• 文献检索
  • 文档翻译
  • 深度研究
  • 学术资讯
  • Suppr Zotero 插件Zotero 插件
  • 邀请有礼
  • 套餐&价格
  • 历史记录
应用&插件
Suppr Zotero 插件Zotero 插件浏览器插件Mac 客户端Windows 客户端微信小程序
定价
高级版会员购买积分包购买API积分包
服务
文献检索文档翻译深度研究API 文档MCP 服务
关于我们
关于 Suppr公司介绍联系我们用户协议隐私条款
关注我们

Suppr 超能文献

核心技术专利:CN118964589B侵权必究
粤ICP备2023148730 号-1Suppr @ 2026

文献检索

告别复杂PubMed语法,用中文像聊天一样搜索,搜遍4000万医学文献。AI智能推荐,让科研检索更轻松。

立即免费搜索

文件翻译

保留排版,准确专业,支持PDF/Word/PPT等文件格式,支持 12+语言互译。

免费翻译文档

深度研究

AI帮你快速写综述,25分钟生成高质量综述,智能提取关键信息,辅助科研写作。

立即免费体验

库欣综合征患者的多发性自发性肋骨骨折

Mutiple Spontaneous Rib Fractures in Patient with Cushing's Syndrome.

作者信息

Lee Hyun Jung, Je Ji Hye, Seo Ji Hye, Na Young Ju, Yoo Hye Jin

机构信息

Division of Endocrinology and Metabolism, Department of Internal Medicine, College of Medicine, Korea University, Seoul, Korea.

出版信息

J Bone Metab. 2014 Nov;21(4):277-82. doi: 10.11005/jbm.2014.21.4.277. Epub 2014 Nov 30.

DOI:10.11005/jbm.2014.21.4.277
PMID:25489577
原文链接:https://pmc.ncbi.nlm.nih.gov/articles/PMC4255049/
Abstract

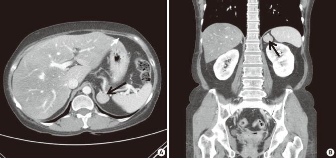
Glucocorticoid (GC) excess, including Cushing's syndrome, is a common cause of secondary osteoporosis. Thirty to fifty percent of Cushing's syndrome patients experience non-traumatic fractures, which is often the presenting manifestation of Cushing's syndrome. However, there have been rare cases of Cushing's syndrome diagnosed only based upon bone manifestations. We describe a case of Cushing's syndrome that was diagnosed in a 44-year-old woman who initially visited our hospital due to multiple non-traumatic rib fractures. She did not exhibit any other manifestations of Cushing's syndrome such as moon face, buffalo hump or abdominal striae. Initially, we evaluated her for bone metastases from a cancer of unknown origin, but there was no evidence of metastatic cancer. Instead, we found a left adrenal incidentaloma. As a result of the hormone study, she was diagnosed as having Cushing's syndrome. Interestingly, her bony manifestation of Cushing's syndrome, which was evident in the bone scan and bone mineral densitometry, completely recovered after a left adrenalectomy. Therefore, the possibility of Cushing's syndrome as a cause of secondary osteoporosis should be considered in young patients with non-traumatic multiple fractures, with or without any other typical features of Cushing's syndrome.

摘要

糖皮质激素(GC)过多,包括库欣综合征,是继发性骨质疏松症的常见原因。30%至50%的库欣综合征患者会发生非创伤性骨折,这往往是库欣综合征的首发表现。然而,仅有少数病例仅根据骨骼表现确诊为库欣综合征。我们描述了一例库欣综合征病例,该病例为一名44岁女性,最初因多处非创伤性肋骨骨折前来我院就诊。她没有表现出库欣综合征的任何其他表现,如满月脸、水牛背或腹部条纹。最初,我们对她进行了不明来源癌症骨转移的评估,但没有转移性癌症的证据。相反,我们发现了左侧肾上腺意外瘤。通过激素检查,她被诊断为库欣综合征。有趣的是,她在骨扫描和骨密度测量中明显的库欣综合征骨骼表现,在左侧肾上腺切除术后完全恢复。因此,对于有或没有库欣综合征任何其他典型特征的非创伤性多发骨折的年轻患者,应考虑库欣综合征作为继发性骨质疏松症病因的可能性。

https://cdn.ncbi.nlm.nih.gov/pmc/blobs/a0c6/4255049/fd439eec34d5/jbm-21-277-g005.jpg
https://cdn.ncbi.nlm.nih.gov/pmc/blobs/a0c6/4255049/604d73cd7d43/jbm-21-277-g001.jpg
https://cdn.ncbi.nlm.nih.gov/pmc/blobs/a0c6/4255049/b096e3057a0a/jbm-21-277-g002.jpg
https://cdn.ncbi.nlm.nih.gov/pmc/blobs/a0c6/4255049/d1f83c0d6d9e/jbm-21-277-g003.jpg
https://cdn.ncbi.nlm.nih.gov/pmc/blobs/a0c6/4255049/e379d7ccf5a9/jbm-21-277-g004.jpg
https://cdn.ncbi.nlm.nih.gov/pmc/blobs/a0c6/4255049/fd439eec34d5/jbm-21-277-g005.jpg
https://cdn.ncbi.nlm.nih.gov/pmc/blobs/a0c6/4255049/604d73cd7d43/jbm-21-277-g001.jpg
https://cdn.ncbi.nlm.nih.gov/pmc/blobs/a0c6/4255049/b096e3057a0a/jbm-21-277-g002.jpg
https://cdn.ncbi.nlm.nih.gov/pmc/blobs/a0c6/4255049/d1f83c0d6d9e/jbm-21-277-g003.jpg
https://cdn.ncbi.nlm.nih.gov/pmc/blobs/a0c6/4255049/e379d7ccf5a9/jbm-21-277-g004.jpg
https://cdn.ncbi.nlm.nih.gov/pmc/blobs/a0c6/4255049/fd439eec34d5/jbm-21-277-g005.jpg

相似文献

1
Mutiple Spontaneous Rib Fractures in Patient with Cushing's Syndrome.库欣综合征患者的多发性自发性肋骨骨折
J Bone Metab. 2014 Nov;21(4):277-82. doi: 10.11005/jbm.2014.21.4.277. Epub 2014 Nov 30.
2
Osteoporotic vertebral compression fractures caused by Cushing's syndrome in young women: case report and literature review.库欣综合征致年轻女性骨质疏松性椎体压缩骨折 1 例报告并文献复习
BMC Musculoskelet Disord. 2023 Mar 6;24(1):167. doi: 10.1186/s12891-023-06253-9.
3
A case of cushing syndrome diagnosed by recurrent pathologic fractures in a young woman.一名年轻女性因反复病理性骨折被诊断为库欣综合征的病例。
J Bone Metab. 2012 Nov;19(2):153-8. doi: 10.11005/jbm.2012.19.2.153. Epub 2012 Nov 16.
4
PRKAR1A-negative familial Cushing's syndrome: two case reports.PRKAR1A基因阴性的家族性库欣综合征:两例病例报告
J Med Case Rep. 2015 Dec 1;9:277. doi: 10.1186/s13256-015-0757-7.
5
[Forty-one cases of Cushing's syndrome: a comparison between Cushing's syndrome (adrenal adenoma) and Cushing's disease (adrenal hyperplasia)].41例库欣综合征:库欣综合征(肾上腺腺瘤)与库欣病(肾上腺增生)的比较
Nihon Naibunpi Gakkai Zasshi. 1992 Jun 20;68(6):607-22. doi: 10.1507/endocrine1927.68.6_607.
6
Two diagnoses become one? Rare case report of anorexia nervosa and Cushing's syndrome.两种诊断合二为一?神经性厌食症和库欣综合征的罕见病例报告。
Neuropsychiatr Dis Treat. 2013;9:431-5. doi: 10.2147/NDT.S40398. Epub 2013 Mar 31.
7
Osteoporosis is more prevalent in adrenal than in pituitary Cushing's syndrome.骨质疏松症在肾上腺皮质醇增多症中比在垂体性库欣综合征中更为普遍。
Endocr J. 2003 Feb;50(1):1-7. doi: 10.1507/endocrj.50.1.
8
Resolution of Metabolic Disorders and Overweight in a Patient with ACTH-independent Cushing's Syndrome after Unilateral Adrenalectomy.单侧肾上腺切除术后,一名促肾上腺皮质激素非依赖性库欣综合征患者代谢紊乱和超重情况的缓解
J Obes Metab Syndr. 2017 Sep;26(3):227-230. doi: 10.7570/jomes.2017.26.3.227. Epub 2017 Sep 30.
9
Vertebral osteoporotic fractures with height loss secondary to Cushing's disease.继发于库欣病的伴有身高降低的椎体骨质疏松性骨折。
Acta Reumatol Port. 2015 Jul-Sep;40(3):310-1.
10
Amenorrhea as a presentation of Cushing's syndrome.闭经作为库欣综合征的一种表现。
Endocrinol Diabetes Metab Case Rep. 2024 Jul 22;2024(3). doi: 10.1530/EDM-23-0152. Print 2024 Jul 1.

引用本文的文献

1
Recurrent Metatarsal Fractures in a Patient With Cushing Disease: A Case Report.库欣病患者复发性跖骨骨折:一例报告
Cureus. 2022 May 15;14(5):e25015. doi: 10.7759/cureus.25015. eCollection 2022 May.
2
Hidden hypercortisolism: a too frequently neglected clinical condition.隐匿性皮质醇增多症:一种常被忽视的临床病症。
J Endocrinol Invest. 2021 Aug;44(8):1581-1596. doi: 10.1007/s40618-020-01484-2. Epub 2021 Jan 4.

本文引用的文献

1
A case of cushing syndrome diagnosed by recurrent pathologic fractures in a young woman.一名年轻女性因反复病理性骨折被诊断为库欣综合征的病例。
J Bone Metab. 2012 Nov;19(2):153-8. doi: 10.11005/jbm.2012.19.2.153. Epub 2012 Nov 16.
2
Glucocorticoid-induced osteoporosis: lessons from Cushing's syndrome.糖皮质激素诱导的骨质疏松症:库欣综合征的教训。
Clin Endocrinol (Oxf). 2013 Jul;79(1):1-11. doi: 10.1111/cen.12189. Epub 2013 Apr 13.
3
Approach to the patient with secondary osteoporosis.继发性骨质疏松症患者的处理方法。
Eur J Endocrinol. 2010 Jun;162(6):1009-20. doi: 10.1530/EJE-10-0015. Epub 2010 Mar 15.
4
Persistent increase of osteoprotegerin levels after cortisol normalization in patients with Cushing's syndrome.库欣综合征患者皮质醇正常化后骨保护素水平持续升高。
Eur J Endocrinol. 2010 Jan;162(1):85-90. doi: 10.1530/EJE-09-0800. Epub 2009 Sep 30.
5
Bone mineral density before and after surgical cure of Cushing's syndrome due to adrenocortical adenoma: prospective study.肾上腺皮质腺瘤所致库欣综合征手术治愈前后的骨矿物质密度:前瞻性研究
World J Surg. 2008 May;32(5):890-6. doi: 10.1007/s00268-007-9394-7.
6
Cushing's syndrome and bone mineral density: lowest Z scores in young patients.库欣综合征与骨密度:年轻患者的Z值最低
Neth J Med. 2007 Apr;65(4):137-41.
7
Glucocorticoid-induced osteoporosis: an update.糖皮质激素性骨质疏松症:最新进展
Trends Endocrinol Metab. 2006 May-Jun;17(4):144-9. doi: 10.1016/j.tem.2006.03.009.
8
Restoration of the coupling process and normalization of bone mass following successful treatment of endogenous Cushing's syndrome: a prospective, long-term study.内源性库欣综合征成功治疗后耦合过程的恢复及骨量正常化:一项前瞻性长期研究
Eur J Endocrinol. 2006 Jan;154(1):109-18. doi: 10.1530/eje.1.02067.
9
Cushing's syndrome and bone.库欣综合征与骨骼
Pituitary. 2004;7(4):249-52. doi: 10.1007/s11102-005-1051-2.
10
Bone loss is more severe in primary adrenal than in pituitary-dependent Cushing's syndrome.原发性肾上腺性库欣综合征中的骨质流失比垂体依赖性库欣综合征更严重。
Osteoporos Int. 2004 Nov;15(11):855-61. doi: 10.1007/s00198-004-1616-3. Epub 2004 Mar 18.