Suppr超能文献

持续性呃逆作为肺栓塞的罕见表现症状。

Persistent hiccups as a rare presenting symptom of pulmonary embolism.

机构信息

New York Medical College, Metropolitan Hospital Center, Department of Emergency Medicine, Westchester County, New York.

出版信息

West J Emerg Med. 2012 Dec;13(6):479-83. doi: 10.5811/westjem.2012.4.6894.

Abstract

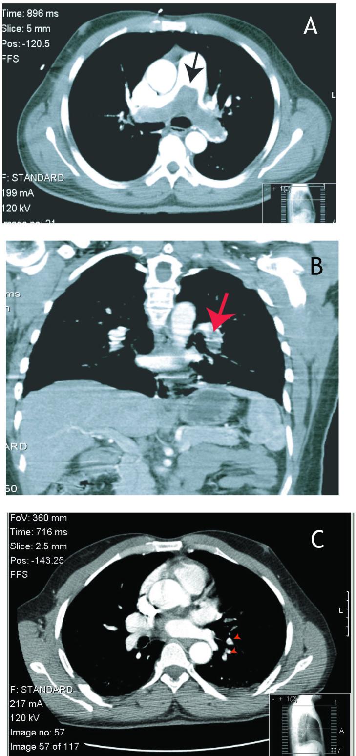
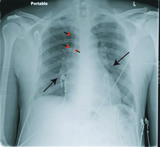
Pulmonary embolism (PE) is a life-threatening condition that may present as dyspnea, chest pain, cough or hemoptysis, but often occurs without symptoms. It is not typically associated with hiccups. Hiccups are generally self-limiting benign contractions of the diaphragm that may be associated with medications or food but may also be symptomatic of serious disease when persistent. We report 3 cases of PE presenting as persistent hiccups.

摘要

肺栓塞(PE)是一种危及生命的疾病,可能表现为呼吸困难、胸痛、咳嗽或咯血,但常无症状。它通常与打嗝无关。打嗝通常是膈肌的自限性良性收缩,可能与药物或食物有关,但当持续存在时也可能是严重疾病的症状。我们报告了 3 例以持续打嗝为表现的 PE。

https://cdn.ncbi.nlm.nih.gov/pmc/blobs/afc2/3555588/96d51397bbb8/wjem-13-479-g001.jpg

文献AI研究员

20分钟写一篇综述,助力文献阅读效率提升50倍。

立即体验

用中文搜PubMed

大模型驱动的PubMed中文搜索引擎

马上搜索

文档翻译

学术文献翻译模型,支持多种主流文档格式。

立即体验