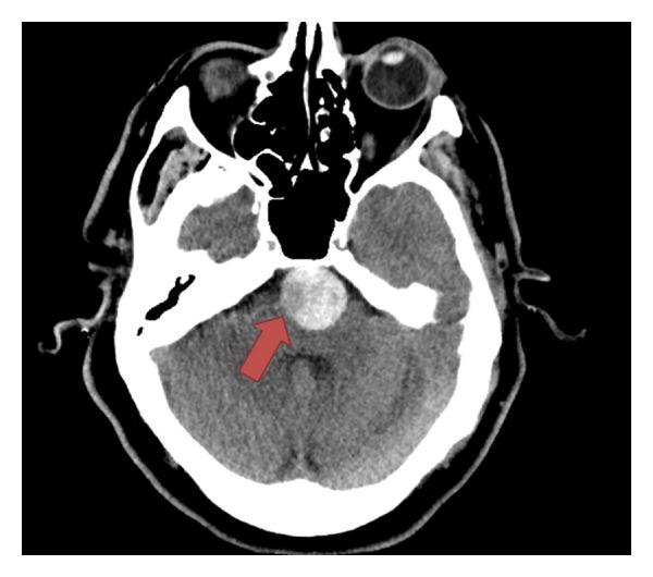
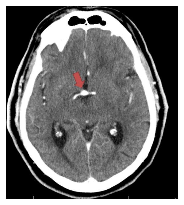
巨大基底动脉瘤伴小脑后下动脉卒中及随后的致命性蛛网膜下腔出血。

Large basilar aneurysm with posterior inferior cerebellar artery stroke and consequential fatal subarachnoid hemorrhage.

作者信息

Patel Rohit, Allen Brandon, Desai Bobby

机构信息

Department of Emergency Medicine, University of Florida College of Medicine, 1329 SW 16th Street, P.O. Box 100186, Gainesville, FL 32610-0186, USA.

出版信息

Case Rep Emerg Med. 2012;2012:204585. doi: 10.1155/2012/204585. Epub 2012 Sep 17.

Abstract

Basilar artery aneurysm presenting a stroke is rare, and we present a case of this along with a discussion of the management options available.

摘要

以卒中为表现的基底动脉动脉瘤很罕见,我们在此报告一例,并讨论现有的治疗选择。

https://cdn.ncbi.nlm.nih.gov/pmc/blobs/5999/3542926/d5c193c2645d/CRIM.EM2012-204585.001.jpg

文献检索

告别复杂PubMed语法,用中文像聊天一样搜索,搜遍4000万医学文献。AI智能推荐,让科研检索更轻松。

立即免费搜索

文件翻译

保留排版,准确专业,支持PDF/Word/PPT等文件格式,支持 12+语言互译。

免费翻译文档

深度研究

AI帮你快速写综述,25分钟生成高质量综述,智能提取关键信息,辅助科研写作。

立即免费体验