Suppr超能文献

一例儿童骨髓增生异常综合征向急性淋巴细胞白血病转化的罕见病例。

A rare case of transformation of childhood myelodysplastic syndrome to acute lymphoblastic leukemia.

机构信息

Department of Laboratory Medicine, Pusan National University School of Medicine and Pusan National University Hospital, Busan, Korea.

出版信息

Ann Lab Med. 2013 Mar;33(2):130-5. doi: 10.3343/alm.2013.33.2.130. Epub 2013 Feb 21.

Abstract

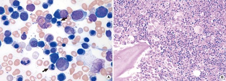
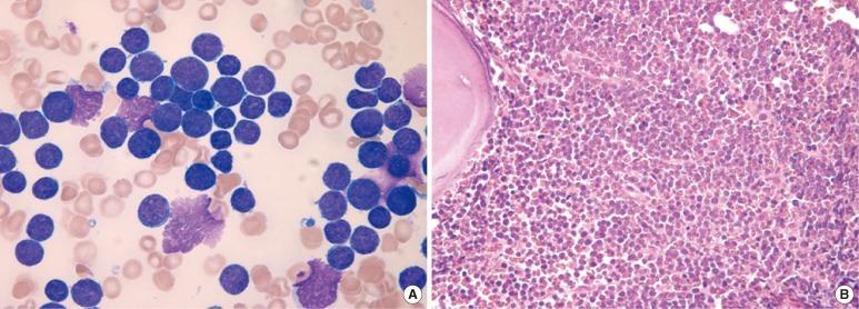
Transformation of MDS into ALL during childhood is extremely rare. We report a rare case of an 8-yr-old girl who presented with refractory cytopenia of childhood (RCC) that transformed into ALL only 3 months after the diagnosis of childhood MDS. Although no cytogenetic abnormalities were observed in conventional karyotype and FISH analysis, we found several deletions on chromosomes 5q, 12q, 13q, and 22q. Partial homozygous deletion of the RB1 gene was observed on microarray analysis, with the bone marrow specimen diagnosed as ALL. This is the first case report of transformation of ALL from childhood MDS in Korea. We also compared the clinical, cytological, and cytogenetic features of 4 previously reported childhood MDS cases that transformed into ALL.

摘要

儿童时期 MDS 向 ALL 的转化极为罕见。我们报告了一例罕见的 8 岁女孩病例,该患者最初表现为儿童难治性血细胞减少症(RCC),在诊断为儿童 MDS 仅 3 个月后转化为 ALL。尽管常规核型和 FISH 分析未观察到细胞遗传学异常,但我们发现染色体 5q、12q、13q 和 22q 上存在多个缺失。微阵列分析显示 RB1 基因部分纯合缺失,骨髓标本诊断为 ALL。这是韩国首例从儿童 MDS 转化为 ALL 的病例报告。我们还比较了 4 例先前报道的儿童 MDS 转化为 ALL 的病例的临床、细胞学和细胞遗传学特征。

https://cdn.ncbi.nlm.nih.gov/pmc/blobs/4598/3589639/b4b360294671/alm-33-130-g001.jpg

文献AI研究员

20分钟写一篇综述,助力文献阅读效率提升50倍。

立即体验

用中文搜PubMed

大模型驱动的PubMed中文搜索引擎

马上搜索

文档翻译

学术文献翻译模型,支持多种主流文档格式。

立即体验