• 文献检索
  • 文档翻译
  • 深度研究
  • 学术资讯
  • Suppr Zotero 插件Zotero 插件
  • 邀请有礼
  • 套餐&价格
  • 历史记录
应用&插件
Suppr Zotero 插件Zotero 插件浏览器插件Mac 客户端Windows 客户端微信小程序
定价
高级版会员购买积分包购买API积分包
服务
文献检索文档翻译深度研究API 文档MCP 服务
关于我们
关于 Suppr公司介绍联系我们用户协议隐私条款
关注我们

Suppr 超能文献

核心技术专利:CN118964589B侵权必究
粤ICP备2023148730 号-1Suppr @ 2026

文献检索

告别复杂PubMed语法,用中文像聊天一样搜索,搜遍4000万医学文献。AI智能推荐,让科研检索更轻松。

立即免费搜索

文件翻译

保留排版,准确专业,支持PDF/Word/PPT等文件格式,支持 12+语言互译。

免费翻译文档

深度研究

AI帮你快速写综述,25分钟生成高质量综述,智能提取关键信息,辅助科研写作。

立即免费体验

鸡肠道 MUC2 基因的克隆、注释和发育表达。

Cloning, annotation and developmental expression of the chicken intestinal MUC2 gene.

机构信息

Department of Animal Sciences, Purdue University, West Lafayette, Indiana, United States of America.

出版信息

PLoS One. 2013;8(1):e53781. doi: 10.1371/journal.pone.0053781. Epub 2013 Jan 21.

DOI:10.1371/journal.pone.0053781
PMID:23349743
原文链接:https://pmc.ncbi.nlm.nih.gov/articles/PMC3549977/
Abstract

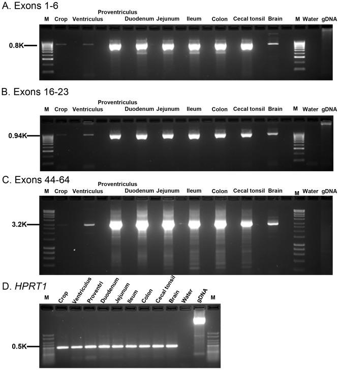
Intestinal mucin 2 (MUC2) encodes a heavily glycosylated, gel-forming mucin, which creates an important protective mucosal layer along the gastrointestinal tract in humans and other species. This first line of defense guards against attacks from microorganisms and is integral to the innate immune system. As a first step towards characterizing the innate immune response of MUC2 in different species, we report the cloning of a full-length, 11,359 bp chicken MUC2 cDNA, and describe the genomic organization and functional annotation of this complex, 74.5 kb locus. MUC2 contains 64 exons and demonstrates distinct spatiotemporal expression profiles throughout development in the gastrointestinal tract; expression increases with gestational age and from anterior to posterior along the gut. The chicken protein has a similar domain organization as the human orthologue, with a signal peptide and several von Willebrand domains in the N-terminus and the characteristic cystine knot at the C-terminus. The PTS domain of the chicken MUC2 protein spans ∼1600 amino acids and is interspersed with four CysD motifs. However, the PTS domain in the chicken diverges significantly from the human orthologue; although the chicken domain is shorter, the repetitive unit is 69 amino acids in length, which is three times longer than the human. The amino acid composition shows very little similarity to the human motif, which potentially contributes to differences in the innate immune response between species, as glycosylation across this rapidly evolving domain provides much of the musical barrier. Future studies of the function of MUC2 in the innate immune response system in chicken could provide an important model organism to increase our understanding of the biological significance of MUC2 in host defense and highlight the potential of the chicken for creating new immune-based therapies.

摘要

肠黏蛋白 2(MUC2)编码一种高度糖基化、形成凝胶的黏蛋白,在人类和其他物种的胃肠道中形成重要的保护性黏膜层。这种第一道防线可以抵御微生物的攻击,是先天免疫系统的重要组成部分。为了初步阐明不同物种中 MUC2 的先天免疫反应,我们克隆了全长 11359bp 的鸡 MUC2 cDNA,并描述了这个复杂的 74.5kb 基因座的基因组组织和功能注释。MUC2 包含 64 个外显子,在胃肠道的发育过程中表现出明显的时空表达模式;其表达随着胎龄的增加以及从肠道的前到后逐渐增加。鸡蛋白与人类同源物具有相似的结构域组织,在 N 端具有信号肽和几个 von Willebrand 结构域,在 C 端具有特征性的半胱氨酸结。鸡 MUC2 蛋白的 PTS 结构域跨越约 1600 个氨基酸,其中散布着四个 CysD 基序。然而,鸡的 PTS 结构域与人类同源物有很大的不同;尽管鸡的结构域较短,但重复单元的长度为 69 个氨基酸,是人类的三倍长。该氨基酸组成与人类基序非常相似,这可能导致不同物种之间先天免疫反应的差异,因为在这个快速进化的结构域中,糖基化提供了大部分的音乐屏障。未来对鸡先天免疫反应系统中 MUC2 功能的研究可能为我们提供一个重要的模式生物,以增加我们对 MUC2 在宿主防御中的生物学意义的理解,并强调鸡在创造新的免疫治疗方法方面的潜力。

https://cdn.ncbi.nlm.nih.gov/pmc/blobs/0a94/3549977/c34fa4034f4c/pone.0053781.g008.jpg
https://cdn.ncbi.nlm.nih.gov/pmc/blobs/0a94/3549977/1fdf6e967e58/pone.0053781.g001.jpg
https://cdn.ncbi.nlm.nih.gov/pmc/blobs/0a94/3549977/cb3fb769de37/pone.0053781.g002.jpg
https://cdn.ncbi.nlm.nih.gov/pmc/blobs/0a94/3549977/7082eb697af7/pone.0053781.g003.jpg
https://cdn.ncbi.nlm.nih.gov/pmc/blobs/0a94/3549977/3fc002f2dab5/pone.0053781.g004.jpg
https://cdn.ncbi.nlm.nih.gov/pmc/blobs/0a94/3549977/61f0e6e3afdf/pone.0053781.g005.jpg
https://cdn.ncbi.nlm.nih.gov/pmc/blobs/0a94/3549977/2dec775d40cb/pone.0053781.g006.jpg
https://cdn.ncbi.nlm.nih.gov/pmc/blobs/0a94/3549977/03ed2067b151/pone.0053781.g007.jpg
https://cdn.ncbi.nlm.nih.gov/pmc/blobs/0a94/3549977/c34fa4034f4c/pone.0053781.g008.jpg
https://cdn.ncbi.nlm.nih.gov/pmc/blobs/0a94/3549977/1fdf6e967e58/pone.0053781.g001.jpg
https://cdn.ncbi.nlm.nih.gov/pmc/blobs/0a94/3549977/cb3fb769de37/pone.0053781.g002.jpg
https://cdn.ncbi.nlm.nih.gov/pmc/blobs/0a94/3549977/7082eb697af7/pone.0053781.g003.jpg
https://cdn.ncbi.nlm.nih.gov/pmc/blobs/0a94/3549977/3fc002f2dab5/pone.0053781.g004.jpg
https://cdn.ncbi.nlm.nih.gov/pmc/blobs/0a94/3549977/61f0e6e3afdf/pone.0053781.g005.jpg
https://cdn.ncbi.nlm.nih.gov/pmc/blobs/0a94/3549977/2dec775d40cb/pone.0053781.g006.jpg
https://cdn.ncbi.nlm.nih.gov/pmc/blobs/0a94/3549977/03ed2067b151/pone.0053781.g007.jpg
https://cdn.ncbi.nlm.nih.gov/pmc/blobs/0a94/3549977/c34fa4034f4c/pone.0053781.g008.jpg

相似文献

1
Cloning, annotation and developmental expression of the chicken intestinal MUC2 gene.鸡肠道 MUC2 基因的克隆、注释和发育表达。
PLoS One. 2013;8(1):e53781. doi: 10.1371/journal.pone.0053781. Epub 2013 Jan 21.
2
An inventory of mucin genes in the chicken genome shows that the mucin domain of Muc13 is encoded by multiple exons and that ovomucin is part of a locus of related gel-forming mucins.鸡基因组中黏蛋白基因的清单显示,Muc13的黏蛋白结构域由多个外显子编码,且卵黏蛋白是相关凝胶形成黏蛋白基因座的一部分。
BMC Genomics. 2006 Aug 3;7:197. doi: 10.1186/1471-2164-7-197.
3
Molecular cloning of human intestinal mucin (MUC2) cDNA. Identification of the amino terminus and overall sequence similarity to prepro-von Willebrand factor.人肠粘蛋白(MUC2)cDNA的分子克隆。氨基末端的鉴定以及与前血管性血友病因子的整体序列相似性。
J Biol Chem. 1994 Jan 28;269(4):2440-6.
4
Gastrointestinal expression and partial cDNA cloning of murine Muc2.小鼠Muc2在胃肠道的表达及部分cDNA克隆
Am J Physiol. 1999 Jan;276(1):G115-24. doi: 10.1152/ajpgi.1999.276.1.G115.
5
Molecular cloning of a cDNA coding for a region of an apoprotein from the 'insoluble' mucin complex of rat small intestine.大鼠小肠“不溶性”粘蛋白复合物中一种载脂蛋白区域编码cDNA的分子克隆。
Biochem Biophys Res Commun. 1994 Jan 14;198(1):181-90. doi: 10.1006/bbrc.1994.1026.
6
Structural organization, sequence, and expression of the chicken NRAMP1 gene encoding the natural resistance-associated macrophage protein 1.编码天然抗性相关巨噬细胞蛋白1的鸡NRAMP1基因的结构组织、序列及表达
DNA Cell Biol. 1996 Feb;15(2):113-23. doi: 10.1089/dna.1996.15.113.
7
The intestinal MUC2 mucin C-terminus is stabilized by an extra disulfide bond in comparison to von Willebrand factor and other gel-forming mucins.与血管性血友病因子和其他凝胶形成粘蛋白相比,肠道 MUC2 粘蛋白 C 末端通过额外的二硫键稳定。
Nat Commun. 2023 Apr 8;14(1):1969. doi: 10.1038/s41467-023-37666-8.
8
Function of the CysD domain of the gel-forming MUC2 mucin.凝胶形成型 MUC2 粘蛋白的 CysD 结构域的功能。
Biochem J. 2011 May 15;436(1):61-70. doi: 10.1042/BJ20102066.
9
Intestinal MUC2 mucin supramolecular topology by packing and release resting on D3 domain assembly.肠道MUC2粘蛋白的超分子拓扑结构通过基于D3结构域组装的堆积和释放形成。
J Mol Biol. 2014 Jul 15;426(14):2567-2579. doi: 10.1016/j.jmb.2014.04.027. Epub 2014 May 8.
10
Modeling the human intestinal mucin (MUC2) C-terminal cystine knot dimer.模拟人肠道黏蛋白(MUC2)C 端半胱氨酸结二聚体。
J Mol Model. 2011 Nov;17(11):2953-63. doi: 10.1007/s00894-010-0932-0. Epub 2011 Feb 12.

引用本文的文献

1
Butyric and valeric glycerides alleviate sub-clinical necrotic enteritis effect on performance and gut health of broiler chickens.丁酸甘油酯和戊酸甘油酯可减轻亚临床坏死性肠炎对肉鸡生产性能和肠道健康的影响。
Poult Sci. 2025 Jun 13;104(9):105441. doi: 10.1016/j.psj.2025.105441.
2
Response of YPM x Ross 708 male broilers to diets containing varying inclusions of phytase, calcium butyrate, and bacitracin methylene disalicylate during the grower and finisher periods-part 2: Intestinal health and physiology.青年鹧鸪×罗斯708雄性肉鸡在生长育肥期对含有不同添加量植酸酶、丁酸钙和杆菌肽亚甲基二水杨酸酯日粮的反应——第2部分:肠道健康与生理机能
Poult Sci. 2025 Mar;104(3):104862. doi: 10.1016/j.psj.2025.104862. Epub 2025 Jan 31.
3

本文引用的文献

1
Mucin Muc2 deficiency and weaning influences the expression of the innate defense genes Reg3β, Reg3γ and angiogenin-4.黏蛋白 Muc2 缺乏和离乳影响固有防御基因 Reg3β、Reg3γ 和血管生成素-4 的表达。
PLoS One. 2012;7(6):e38798. doi: 10.1371/journal.pone.0038798. Epub 2012 Jun 19.
2
Calcium and pH-dependent packing and release of the gel-forming MUC2 mucin.钙离子和 pH 值依赖性的凝胶形成 MUC2 粘蛋白的组装和释放。
Proc Natl Acad Sci U S A. 2012 Apr 10;109(15):5645-50. doi: 10.1073/pnas.1120269109. Epub 2012 Mar 26.
3
Role of mucus layers in gut infection and inflammation.
The risk status, signatures of adaptation, and environmental suitability of village-based indigenous chickens from certain regions of Limpopo and KwaZulu-Natal provinces of South Africa.
南非林波波省和夸祖鲁 - 纳塔尔省某些地区乡村本土鸡的风险状况、适应性特征及环境适宜性
Front Genet. 2024 Dec 18;15:1450939. doi: 10.3389/fgene.2024.1450939. eCollection 2024.
4
Ontogeny and function of the intestinal epithelial and innate immune cells during early development of chicks: to explore in ovo immunomodulatory nutrition.雏鸡早期发育过程中肠道上皮细胞和固有免疫细胞的个体发生及功能:探索胚胎期免疫调节营养
Poult Sci. 2025 Jan;104(1):104607. doi: 10.1016/j.psj.2024.104607. Epub 2024 Nov 27.
5
In-ovo injection of Bacillus subtilis, raffinose, and their combinations enhances hatchability, gut health, nutrient transport- and intestinal function-related genes, and early development of broiler chicks.在鸡胚中注射枯草芽孢杆菌、棉子糖及其组合可提高孵化率、肠道健康、营养物质转运和肠道功能相关基因的表达,并促进肉鸡雏鸡的早期发育。
Poult Sci. 2024 Nov;103(11):104134. doi: 10.1016/j.psj.2024.104134. Epub 2024 Jul 30.
6
Effect of phytase and xylanase enzymes on growth performance and Mucin2 gene expression in broiler chickens.植酸酶和木聚糖酶对肉鸡生长性能和黏蛋白 2 基因表达的影响。
Vet Med Sci. 2023 May;9(3):1241-1248. doi: 10.1002/vms3.1113. Epub 2023 Mar 13.
7
Multi-country metabolic signature discovery for chicken health classification.多国代谢特征发现用于鸡健康分类。
Metabolomics. 2023 Feb 2;19(2):9. doi: 10.1007/s11306-023-01973-4.
8
Effects of Glyceryl Monolaurate on Production Performance, Egg Quality, Oviduct Cytokines and Intestinal Microflora of 66 Weeks Old Laying Hens.单月桂酸甘油酯对66周龄蛋鸡生产性能、蛋品质、输卵管细胞因子及肠道微生物区系的影响
Animals (Basel). 2023 Jan 6;13(2):215. doi: 10.3390/ani13020215.
9
Microbiota Transplantation in Day-Old Broiler Chickens Ameliorates Necrotic Enteritis via Modulation of the Intestinal Microbiota and Host Immune Responses.雏鸡的微生物群移植通过调节肠道微生物群和宿主免疫反应改善坏死性肠炎
Pathogens. 2022 Aug 26;11(9):972. doi: 10.3390/pathogens11090972.
10
Development and Functional Properties of Intestinal Mucus Layer in Poultry.家禽肠道黏膜层的发育和功能特性。
Front Immunol. 2021 Oct 4;12:745849. doi: 10.3389/fimmu.2021.745849. eCollection 2021.
黏液层在肠道感染和炎症中的作用。
Curr Opin Microbiol. 2012 Feb;15(1):57-62. doi: 10.1016/j.mib.2011.11.002. Epub 2011 Dec 14.
4
GenBank.GenBank。
Nucleic Acids Res. 2012 Jan;40(Database issue):D48-53. doi: 10.1093/nar/gkr1202. Epub 2011 Dec 5.
5
Reorganizing the protein space at the Universal Protein Resource (UniProt).重新组织通用蛋白质资源库(UniProt)中的蛋白质空间。
Nucleic Acids Res. 2012 Jan;40(Database issue):D71-5. doi: 10.1093/nar/gkr981. Epub 2011 Nov 18.
6
InterPro in 2011: new developments in the family and domain prediction database.InterPro 在 2011 年:家族和域预测数据库的新发展。
Nucleic Acids Res. 2012 Jan;40(Database issue):D306-12. doi: 10.1093/nar/gkr948. Epub 2011 Nov 16.
7
The UCSC Genome Browser database: extensions and updates 2011.UCSC 基因组浏览器数据库:扩展和更新 2011 年版。
Nucleic Acids Res. 2012 Jan;40(Database issue):D918-23. doi: 10.1093/nar/gkr1055. Epub 2011 Nov 15.
8
Composition and functional role of the mucus layers in the intestine.肠黏液层的组成和功能作用。
Cell Mol Life Sci. 2011 Nov;68(22):3635-41. doi: 10.1007/s00018-011-0822-3. Epub 2011 Sep 25.
9
Colonic gene expression patterns of mucin Muc2 knockout mice reveal various phases in colitis development.黏蛋白 Muc2 基因敲除小鼠结肠的基因表达模式揭示了结肠炎发展的不同阶段。
Inflamm Bowel Dis. 2011 Oct;17(10):2047-57. doi: 10.1002/ibd.21592. Epub 2011 Jan 6.
10
Evolution of trefoil factor(s): genetic and spatio-temporal expression of trefoil factor 2 in the chicken (Gallus gallus domesticus).三叶因子家族的进化:鸡(Gallus gallus domesticus)三叶因子 2 的遗传和时空表达。
PLoS One. 2011;6(7):e22691. doi: 10.1371/journal.pone.0022691. Epub 2011 Jul 29.