Suppr超能文献

Postpneumonectomy-like syndrome presenting in a patient with treated pulmonary tuberculosis: a case report.

作者信息

Kam Jennifer C, Dieguez Javier, Doraiswamy Vikram, Alberaqdar Enis, Ramchandran Aparna, Adelman Marc, Klukowicz Alan J, Miller Richard A

机构信息

Seton Hall University School of Graduate Medical Education; St, Michael's Medical Center, 111 Central Ave,, Newark, NJ 07102, USA.

出版信息

J Med Case Rep. 2013 Feb 12;7:40. doi: 10.1186/1752-1947-7-40.

Abstract

INTRODUCTION

Postpneumonectomy syndrome is a rare condition that is characterized by dyspnea resulting from an extreme mediastinal shift and bronchial compression of the residual lung following surgical pneumonectomy. It is even rarer for this syndrome to present in patients without a history of prior lung surgery but induced by autopneumonectomy due to parenchymal disease, an entity termed 'postpneumonectomy-like syndrome'.

CASE PRESENTATION

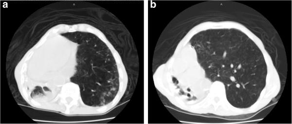
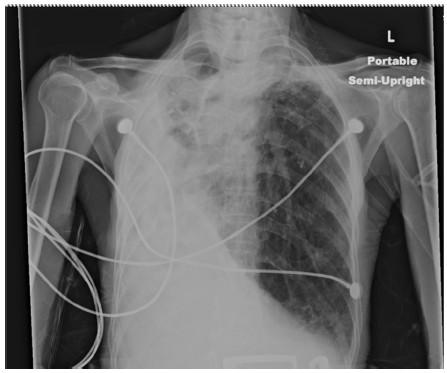
We present a rare case of a 91-year-old Puerto Rican man presenting with progressively worsening dyspnea with a history of pulmonary tuberculosis diagnosed 40 years earlier who developed severe unilateral lung fibrosis. Plain X-ray and computed tomography scans confirmed the presence of postpneumonectomy-like syndrome secondary to his parenchymal lung destruction. The patient developed cor pulmonale due to his extensive lung disease and as a consequence was not a suitable candidate for surgical intervention. The patient was otherwise stable until he developed acute respiratory distress from an acute upper gastrointestinal bleed and died four days into his hospital course.

CONCLUSION

We present a rare case of postpneumonectomy-like syndrome as sequelae of severe pulmonary parenchymal tuberculosis infection along with a review of literature, in the hopes of aiding clinicians to include the differential of postpneumonectomy-like syndrome in patients presenting with worsening dyspnea without a history of surgical lung resection.

摘要
https://cdn.ncbi.nlm.nih.gov/pmc/blobs/2391/3608317/2eac406e44a3/1752-1947-7-40-1.jpg

文献AI研究员

20分钟写一篇综述,助力文献阅读效率提升50倍。

立即体验

用中文搜PubMed

大模型驱动的PubMed中文搜索引擎

马上搜索

文档翻译

学术文献翻译模型,支持多种主流文档格式。

立即体验