• 文献检索
  • 文档翻译
  • 深度研究
  • 学术资讯
  • Suppr Zotero 插件Zotero 插件
  • 邀请有礼
  • 套餐&价格
  • 历史记录
应用&插件
Suppr Zotero 插件Zotero 插件浏览器插件Mac 客户端Windows 客户端微信小程序
定价
高级版会员购买积分包购买API积分包
服务
文献检索文档翻译深度研究API 文档MCP 服务
关于我们
关于 Suppr公司介绍联系我们用户协议隐私条款
关注我们

Suppr 超能文献

核心技术专利:CN118964589B侵权必究
粤ICP备2023148730 号-1Suppr @ 2026

文献检索

告别复杂PubMed语法,用中文像聊天一样搜索,搜遍4000万医学文献。AI智能推荐,让科研检索更轻松。

立即免费搜索

文件翻译

保留排版,准确专业,支持PDF/Word/PPT等文件格式,支持 12+语言互译。

免费翻译文档

深度研究

AI帮你快速写综述,25分钟生成高质量综述,智能提取关键信息,辅助科研写作。

立即免费体验

双侧侧脑室表皮样囊肿:一例报告

Bilateral lateral ventricular epidermoid cyst: A case report.

作者信息

Asefa Bizuayehu, Zenebe Eyob, Feleke Ermias, Furi Worku, Solomon Henock

机构信息

PO Box: 9086, Addis Ababa University, School of Medicine, Depart of Surgery, Neurosurgery Unit, Ethiopia.

PO Box: 9086, Addis Ababa University, School of Medicine, Depart of Surgery, Neurosurgery Unit, Ethiopia.

出版信息

Int J Surg Case Rep. 2025 Sep 15;136:111944. doi: 10.1016/j.ijscr.2025.111944.

DOI:10.1016/j.ijscr.2025.111944
PMID:40997631
原文链接:https://pmc.ncbi.nlm.nih.gov/articles/PMC12495248/
Abstract

INTRODUCTION

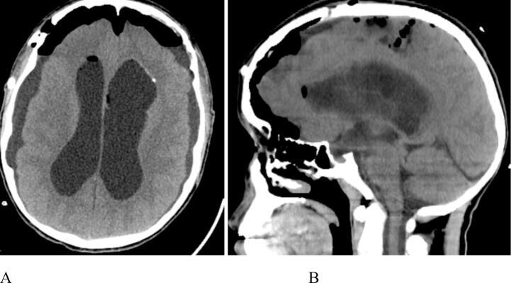
Epidermoid cysts are benign inclusion cysts that arise from ectopically displaced ectodermal tissue. Intraventricular epidermoid cysts are uncommon, and involvement of the bilateral lateral ventricles is rarely reported. Computed tomography (CT) scans typically show well-localized, hypodense lesions. These cysts are slightly hyperintense to cerebrospinal fluid (CSF) on both T1 and T2 magnetic resonance imaging (MRI) sequences.

CASE PRESENTATION

We report a 17-year-old male diagnosed with bilateral lateral ventricular epidermoid cysts after presenting with a four-year history of episodic generalized tonic-clonic seizures and recurrent throbbing global headache. He had surgery, and histopathology confirmed an epidermoid cyst. Postoperatively, the patient experienced symptom improvement.

DISCUSSION

Intracranial epidermoid cysts are benign, accounting for 0.2 %-1.8 % of intracranial tumors. Lateral ventricular epidermoids present with obstructive hydrocephalus and signs and symptoms of increased intracranial pressure. Pathological analysis reveals a pearly white tumor composed of simple squamous cells with abundant laminated and compacted keratin and positivity for epithelial membrane antigen. Both microscopic and endoscopic techniques can be used for the resection of lateral ventricular epidermoid cysts.

CONCLUSION

Lateral ventricular epidermoids are rare benign lesions. Clinical features include symptoms of increased intracranial pressure, such as headache, vomiting, and altered mentation. MRI is the diagnostic imaging modality of choice. Complete surgical resection is curative, with rare reports of recurrence after subtotal resection. Follow-up is crucial to monitor for recurrence and other associated complications.

摘要

引言

表皮样囊肿是由异位的外胚层组织形成的良性包涵囊肿。脑室内表皮样囊肿并不常见,双侧侧脑室受累的情况鲜有报道。计算机断层扫描(CT)通常显示病变定位良好、密度减低。在T1和T2磁共振成像(MRI)序列上,这些囊肿相对于脑脊液(CSF)呈轻度高信号。

病例报告

我们报告一名17岁男性,因有四年发作性全身强直阵挛性癫痫和反复发作的搏动性全头痛病史,被诊断为双侧侧脑室表皮样囊肿。他接受了手术,组织病理学证实为表皮样囊肿。术后,患者症状有所改善。

讨论

颅内表皮样囊肿是良性的,占颅内肿瘤的0.2%-1.8%。侧脑室表皮样囊肿表现为梗阻性脑积水和颅内压升高的体征和症状。病理分析显示为珍珠白色肿瘤,由具有丰富层状和致密角蛋白的单层鳞状细胞组成,上皮膜抗原呈阳性。显微镜和内镜技术均可用于侧脑室表皮样囊肿的切除。

结论

侧脑室表皮样囊肿是罕见的良性病变。临床特征包括颅内压升高的症状,如头痛、呕吐和意识改变。MRI是首选的诊断成像方式。完整的手术切除可治愈,次全切除后复发的报道罕见。随访对于监测复发和其他相关并发症至关重要。

https://cdn.ncbi.nlm.nih.gov/pmc/blobs/24fa/12495248/ff4a29ed9cfd/gr5.jpg
https://cdn.ncbi.nlm.nih.gov/pmc/blobs/24fa/12495248/efdc1c1e1153/gr1.jpg
https://cdn.ncbi.nlm.nih.gov/pmc/blobs/24fa/12495248/036ba874e20f/gr2.jpg
https://cdn.ncbi.nlm.nih.gov/pmc/blobs/24fa/12495248/7167dc139c03/gr3.jpg
https://cdn.ncbi.nlm.nih.gov/pmc/blobs/24fa/12495248/1f750b1914f6/gr4.jpg
https://cdn.ncbi.nlm.nih.gov/pmc/blobs/24fa/12495248/ff4a29ed9cfd/gr5.jpg
https://cdn.ncbi.nlm.nih.gov/pmc/blobs/24fa/12495248/efdc1c1e1153/gr1.jpg
https://cdn.ncbi.nlm.nih.gov/pmc/blobs/24fa/12495248/036ba874e20f/gr2.jpg
https://cdn.ncbi.nlm.nih.gov/pmc/blobs/24fa/12495248/7167dc139c03/gr3.jpg
https://cdn.ncbi.nlm.nih.gov/pmc/blobs/24fa/12495248/1f750b1914f6/gr4.jpg
https://cdn.ncbi.nlm.nih.gov/pmc/blobs/24fa/12495248/ff4a29ed9cfd/gr5.jpg

相似文献

1
Bilateral lateral ventricular epidermoid cyst: A case report.双侧侧脑室表皮样囊肿:一例报告
Int J Surg Case Rep. 2025 Sep 15;136:111944. doi: 10.1016/j.ijscr.2025.111944.
2
Vesicoureteral Reflux膀胱输尿管反流
3
Mid Forehead Brow Lift额中眉提升术
4
Shoulder Arthrogram肩关节造影
5
Interhemispheric transcallosal approach for hemorrhagic colloid cyst.经胼胝体间的半球间入路治疗出血性胶样囊肿。
Surg Neurol Int. 2025 Aug 22;16:364. doi: 10.25259/SNI_363_2025. eCollection 2025.
6
Intraventricular Neurocysticercosis: Comparative Analysis of Different Localizations. Clinical Course and Treatment: A Systematic Review.脑室内神经囊尾蚴病:不同定位的比较分析。临床病程与治疗:一项系统评价
J Neurol Surg A Cent Eur Neurosurg. 2025 Sep;86(5):467-481. doi: 10.1055/a-2122-7391. Epub 2023 Jul 4.
7
Purely endoscopic transventricular approach for resection of a pineal region epidermoid cyst with third ventricle extension in a pediatric patient: a case-based review and literature analysis.小儿松果体区表皮样囊肿伴第三脑室扩展的纯内镜经脑室入路切除术:基于病例的综述与文献分析
Childs Nerv Syst. 2025 Aug 19;41(1):263. doi: 10.1007/s00381-025-06918-x.
8
Salzmanns Nodular Corneal Degeneration萨尔茨曼结节状角膜变性
9
Intracranial "white" epidermoid tumours - An imaging approach and systematic review.颅内“白色”表皮样肿瘤——一种影像学方法及系统综述。
Clin Imaging. 2022 Nov;91:1-8. doi: 10.1016/j.clinimag.2022.08.002. Epub 2022 Aug 4.
10
Unilateral Hearing Loss as the Sole Presentation of Extensive Intracranial Epidermoid Cyst: A Case Report.以单侧听力损失为广泛颅内表皮样囊肿唯一表现:一例报告
Cureus. 2025 May 24;17(5):e84721. doi: 10.7759/cureus.84721. eCollection 2025 May.

本文引用的文献

1
Huge intraventricular epidermoid cyst: A case report.巨大型脑室内表皮样囊肿:一例报告
Radiol Case Rep. 2025 Apr 16;20(7):3319-3322. doi: 10.1016/j.radcr.2025.03.046. eCollection 2025 Jul.
2
Lateral Intraventricular Epidermoid Cyst: A Case Report and Literature Review.外侧脑室表皮样囊肿:病例报告及文献复习。
Neurol India. 2023 Sep-Oct;71(5):1002-1006. doi: 10.4103/0028-3886.388112.
3
Fourth Ventricular Epidermoid Cyst - Case Series, Systematic Review and Analysis.第四脑室表皮样囊肿——病例系列、系统评价与分析
Asian J Neurosurg. 2021 Sep 14;16(3):470-482. doi: 10.4103/ajns.AJNS_539_20. eCollection 2021 Jul-Sep.
4
Lateral intraventricular epidermoid in a child with hydrocephalus.一名脑积水儿童的侧脑室内表皮样囊肿。
J Pediatr Neurosci. 2012 Sep;7(3):205-7. doi: 10.4103/1817-1745.106481.
5
Clinical characteristics and diagnostic imaging of epidermoid tumors.表皮样肿瘤的临床特征和诊断影像学。
J Clin Neurosci. 2011 Sep;18(9):1158-62. doi: 10.1016/j.jocn.2011.02.008. Epub 2011 Jul 13.
6
Intracranial cysts: radiologic-pathologic correlation and imaging approach.颅内囊肿:放射学与病理学的相关性及影像学检查方法
Radiology. 2006 Jun;239(3):650-64. doi: 10.1148/radiol.2393050823.
7
Intraventricular epidermoids.脑室内表皮样囊肿。
J Clin Neurosci. 2006 May;13(4):428-30. doi: 10.1016/j.jocn.2005.04.022. Epub 2006 Mar 27.
8
Epidermoid tumour of the lateral ventricle.
Acta Neurochir (Wien). 2006 Mar;148(3):339-42; discussion 342. doi: 10.1007/s00701-005-0678-0. Epub 2005 Nov 28.
9
Epidermoid of the lateral ventricle: evaluation with diffusion-weighted and diffusion tensor imaging.侧脑室表皮样囊肿:弥散加权成像和弥散张量成像评估
Clin Neurol Neurosurg. 2003 Sep;105(4):270-3. doi: 10.1016/s0303-8467(03)00029-5.
10
Micro-invasive squamous cell carcinoma arising in a pre-existing intraventricular epidermoid cyst. Case report and literature review.
Acta Neurochir (Wien). 1996;138(8):1008-12. doi: 10.1007/BF01411292.