Suppr超能文献

股骨颈骨折时老年人股骨头关节软骨表层区域晶体的分布情况

Distribution of crystals in the superficial zone of elderly human articular cartilage of the femoral head in subcapital fracture.

作者信息

Stockwell R A

机构信息

Department of Anatomy, University Medical School, Edinburgh.

出版信息

Ann Rheum Dis. 1990 Apr;49(4):231-5. doi: 10.1136/ard.49.4.231.

Abstract

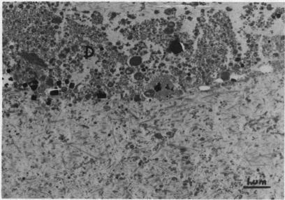
Crystal distribution in articular cartilage of femoral heads resected at hip arthroplasty for fracture of the femoral neck was examined in 10 patients (77-91 years) by computerised image analysis of electron micrographs. Crystal content of the zenith did not differ from that of the infrafoveal region of the femoral head in the superficial 0.5 mm of the cartilage. Crystal area density (percentage area of the section occupied by crystal profiles) was higher in a zone 0-50 microns than in the subjacent zone 50-500 microns from the articular surface, particularly in the zenith of the femoral head. It was also higher on the superficial (towards the articular surface) aspect than on the deep aspect of cells in perilacunar matrix. Crystal area density was similar in lacunar matrix, perilacunar matrix, and matrix remote from cells. Matrix containing cell debris was more heavily impregnated with crystals than any other site. No difference in crystal content was observed in cartilage beneath articular surfaces which were ultrastructurally smooth or roughened. The diminishing gradient of crystal area density with depth from the articular surface, the absence of a marked spatial association with living cells, and the impregnation of sites containing cell debris suggest that crystal deposition in these cases is not due primarily to chondrocyte activity.

摘要

通过对电子显微镜照片进行计算机图像分析,对10例(77 - 91岁)因股骨颈骨折行髋关节置换术切除的股骨头关节软骨中的晶体分布进行了检查。在软骨表面0.5毫米处,股骨头顶点的晶体含量与股骨头凹下区域的晶体含量没有差异。晶体面积密度(晶体轮廓所占切片面积的百分比)在距关节表面0 - 50微米的区域高于相邻的50 - 500微米区域,尤其是在股骨头的顶点。在陷窝周围基质中,细胞表面(朝向关节表面)的晶体面积密度也高于深部。陷窝基质、陷窝周围基质和远离细胞的基质中的晶体面积密度相似。含有细胞碎片的基质比其他任何部位都有更多的晶体浸润。在超微结构光滑或粗糙的关节表面下方的软骨中,未观察到晶体含量的差异。晶体面积密度随距关节表面深度的递减梯度、与活细胞无明显空间关联以及含有细胞碎片部位的浸润表明,这些病例中的晶体沉积主要不是由于软骨细胞的活动。

https://cdn.ncbi.nlm.nih.gov/pmc/blobs/4d26/1004044/0f90d2c65b48/annrheumd00438-0028-a.jpg

文献检索

告别复杂PubMed语法,用中文像聊天一样搜索,搜遍4000万医学文献。AI智能推荐,让科研检索更轻松。

立即免费搜索

文件翻译

保留排版,准确专业,支持PDF/Word/PPT等文件格式,支持 12+语言互译。

免费翻译文档

深度研究

AI帮你快速写综述,25分钟生成高质量综述,智能提取关键信息,辅助科研写作。

立即免费体验