Suppr超能文献

两种诊断合二为一?神经性厌食症和库欣综合征的罕见病例报告。

Two diagnoses become one? Rare case report of anorexia nervosa and Cushing's syndrome.

机构信息

Department of Endocrinology, Metabolism and Internal Medicine, Poznan University of Medical Sciences, Poznan, Poland.

出版信息

Neuropsychiatr Dis Treat. 2013;9:431-5. doi: 10.2147/NDT.S40398. Epub 2013 Mar 31.

Abstract

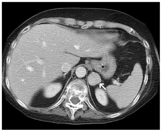
Hypothalamic-pituitary-adrenal axis impairment in anorexia nervosa is marked by hypercortisolemia, and psychiatric disorders occur in the majority of patients with Cushing's syndrome. Here we report a patient diagnosed with anorexia nervosa who also developed Cushing's syndrome. A 26-year-old female had been treated for anorexia nervosa since she was 17 years old, and also developed depression and paranoid schizophrenia. She was admitted to the Department of Endocrinology, Metabolism, and Internal Medicine with a preliminary diagnosis of Cushing's syndrome. Computed tomography revealed a 27 mm left adrenal tumor, and she underwent laparoscopic adrenalectomy. She was admitted to hospital 6 months after this procedure, at which time she did not report any eating or mood disorder. This is a rare case report of a patient with anorexia nervosa in whom Cushing's syndrome was subsequently diagnosed. Diagnostic difficulties were caused by the signs and symptoms presenting in the course of both disorders, ie, hypercortisolemia, osteoporosis, secondary amenorrhea, striae, hypokalemia, muscle weakness, and depression.

摘要

神经性厌食症的下丘脑-垂体-肾上腺轴功能损害表现为皮质醇增多症,大多数库欣综合征患者都存在精神障碍。在这里,我们报告了一例神经性厌食症患者,其也发展为库欣综合征。一名 26 岁女性从 17 岁开始接受神经性厌食症治疗,还患有抑郁症和偏执型精神分裂症。她因初步诊断为库欣综合征而被收入内分泌、代谢和内科。计算机断层扫描显示左侧肾上腺有一个 27 毫米的肿瘤,她接受了腹腔镜肾上腺切除术。术后 6 个月,她再次入院,此时她没有报告任何饮食或情绪障碍。这是一例罕见的神经性厌食症患者病例报告,该患者随后被诊断为库欣综合征。由于两种疾病的体征和症状出现,诊断存在困难,即皮质醇增多症、骨质疏松症、继发性闭经、条纹、低钾血症、肌肉无力和抑郁。

https://cdn.ncbi.nlm.nih.gov/pmc/blobs/88f9/3621711/7b1b88b5679b/ndt-9-431f1.jpg

文献AI研究员

20分钟写一篇综述,助力文献阅读效率提升50倍。

立即体验

用中文搜PubMed

大模型驱动的PubMed中文搜索引擎

马上搜索

文档翻译

学术文献翻译模型,支持多种主流文档格式。

立即体验