Suppr超能文献

情绪图片和文字加工:一项关于刺激复杂性影响的 fMRI 研究。

Emotional picture and word processing: an FMRI study on effects of stimulus complexity.

机构信息

Cluster of Excellence Languages of Emotion, Freie Universität Berlin, Berlin, Germany.

出版信息

PLoS One. 2013;8(2):e55619. doi: 10.1371/journal.pone.0055619. Epub 2013 Feb 11.

Abstract

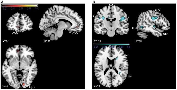
Neuroscientific investigations regarding aspects of emotional experiences usually focus on one stimulus modality (e.g., pictorial or verbal). Similarities and differences in the processing between the different modalities have rarely been studied directly. The comparison of verbal and pictorial emotional stimuli often reveals a processing advantage of emotional pictures in terms of larger or more pronounced emotion effects evoked by pictorial stimuli. In this study, we examined whether this picture advantage refers to general processing differences or whether it might partly be attributed to differences in visual complexity between pictures and words. We first developed a new stimulus database comprising valence and arousal ratings for more than 200 concrete objects representable in different modalities including different levels of complexity: words, phrases, pictograms, and photographs. Using fMRI we then studied the neural correlates of the processing of these emotional stimuli in a valence judgment task, in which the stimulus material was controlled for differences in emotional arousal. No superiority for the pictorial stimuli was found in terms of emotional information processing with differences between modalities being revealed mainly in perceptual processing regions. While visual complexity might partly account for previously found differences in emotional stimulus processing, the main existing processing differences are probably due to enhanced processing in modality specific perceptual regions. We would suggest that both pictures and words elicit emotional responses with no general superiority for either stimulus modality, while emotional responses to pictures are modulated by perceptual stimulus features, such as picture complexity.

摘要

神经科学对情绪体验方面的研究通常集中在单一的刺激模式上(例如,图像或言语)。不同模式之间的处理异同很少被直接研究。言语和图像情绪刺激的比较通常揭示出图像刺激在引起更大或更明显的情绪效应方面具有处理优势。在这项研究中,我们研究了这种图片优势是否归因于一般处理差异,或者是否部分归因于图像和文字之间的视觉复杂性差异。我们首先开发了一个新的刺激数据库,其中包含 200 多种可在不同模式(包括不同复杂程度的文字、短语、象形图和照片)中呈现的具体物体的效价和唤醒评分。然后,我们使用 fMRI 研究了这些情绪刺激在效价判断任务中的处理的神经相关性,其中刺激材料在情绪唤醒方面的差异得到了控制。在情绪信息处理方面,图像刺激没有表现出优势,模式之间的差异主要表现在感知处理区域。虽然视觉复杂性可能部分解释了先前在情绪刺激处理方面发现的差异,但主要的现有处理差异可能归因于特定于模式的感知区域的增强处理。我们认为,图片和文字都能引起情绪反应,两种刺激模式都没有普遍优势,而图片的情绪反应则受到感知刺激特征(如图片复杂性)的调节。

https://cdn.ncbi.nlm.nih.gov/pmc/blobs/a239/3569458/66007ebed4db/pone.0055619.g001.jpg

文献AI研究员

20分钟写一篇综述,助力文献阅读效率提升50倍。

立即体验

用中文搜PubMed

大模型驱动的PubMed中文搜索引擎

马上搜索

文档翻译

学术文献翻译模型,支持多种主流文档格式。

立即体验