Suppr超能文献

与摇蚊卵块相关的细菌群落组成。

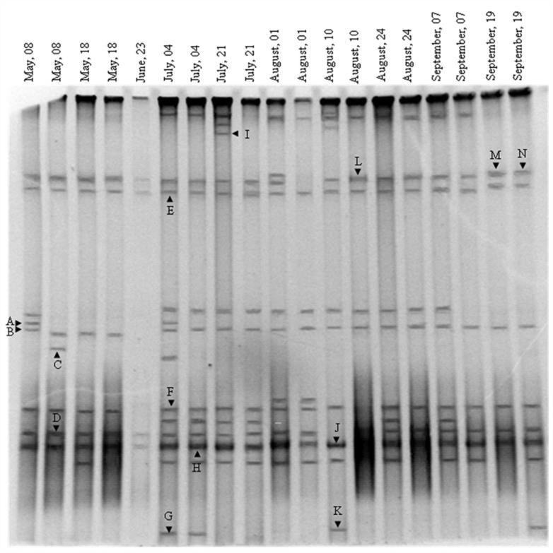
Bacterial community composition associated with chironomid egg masses.

机构信息

Department of Evolutionary and Environmental Biology, Faculty of Natural Sciences, University of Haifa, Mount Carmel, Haifa 31905, Israel.

出版信息

J Insect Sci. 2012;12:149. doi: 10.1673/031.012.14901.

Abstract

Chironomids (Diptera: Chironomidae) are the most widely distributed and often the most abundant insect in freshwater. They undergo a complete metamorphosis of four life stages, of which the egg, larva, and pupae are aquatic and the adult is terrestrial. Chironomid egg masses were found to be natural reservoirs of Vibrio cholerae and Aeromonas species. To expand the knowledge of the endogenous bacterial community associated with chironomid egg masses, denaturing gradient gel electrophoresis and clone analysis of 16S rRNA gene libraries were used in this study. Bacterial community composition associated with chironomid egg masses was found to be stable among different sampling periods. Cloned libraries of egg masses revealed that about 40% of the clones were related to bacteria known to degrade various toxicants. These findings were further supported when bacterial species that showed resistance to different toxic metals were isolated from egg masses and larval samples. Chironomids are found under a wide range of water conditions and are able to survive pollutants. However, little is known about their protective mechanisms under these conditions. Chironomid egg masses are inhabited by a stable endogenous bacterial community, which may potentially play a role in protecting chironomids from toxicants in polluted environments. Further study is needed to support this hypothesis.

摘要

摇蚊(双翅目:摇蚊科)是分布最广、数量最多的淡水昆虫。它们经历了四个完全变态的生命阶段,其中卵、幼虫和蛹都是水生的,成虫是陆生的。摇蚊卵块被发现是霍乱弧菌和气单胞菌属的天然储库。为了扩大与摇蚊卵块相关的内源性细菌群落的知识,本研究使用变性梯度凝胶电泳和 16S rRNA 基因文库的克隆分析。发现不同采样期之间,与摇蚊卵块相关的细菌群落组成是稳定的。卵块的克隆文库表明,约 40%的克隆与已知能降解各种有毒物质的细菌有关。当从卵块和幼虫样本中分离出对不同有毒金属表现出抗性的细菌时,这些发现得到了进一步支持。摇蚊在广泛的水质条件下生存,并能耐受污染物。然而,人们对它们在这些条件下的保护机制知之甚少。摇蚊卵块中栖息着一个稳定的内源性细菌群落,它可能在保护摇蚊免受污染环境中的有毒物质的侵害方面发挥作用。需要进一步的研究来支持这一假设。

https://cdn.ncbi.nlm.nih.gov/pmc/blobs/8f8f/3646614/faed8136b008/f01_01.jpg

文献AI研究员

20分钟写一篇综述,助力文献阅读效率提升50倍。

立即体验

用中文搜PubMed

大模型驱动的PubMed中文搜索引擎

马上搜索

文档翻译

学术文献翻译模型,支持多种主流文档格式。

立即体验