Suppr超能文献

幽门螺旋杆菌在体外和体内均可促进致癌介质 Krüppel 样因子 5 的表达。

Helicobacter pylori promotes the expression of Krüppel-like factor 5, a mediator of carcinogenesis, in vitro and in vivo.

机构信息

Department of Medicine, Division of Gastroenterology, Vanderbilt University Medical Center, Nashville, Tennessee, United States of America.

出版信息

PLoS One. 2013;8(1):e54344. doi: 10.1371/journal.pone.0054344. Epub 2013 Jan 23.

Abstract

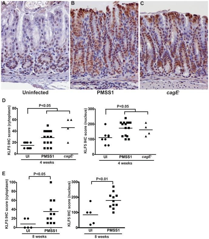
Helicobacter pylori is the strongest known risk factor for the development of gastric adenocarcinoma. H. pylori expresses a repertoire of virulence factors that increase gastric cancer risk, including the cag pathogenicity island and the vacuolating cytotoxin (VacA). One host element that promotes carcinogenesis within the gastrointestinal tract is Krüppel-like factor 5 (KLF5), a transcription factor that mediates key cellular functions. To define the role of KLF5 within the context of H. pylori-induced inflammation and injury, human gastric epithelial cells were co-cultured with the wild-type cag(+) H. pylori strain 60190. KLF5 expression was significantly upregulated following co-culture with H. pylori, but increased expression was independent of the cag island or VacA. To translate these findings into an in vivo model, C57BL/6 mice were challenged with the wild-type rodent-adapted cag(+) H. pylori strain PMSS1 or a PMSS1 cagE(-) isogenic mutant. Similar to findings in vitro, KLF5 staining was significantly enhanced in gastric epithelium of H. pylori-infected compared to uninfected mice and this was independent of the cag island. Flow cytometry revealed that the majority of KLF5(+) cells also stained positively for the stem cell marker, Lrig1, and KLF5(+)/Lrig1(+) cells were significantly increased in H. pylori-infected versus uninfected tissue. To extend these results into the natural niche of this pathogen, levels of KLF5 expression were assessed in human gastric biopsies isolated from patients with or without premalignant lesions. Levels of KLF5 expression increased in parallel with advancing stages of neoplastic progression, being significantly elevated in gastritis, intestinal metaplasia, and dysplasia compared to normal gastric tissue. These results indicate that H. pylori induces expression of KLF5 in gastric epithelial cells in vitro and in vivo, and that the degree of KLF5 expression parallels the severity of premalignant lesions in human gastric carcinogenesis.

摘要

幽门螺杆菌是导致胃腺癌发展的已知最强危险因素。幽门螺杆菌表达了一系列增加胃癌风险的毒力因子,包括 cag 致病岛和空泡细胞毒素 (VacA)。在胃肠道中促进癌变的一个宿主因素是 Kruppel 样因子 5 (KLF5),它是一种介导关键细胞功能的转录因子。为了确定 KLF5 在幽门螺杆菌诱导的炎症和损伤背景下的作用,将人胃上皮细胞与野生型 cag(+)幽门螺杆菌菌株 60190 共培养。与幽门螺杆菌共培养后,KLF5 的表达显著上调,但这种表达增加与 cag 岛或 VacA 无关。为了将这些发现转化为体内模型,C57BL/6 小鼠受到野生型适应于啮齿动物的 cag(+)幽门螺杆菌菌株 PMSS1 或 PMSS1 cagE(-) 同源突变体的挑战。与体外发现相似,与未感染的小鼠相比,感染幽门螺杆菌的小鼠胃上皮中的 KLF5 染色显著增强,而这与 cag 岛无关。流式细胞术显示,大多数 KLF5(+)细胞也对干细胞标志物 Lrig1 呈阳性染色,并且在感染幽门螺杆菌的组织中,KLF5(+)/Lrig1(+)细胞显著增加。为了将这些结果扩展到该病原体的自然栖息地,评估了来自有或没有癌前病变的患者的人胃活检样本中的 KLF5 表达水平。KLF5 表达水平随着肿瘤进展阶段的进展而平行增加,与正常胃组织相比,在胃炎、肠上皮化生和发育不良中显著升高。这些结果表明,幽门螺杆菌在体外和体内诱导胃上皮细胞中 KLF5 的表达,并且 KLF5 的表达程度与人类胃癌变中癌前病变的严重程度平行。

https://cdn.ncbi.nlm.nih.gov/pmc/blobs/07c0/3553174/09b7c3222c2f/pone.0054344.g001.jpg

文献AI研究员

20分钟写一篇综述,助力文献阅读效率提升50倍。

立即体验

用中文搜PubMed

大模型驱动的PubMed中文搜索引擎

马上搜索

文档翻译

学术文献翻译模型,支持多种主流文档格式。

立即体验