Suppr超能文献

顺势疗法胸腺素 5CH 对 BCG 诱导的肉芽肿模型的免疫调节作用。

Immunomodulation of Homeopathic Thymulin 5CH in a BCG-Induced Granuloma Model.

机构信息

Research Center of Universidade Paulista, Rua Dr. Bacelar 1212, 5th Floor, 04026-002 São Paulo, SP, Brazil ; Laboratory of Veterinary Pathology, Universidade de Santo Amaro, São Paulo, SP, Brazil ; Instituto de Ensino, Pesquisa e Desenvolvimento Royal, São Roque, SP, Brazil.

出版信息

Evid Based Complement Alternat Med. 2013;2013:686018. doi: 10.1155/2013/686018. Epub 2013 Jan 28.

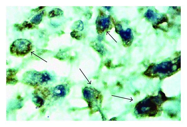
Abstract

The present study analyzed the immune modulation mechanisms of thymulin 5CH in a granuloma experimental model. Male adult Balb/c mice were inoculated with BCG into the footpad to induce granuloma, which was quantitatively evaluated. The phenotypic characterization of phagocyte, T- and B-lymphocyte populations in the peritoneum, and local lymph node was done by flow cytometry. During all experimental periods, thymulin 5CH and vehicle (control) were given ad libitum to mice, diluted into the drinking water (1.6 × 10(-17) M). After 7 days from inoculation, thymulin-treated mice presented reduction in the number of epithelioid cytokeratine-positive cells (P = 0.0001) in the lesion, in relation to young phagocytes. After 21 days, the differentiation of B1 peritoneal stem cells into phagocytes reached the peak, being higher in thymulin-treated mice (P = 0.0001). Simultaneously, the score of infected phagocytes in the lesion decreased (P = 0.001), and the number of B1-derived phagocytes, CD4+ and CD8+ T lymphocytes in the local lymph node increased in relation to control (P = 0.0001). No difference was seen on the CD25+ Treg cells. The results show that thymulin 5CH treatment is able to improve the granuloma inflammatory process and the infection remission, by modulating local and systemic phagocyte differentiation.

摘要

本研究分析了胸腺素 5CH 在肉芽肿实验模型中的免疫调节机制。雄性成年 Balb/c 小鼠足底接种卡介苗(BCG)诱导肉芽肿,对肉芽肿进行定量评估。通过流式细胞术对腹腔和局部淋巴结中的吞噬细胞、T 和 B 淋巴细胞群体的表型特征进行分析。在整个实验过程中,胸腺素 5CH 和载体(对照)被自由给予小鼠,稀释到饮用水中(1.6×10(-17)M)。接种后 7 天,与年轻吞噬细胞相比,胸腺素治疗组小鼠病变中上皮细胞角蛋白阳性细胞数量减少(P=0.0001)。21 天后,B1 腹腔干细胞分化为吞噬细胞达到峰值,且在胸腺素治疗组更高(P=0.0001)。同时,病变中感染吞噬细胞的评分降低(P=0.001),与对照组相比,局部淋巴结中 B1 衍生的吞噬细胞、CD4+和 CD8+T 淋巴细胞的数量增加(P=0.0001)。Treg 细胞(CD25+)无差异。结果表明,胸腺素 5CH 治疗能够改善肉芽肿炎症过程和感染缓解,通过调节局部和全身吞噬细胞分化。

https://cdn.ncbi.nlm.nih.gov/pmc/blobs/232d/3569925/30a3f778b0ce/ECAM2013-686018.001.jpg

相似文献

1
Immunomodulation of Homeopathic Thymulin 5CH in a BCG-Induced Granuloma Model.
Evid Based Complement Alternat Med. 2013;2013:686018. doi: 10.1155/2013/686018. Epub 2013 Jan 28.
2
Modulation of inflammation response to murine cutaneous Leishmaniosis by homeopathic medicines: thymulin 5cH.
Homeopathy. 2014 Oct;103(4):275-84. doi: 10.1016/j.homp.2014.08.002. Epub 2014 Oct 3.
3
Development of broiler chickens after treatment with thymulin 5cH: a zoo technical approach.
Homeopathy. 2012 Jan;101(1):68-73. doi: 10.1016/j.homp.2011.09.004.
4
Modulation of inflammation response to murine cutaneous Leishmaniasis by homeopathic medicines: Antimonium crudum 30cH.
Homeopathy. 2014 Oct;103(4):264-74. doi: 10.1016/j.homp.2014.08.006. Epub 2014 Oct 3.
9
Regional oral tolerance in transgenic 2C mice.
Surgery. 2005 Aug;138(2):141-9. doi: 10.1016/j.surg.2005.05.010.
10
The effect of thymulin on avian IL-2 receptor expression.
Int J Immunopharmacol. 2000 Nov;22(11):887-96. doi: 10.1016/s0192-0561(00)00051-5.

引用本文的文献

1
The PGE2/IL-10 Axis Determines Susceptibility of B-1 Cell-Derived Phagocytes (B-1CDP) to Leishmania major Infection.
PLoS One. 2015 May 1;10(5):e0124888. doi: 10.1371/journal.pone.0124888. eCollection 2015.

本文引用的文献

1
Activity and chronopharmacology of very low doses of physiological immune inducers.
Immunol Today. 1985 Aug;6(8):234-5. doi: 10.1016/0167-5699(85)90007-6.
3
Rats Born to Mothers Treated with Dexamethasone 15 cH Present Changes in Modulation of Inflammatory Process.
Evid Based Complement Alternat Med. 2012;2012:710923. doi: 10.1155/2012/710923. Epub 2012 Jul 29.
4
Could a B-1 cell derived phagocyte "be one" of the peritoneal macrophages during LPS-driven inflammation?
PLoS One. 2012;7(3):e34570. doi: 10.1371/journal.pone.0034570. Epub 2012 Mar 30.
5
B cell: T cell interactions occur within hepatic granulomas during experimental visceral leishmaniasis.
PLoS One. 2012;7(3):e34143. doi: 10.1371/journal.pone.0034143. Epub 2012 Mar 30.
7
Development of broiler chickens after treatment with thymulin 5cH: a zoo technical approach.
Homeopathy. 2012 Jan;101(1):68-73. doi: 10.1016/j.homp.2011.09.004.
8
LPS-induced migration of peritoneal B-1 cells is associated with upregulation of CXCR4 and increased migratory sensitivity to CXCL12.
J Korean Med Sci. 2012 Jan;27(1):27-35. doi: 10.3346/jkms.2012.27.1.27. Epub 2011 Dec 19.
10
Inflammatory Process Modulation by Homeopathic Arnica montana 6CH: The Role of Individual Variation.
Evid Based Complement Alternat Med. 2011;2011:917541. doi: 10.1155/2011/917541. Epub 2011 Jan 19.

文献AI研究员

20分钟写一篇综述,助力文献阅读效率提升50倍。

立即体验

用中文搜PubMed

大模型驱动的PubMed中文搜索引擎

马上搜索

文档翻译

学术文献翻译模型,支持多种主流文档格式。

立即体验