Center of Excellence for Poultry Science, University of Arkansas Fayetteville, AR, USA.
Front Endocrinol (Lausanne). 2013 Jan 22;3:183. doi: 10.3389/fendo.2012.00183. eCollection 2012.
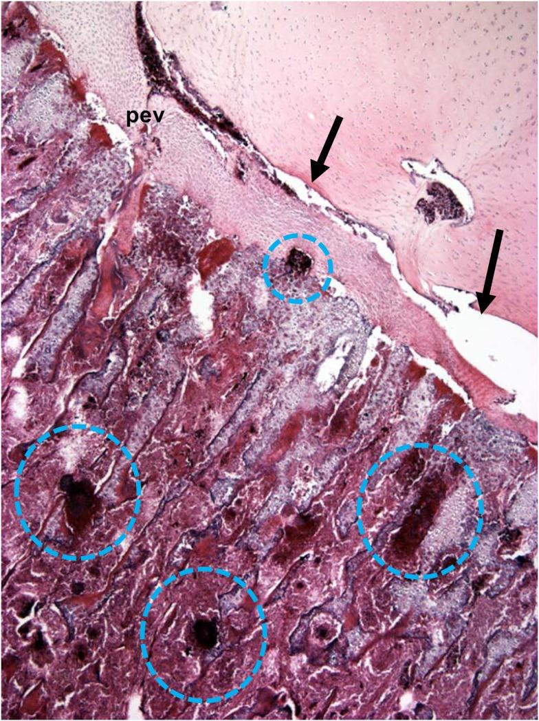
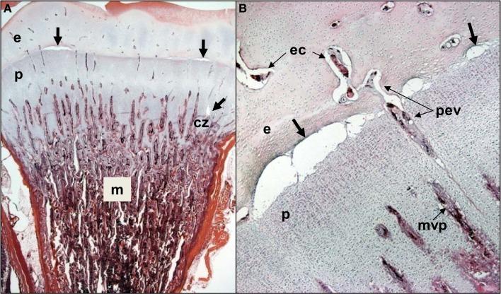
This review provides a comprehensive overview of the vascularization of the avian growth plate and its subsequent role in the pathogenesis of bacterial chondronecrosis with osteomyelitis (BCO, femoral head necrosis). BCO sporadically causes high incidences of lameness in rapidly growing broiler (meat-type) chickens. BCO is believed to be initiated by micro-trauma to poorly mineralized columns of cartilage cells in the proximal growth plates of the leg bones, followed by colonization by hematogenously distributed opportunistic bacteria. Inadequate blood flow to the growth plate, vascular occlusion, and structural limitations of the microvasculature all have been implicated in the pathogenesis of BCO. Treatment strategies have been difficult to investigate because under normal conditions the incidence of BCO typically is low and sporadic. Rearing broilers on wire flooring triggers the spontaneous development of high incidences of lameness attributable to pathognomonic BCO lesions. Wire flooring imposes persistent footing instability and is thought to accelerate the development of BCO by amplifying the torque and shear stress imposed on susceptible leg joints. Wire flooring per se also constitutes a significant chronic stressor that promotes bacterial proliferation attributed to stress-mediated immunosuppression. Indeed, dexamethasone-mediated immunosuppression causes broilers to develop lameness primarily associated with avascular necrosis and BCO. Prophylactic probiotic administration consistently reduces the incidence of lameness in broilers reared on wire flooring, presumably by reducing bacterial translocation from the gastrointestinal tract that likely contributes to hematogenous infection of the leg bones. The pathogenesis of BCO in broilers is directly relevant to osteomyelitis in growing children, as well as to avascular femoral head necrosis in adults. Our new model for reliably triggering spontaneous osteomyelitis in large numbers of animals represents an important opportunity to conduct translational research focused on developing effective prophylactic and therapeutic treatments.
这篇综述全面概述了禽类生长板的血管生成及其在细菌性软骨坏死伴骨髓炎(BCO,股骨头坏死)发病机制中的后续作用。BCO 偶尔会导致快速生长的肉鸡(肉用型)跛行发生率很高。BCO 被认为是由腿部骨骼近端生长板中矿化不良的软骨细胞柱微创伤引起的,随后由血液分布的机会性细菌定植。生长板血流不足、血管闭塞以及微血管结构限制都与 BCO 的发病机制有关。由于在正常情况下 BCO 的发病率通常较低且呈散发性,因此治疗策略一直难以研究。在金属丝地板上饲养肉鸡会引发高发病率的跛行,这归因于特发性 BCO 病变。金属丝地板会造成持续的脚部不稳定,并且通过放大对易感腿部关节施加的扭矩和剪切力,被认为会加速 BCO 的发展。金属丝地板本身也是一个重要的慢性应激源,会促进细菌增殖,这归因于应激介导的免疫抑制。事实上,地塞米松介导的免疫抑制会导致肉鸡出现跛行,主要与无菌性坏死和 BCO 有关。预防性益生菌给药可降低金属丝地板饲养肉鸡的跛行发生率,这可能是通过减少从胃肠道发生的细菌易位,从而有助于腿部骨骼的血源性感染。肉鸡 BCO 的发病机制与儿童生长期骨髓炎以及成人无菌性股骨头坏死直接相关。我们的新型可靠触发大量动物自发性骨髓炎的模型为开展针对有效预防和治疗措施的转化研究提供了重要机会。