• 文献检索
  • 文档翻译
  • 深度研究
  • 学术资讯
  • Suppr Zotero 插件Zotero 插件
  • 邀请有礼
  • 套餐&价格
  • 历史记录
应用&插件
Suppr Zotero 插件Zotero 插件浏览器插件Mac 客户端Windows 客户端微信小程序
定价
高级版会员购买积分包购买API积分包
服务
文献检索文档翻译深度研究API 文档MCP 服务
关于我们
关于 Suppr公司介绍联系我们用户协议隐私条款
关注我们

Suppr 超能文献

核心技术专利:CN118964589B侵权必究
粤ICP备2023148730 号-1Suppr @ 2026

文献检索

告别复杂PubMed语法,用中文像聊天一样搜索,搜遍4000万医学文献。AI智能推荐,让科研检索更轻松。

立即免费搜索

文件翻译

保留排版,准确专业,支持PDF/Word/PPT等文件格式,支持 12+语言互译。

免费翻译文档

深度研究

AI帮你快速写综述,25分钟生成高质量综述,智能提取关键信息,辅助科研写作。

立即免费体验

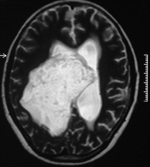
一名脑积水儿童的侧脑室内表皮样囊肿。

Lateral intraventricular epidermoid in a child with hydrocephalus.

作者信息

Aher Rajendra B, Singh Daljit, Singh Hukum, Saran R K

机构信息

Department of Neurosurgery, G. B. Pant Hospital, New Delhi, India.

出版信息

J Pediatr Neurosci. 2012 Sep;7(3):205-7. doi: 10.4103/1817-1745.106481.

DOI:10.4103/1817-1745.106481
PMID:23560010
原文链接:https://pmc.ncbi.nlm.nih.gov/articles/PMC3611912/
Abstract

Lateral intraventricular tumors are uncommon. They grow linearly rather than exponentially and hence are slow-growing lesions without causing mass effects and hydrocephalus. We report a rare case of large bulky right intraventricular epidermoid tumor in a child. This tumor was associated with mass effect on the surrounding structures and hydrocephalus.

摘要

侧脑室内肿瘤并不常见。它们呈线性生长而非指数性生长,因此是生长缓慢的病变,不会引起占位效应和脑积水。我们报告一例儿童罕见的巨大右侧脑室内表皮样肿瘤病例。该肿瘤对周围结构产生了占位效应并导致了脑积水。

https://cdn.ncbi.nlm.nih.gov/pmc/blobs/53b3/3611912/e423ead0db78/JPN-7-205-g004.jpg
https://cdn.ncbi.nlm.nih.gov/pmc/blobs/53b3/3611912/d3eac1d5f43a/JPN-7-205-g001.jpg
https://cdn.ncbi.nlm.nih.gov/pmc/blobs/53b3/3611912/19c62bf91afb/JPN-7-205-g002.jpg
https://cdn.ncbi.nlm.nih.gov/pmc/blobs/53b3/3611912/839d7cc59178/JPN-7-205-g003.jpg
https://cdn.ncbi.nlm.nih.gov/pmc/blobs/53b3/3611912/e423ead0db78/JPN-7-205-g004.jpg
https://cdn.ncbi.nlm.nih.gov/pmc/blobs/53b3/3611912/d3eac1d5f43a/JPN-7-205-g001.jpg
https://cdn.ncbi.nlm.nih.gov/pmc/blobs/53b3/3611912/19c62bf91afb/JPN-7-205-g002.jpg
https://cdn.ncbi.nlm.nih.gov/pmc/blobs/53b3/3611912/839d7cc59178/JPN-7-205-g003.jpg
https://cdn.ncbi.nlm.nih.gov/pmc/blobs/53b3/3611912/e423ead0db78/JPN-7-205-g004.jpg

相似文献

1
Lateral intraventricular epidermoid in a child with hydrocephalus.一名脑积水儿童的侧脑室内表皮样囊肿。
J Pediatr Neurosci. 2012 Sep;7(3):205-7. doi: 10.4103/1817-1745.106481.
2
A Rare Cause of Headache in the Emergency Department: Intraventricular Epidermoid Cyst Rupture With Hydrocephalus.急诊科头痛的罕见病因:伴脑积水的脑室内表皮样囊肿破裂
J Clin Med Res. 2016 Jul;8(7):560-1. doi: 10.14740/jocmr2585w. Epub 2016 May 29.
3
Obstructive Hydrocephalus and Chemical Meningitis Secondary to a Ruptured Spinal Epidermoid Cyst.梗阻性脑积水和化学性脑膜炎继发于破裂的脊髓表皮样囊肿。
World Neurosurg. 2019 Dec;132:173-176. doi: 10.1016/j.wneu.2019.08.187. Epub 2019 Sep 3.
4
[Uncommon presentation of central neurocytoma causing intraventricular hemorrhage: case report].[中枢神经细胞瘤导致脑室内出血的罕见表现:病例报告]
Arq Neuropsiquiatr. 2001 Sep;59(3-A):628-32.
5
An Intraventricular Schwannoma with Associated Hydrocephalus and Ventricular Entrapment: A Case Report.一例伴脑积水和脑室受压的脑室内神经鞘瘤:病例报告
J Neurol Surg Rep. 2015 Jul;76(1):e32-6. doi: 10.1055/s-0034-1395493. Epub 2015 Jan 16.
6
Endoscopic surgery for intraventricular brain tumors in patients without hydrocephalus.无脑积水患者脑室内脑肿瘤的内镜手术
Neurosurgery. 2005 Oct;57(4 Suppl):312-8; discussion 312-8. doi: 10.1227/01.neu.0000176641.17216.fb.
7
Neuronavigation-guided endoscopy for intraventricular tumors in adult patients without hydrocephalus.无脑积水成年患者脑室内肿瘤的神经导航引导下内镜检查
Wideochir Inne Tech Maloinwazyjne. 2016;11(3):200-207. doi: 10.5114/wiitm.2016.61430. Epub 2016 Jul 22.
8
Purely neuroendoscopic resection of intraventricular tumors with an endoscopic ultrasonic aspirator.采用内镜超声吸引器经神经内镜切除脑室肿瘤。
Neurosurg Rev. 2019 Dec;42(4):973-982. doi: 10.1007/s10143-018-1011-8. Epub 2018 Jul 17.
9
CT characteristics of intraventricular oligodendrogliomas.脑室内少突胶质细胞瘤的CT特征
AJNR Am J Neuroradiol. 1987 Nov-Dec;8(6):1077-82.
10
Endoscopic surgery for intraventricular brain tumors in patients without hydrocephalus.无脑积水患者脑室内脑肿瘤的内镜手术
Neurosurgery. 2008 Jun;62(6 Suppl 3):1042-8. doi: 10.1227/01.neu.0000333769.51069.80.

引用本文的文献

1
Bilateral lateral ventricular epidermoid cyst: A case report.双侧侧脑室表皮样囊肿:一例报告
Int J Surg Case Rep. 2025 Sep 15;136:111944. doi: 10.1016/j.ijscr.2025.111944.
2
Navigating the challenges of lateral ventricle epidermoid cysts: Diagnostic insights and surgical strategies. patient series.应对侧脑室表皮样囊肿的挑战:诊断见解与手术策略。病例系列
Radiol Case Rep. 2025 Jun 26;20(9):4610-4615. doi: 10.1016/j.radcr.2025.05.087. eCollection 2025 Sep.
3
Huge intraventricular epidermoid cyst: A case report.巨大型脑室内表皮样囊肿:一例报告

本文引用的文献

1
Intraventricular epidermoids.脑室内表皮样囊肿。
J Clin Neurosci. 2006 May;13(4):428-30. doi: 10.1016/j.jocn.2005.04.022. Epub 2006 Mar 27.
2
Epidermoid tumour of the lateral ventricle.
Acta Neurochir (Wien). 2006 Mar;148(3):339-42; discussion 342. doi: 10.1007/s00701-005-0678-0. Epub 2005 Nov 28.
3
Epidermoid of the lateral ventricle: evaluation with diffusion-weighted and diffusion tensor imaging.侧脑室表皮样囊肿:弥散加权成像和弥散张量成像评估
Clin Neurol Neurosurg. 2003 Sep;105(4):270-3. doi: 10.1016/s0303-8467(03)00029-5.
Radiol Case Rep. 2025 Apr 16;20(7):3319-3322. doi: 10.1016/j.radcr.2025.03.046. eCollection 2025 Jul.
4
Intracranial epidermoid cysts: benign entities with malignant behavior: experience with 36 cases.颅内表皮样囊肿:良性肿瘤,具有恶性行为:36 例经验。
Sci Rep. 2023 Apr 20;13(1):6474. doi: 10.1038/s41598-023-33617-x.
5
A Rare Cause of Headache in the Emergency Department: Intraventricular Epidermoid Cyst Rupture With Hydrocephalus.急诊科头痛的罕见病因:伴脑积水的脑室内表皮样囊肿破裂
J Clin Med Res. 2016 Jul;8(7):560-1. doi: 10.14740/jocmr2585w. Epub 2016 May 29.
4
Surgical treatment of intracranial epidermoid tumors.颅内表皮样囊肿的外科治疗
Neurol Med Chir (Tokyo). 2003 Jun;43(6):275-80; discussion 281. doi: 10.2176/nmc.43.275.