• 文献检索
  • 文档翻译
  • 深度研究
  • 学术资讯
  • Suppr Zotero 插件Zotero 插件
  • 邀请有礼
  • 套餐&价格
  • 历史记录
应用&插件
Suppr Zotero 插件Zotero 插件浏览器插件Mac 客户端Windows 客户端微信小程序
定价
高级版会员购买积分包购买API积分包
服务
文献检索文档翻译深度研究API 文档MCP 服务
关于我们
关于 Suppr公司介绍联系我们用户协议隐私条款
关注我们

Suppr 超能文献

核心技术专利:CN118964589B侵权必究
粤ICP备2023148730 号-1Suppr @ 2026

文献检索

告别复杂PubMed语法,用中文像聊天一样搜索,搜遍4000万医学文献。AI智能推荐,让科研检索更轻松。

立即免费搜索

文件翻译

保留排版,准确专业,支持PDF/Word/PPT等文件格式,支持 12+语言互译。

免费翻译文档

深度研究

AI帮你快速写综述,25分钟生成高质量综述,智能提取关键信息,辅助科研写作。

立即免费体验

支气管败血波氏杆菌及其脂多糖与呼吸道鼻上皮细胞体外培养的相互作用

Interaction of Bordetella bronchiseptica and Its Lipopolysaccharide with In Vitro Culture of Respiratory Nasal Epithelium.

作者信息

Gallego Carolina, Middleton Andrew M, Martínez Nhora, Romero Stefany, Iregui Carlos

机构信息

Department of Veterinary Pathology, University of Applied and Environmental Sciences, Bogotá, Colombia.

出版信息

Vet Med Int. 2013;2013:347086. doi: 10.1155/2013/347086. Epub 2013 Mar 11.

DOI:10.1155/2013/347086
PMID:23555071
原文链接:https://pmc.ncbi.nlm.nih.gov/articles/PMC3608130/
Abstract

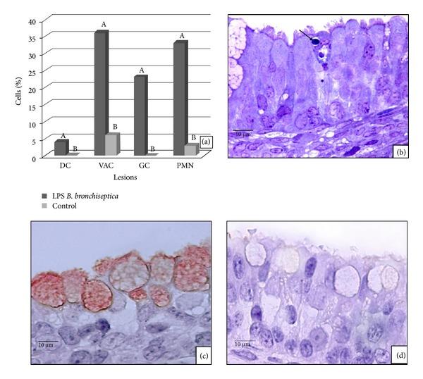
The nasal septa of fetal rabbits at 26 days of gestation were harvested by cesarean section of the does while under anesthesia and then exposed to Bordetella bronchiseptica or its lipopolysaccharide (LPS) for periods of 2 and 4 hours. A total of 240 explants were used. The tissues were examined using the Hematoxylin & Eosin technique. Then, semithin sections (0.5 μm) were stained with toluidine blue and examined with indirect immunoperoxidase (IPI) and lectin histochemistry. The most frequent and statistically significant findings were as follows: (1) cell death and increased goblet cell activity when exposed to bacteria and (2) cell death, cytoplasmic vacuolation and infiltration of polymorphonuclear leukocytes when exposed to LPS. The lesions induced by the bacterium were more severe than with LPS alone, except for the cytoplasmic vacuolation in epithelial cells. IPI stained the ciliated border of the epithelium with the bacterium more intensely, while LPS lectin histochemistry preferentially labeled the cytoplasm of goblet cell. These data indicate that B. bronchiseptica and its LPS may have an affinity for specific glycoproteins that would act as adhesion receptors in both locations.

摘要

在妊娠26天的胎兔麻醉状态下通过剖宫产获取鼻中隔,然后将其暴露于支气管败血波氏杆菌或其脂多糖(LPS)中2小时和4小时。总共使用了240个外植体。使用苏木精和伊红技术检查组织。然后,将半薄切片(0.5μm)用甲苯胺蓝染色,并用间接免疫过氧化物酶(IPI)和凝集素组织化学检查。最常见且具有统计学意义的结果如下:(1)暴露于细菌时细胞死亡和杯状细胞活性增加;(2)暴露于LPS时细胞死亡、细胞质空泡化和多形核白细胞浸润。除上皮细胞中的细胞质空泡化外,细菌诱导的病变比单独使用LPS更严重。IPI对感染细菌的上皮纤毛边界染色更强烈,而LPS凝集素组织化学优先标记杯状细胞的细胞质。这些数据表明支气管败血波氏杆菌及其LPS可能对特定糖蛋白具有亲和力,这些糖蛋白在两个部位均可作为粘附受体。

https://cdn.ncbi.nlm.nih.gov/pmc/blobs/0537/3608130/ca00c8485af7/VMI2013-347086.003.jpg
https://cdn.ncbi.nlm.nih.gov/pmc/blobs/0537/3608130/db5fa4d55980/VMI2013-347086.001.jpg
https://cdn.ncbi.nlm.nih.gov/pmc/blobs/0537/3608130/7ec84e1f1cc0/VMI2013-347086.002.jpg
https://cdn.ncbi.nlm.nih.gov/pmc/blobs/0537/3608130/ca00c8485af7/VMI2013-347086.003.jpg
https://cdn.ncbi.nlm.nih.gov/pmc/blobs/0537/3608130/db5fa4d55980/VMI2013-347086.001.jpg
https://cdn.ncbi.nlm.nih.gov/pmc/blobs/0537/3608130/7ec84e1f1cc0/VMI2013-347086.002.jpg
https://cdn.ncbi.nlm.nih.gov/pmc/blobs/0537/3608130/ca00c8485af7/VMI2013-347086.003.jpg

相似文献

1
Interaction of Bordetella bronchiseptica and Its Lipopolysaccharide with In Vitro Culture of Respiratory Nasal Epithelium.支气管败血波氏杆菌及其脂多糖与呼吸道鼻上皮细胞体外培养的相互作用
Vet Med Int. 2013;2013:347086. doi: 10.1155/2013/347086. Epub 2013 Mar 11.
2
Assessment of A Lipopolysaccharide, as an Adhesin in an In Vitro Model of Rabbit Respiratory Epithelium.脂多糖作为兔呼吸道上皮细胞体外模型中一种粘附素的评估
Vet Med Int. 2017;2017:8967618. doi: 10.1155/2017/8967618. Epub 2017 Jan 29.
3
Adherence of Bordetella bronchiseptica and Pasteurella multocida to swine nasal ciliated epithelial cells in vitro.支气管败血波氏杆菌和多杀性巴氏杆菌在体外对猪鼻纤毛上皮细胞的黏附作用
APMIS. 1990 May;98(5):453-61.
4
Adherence of Pasteurella multocida or Bordetella bronchiseptica to the swine nasal epithelial cell in vitro.多杀性巴氏杆菌或支气管败血波氏杆菌在体外对猪鼻上皮细胞的黏附
Infect Immun. 1988 Jan;56(1):234-40. doi: 10.1128/iai.56.1.234-240.1988.
5
In vitro and in vivo characterization of a Bordetella bronchiseptica mutant strain with a deep rough lipopolysaccharide structure.具有深粗糙脂多糖结构的支气管败血波氏杆菌突变株的体外和体内特性研究
Infect Immun. 2002 Apr;70(4):1791-8. doi: 10.1128/IAI.70.4.1791-1798.2002.
6
Interaction between Bordetella bronchiseptica and toxigenic Pasteurella multocida on the nasal mucosa of SPF piglets.支气管败血波氏杆菌与产毒素多杀巴斯德菌在SPF仔猪鼻黏膜上的相互作用。
J Vet Med Sci. 1992 Dec;54(6):1105-10. doi: 10.1292/jvms.54.1105.
7
Inhibition of Pasteurella multocida Adhesion to Rabbit Respiratory Epithelium Using Lectins.使用凝集素抑制多杀性巴氏杆菌对兔呼吸道上皮的黏附
Vet Med Int. 2015;2015:365428. doi: 10.1155/2015/365428. Epub 2015 Feb 24.
8
Interactions of pulmonary collectins with Bordetella bronchiseptica and Bordetella pertussis lipopolysaccharide elucidate the structural basis of their antimicrobial activities.肺部凝集素与支气管败血博德特氏菌和百日咳博德特氏菌脂多糖的相互作用阐明了它们抗菌活性的结构基础。
Infect Immun. 2004 Dec;72(12):7124-30. doi: 10.1128/IAI.72.12.7124-7130.2004.
9
Nasal epithelial changes induced in piglets by acetic acid and by Bordetella bronchiseptica.醋酸和支气管败血波氏杆菌诱导仔猪鼻上皮的变化。
J Comp Pathol. 1993 Jul;109(1):71-81. doi: 10.1016/s0021-9975(08)80241-1.
10
Ciliostasis is a key early event during colonization of canine tracheal tissue by Bordetella bronchiseptica.纤毛运动停滞是支气管败血波氏杆菌在犬气管组织定植过程中的一个关键早期事件。
Microbiology (Reading). 2004 Sep;150(Pt 9):2843-2855. doi: 10.1099/mic.0.27283-0.

引用本文的文献

1
Effect of carbohydrates on the adhesion of Bordetella bronchiseptica to the respiratory epithelium in rabbits.碳水化合物对支气管败血波氏杆菌黏附兔呼吸道上皮的影响。
Vet Res Commun. 2024 Jun;48(3):1481-1495. doi: 10.1007/s11259-024-10307-1. Epub 2024 Feb 10.
2
Bordetella bronchiseptica-Mediated Interference Prevents Influenza A Virus Replication in the Murine Nasal Cavity.支气管败血波氏杆菌介导的干扰可防止甲型流感病毒在小鼠鼻腔中复制。
Microbiol Spectr. 2023 Feb 2;11(2):e0473522. doi: 10.1128/spectrum.04735-22.
3
Effects of Intranasal and Oral Vaccination on the Behavioral and Olfactory Capabilities of Detection Dogs.

本文引用的文献

1
Rabbit respiratory system: clinical anatomy, physiology and disease.兔呼吸系统:临床解剖学、生理学与疾病
Vet Clin North Am Exot Anim Pract. 2011 May;14(2):257-66, vi. doi: 10.1016/j.cvex.2011.03.002.
2
Effects of a HP0859 (rfaD) knockout mutation on lipopolysaccharide structure of Helicobacter pylori 26695 and the bacterial adhesion on AGS cells.HP0859(rfaD) 敲除突变对幽门螺杆菌 26695 脂多糖结构和细菌黏附 AGS 细胞的影响。
Biochem Biophys Res Commun. 2011 Feb 18;405(3):497-502. doi: 10.1016/j.bbrc.2011.01.060. Epub 2011 Jan 21.
3
Different sugar residues of the lipopolysaccharide outer core are required for early interactions of Salmonella enterica serovars Typhi and Typhimurium with epithelial cells.
鼻内接种和口服疫苗对检疫犬行为和嗅觉能力的影响。
Front Vet Sci. 2022 May 18;9:882424. doi: 10.3389/fvets.2022.882424. eCollection 2022.
4
Assessment of A Lipopolysaccharide, as an Adhesin in an In Vitro Model of Rabbit Respiratory Epithelium.脂多糖作为兔呼吸道上皮细胞体外模型中一种粘附素的评估
Vet Med Int. 2017;2017:8967618. doi: 10.1155/2017/8967618. Epub 2017 Jan 29.
5
Inhibition of Pasteurella multocida Adhesion to Rabbit Respiratory Epithelium Using Lectins.使用凝集素抑制多杀性巴氏杆菌对兔呼吸道上皮的黏附
Vet Med Int. 2015;2015:365428. doi: 10.1155/2015/365428. Epub 2015 Feb 24.
脂多糖外核心的不同糖残基是沙门氏菌肠亚种 Typhi 和 Typhimurium 与上皮细胞早期相互作用所必需的。
Microb Pathog. 2011 Feb;50(2):70-80. doi: 10.1016/j.micpath.2010.11.001. Epub 2010 Nov 12.
4
Bacterial and parasitic diseases of rabbits.家兔的细菌和寄生虫疾病。
Vet Clin North Am Exot Anim Pract. 2009 Sep;12(3):519-30, Table of Contents. doi: 10.1016/j.cvex.2009.06.004.
5
Coinfection of pigs with porcine respiratory coronavirus and Bordetella bronchiseptica.猪同时感染猪呼吸道冠状病毒和支气管败血波氏杆菌。
Vet Microbiol. 2008 Apr 1;128(1-2):36-47. doi: 10.1016/j.vetmic.2007.09.025. Epub 2007 Oct 12.
6
Combining sites of bacterial fimbriae.细菌菌毛结合位点。
Curr Opin Struct Biol. 2007 Oct;17(5):506-12. doi: 10.1016/j.sbi.2007.06.011. Epub 2007 Aug 23.
7
Detection of respiratory pathogens in porcine lung tissue and lavage fluid.猪肺组织和灌洗液中呼吸道病原体的检测
Vet J. 2008 Feb;175(2):273-5. doi: 10.1016/j.tvjl.2007.01.008. Epub 2007 Mar 6.
8
Epidemiology and susceptibility of pathogenic bacteria responsible for upper respiratory tract infections in pet rabbits.宠物兔上呼吸道感染病原菌的流行病学及易感性
Vet Microbiol. 2006 Jun 15;115(1-3):192-8. doi: 10.1016/j.vetmic.2006.02.003. Epub 2006 Mar 10.
9
R-form LPS, the master key to the activation ofTLR4/MD-2-positive cells.R型脂多糖,激活TLR4/MD-2阳性细胞的关键因素。
Eur J Immunol. 2006 Mar;36(3):701-11. doi: 10.1002/eji.200535593.
10
BopC is a novel type III effector secreted by Bordetella bronchiseptica and has a critical role in type III-dependent necrotic cell death.BopC是支气管败血波氏杆菌分泌的一种新型III型效应蛋白,在III型依赖性坏死性细胞死亡中起关键作用。
J Biol Chem. 2006 Mar 10;281(10):6589-600. doi: 10.1074/jbc.M512711200. Epub 2006 Jan 4.