Suppr超能文献

猫白血病病毒 env 基因的系统进化和结构多样性。

Phylogenetic and structural diversity in the feline leukemia virus env gene.

机构信息

Laboratory of Molecular Immunology and Infectious Disease, The United Graduate School of Veterinary Science, Yamaguchi University, Yamaguchi, Japan.

出版信息

PLoS One. 2013 Apr 11;8(4):e61009. doi: 10.1371/journal.pone.0061009. Print 2013.

Abstract

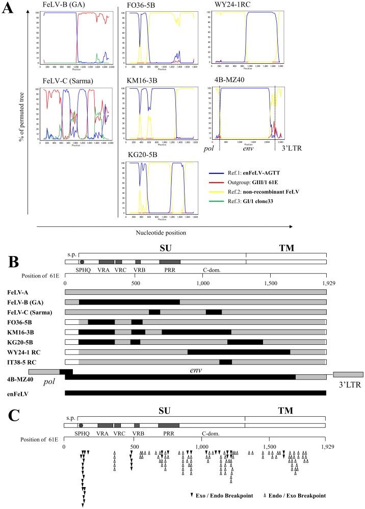
Feline leukemia virus (FeLV) belongs to the genus Gammaretrovirus, and causes a variety of neoplastic and non-neoplastic diseases in cats. Alteration of viral env sequences is thought to be associated with disease specificity, but the way in which genetic diversity of FeLV contributes to the generation of such variants in nature is poorly understood. We isolated FeLV env genes from naturally infected cats in Japan and analyzed the evolutionary dynamics of these genes. Phylogenetic reconstructions separated our FeLV samples into three distinct genetic clusters, termed Genotypes I, II, and III. Genotype I is a major genetic cluster and can be further classified into Clades 1-7 in Japan. Genotypes were correlated with geographical distribution; Genotypes I and II were distributed within Japan, whilst FeLV samples from outside Japan belonged to Genotype III. These results may be due to geographical isolation of FeLVs in Japan. The observed structural diversity of the FeLV env gene appears to be caused primarily by mutation, deletion, insertion and recombination, and these variants may be generated de novo in individual cats. FeLV interference assay revealed that FeLV genotypes did not correlate with known FeLV receptor subgroups. We have identified the genotypes which we consider to be reliable for evaluating phylogenetic relationships of FeLV, which embrace the high structural diversity observed in our sample. Overall, these findings extend our understanding of Gammaretrovirus evolutionary patterns in the field, and may provide a useful basis for assessing the emergence of novel strains and understanding the molecular mechanisms of FeLV transmission in cats.

摘要

猫白血病病毒(FeLV)属于γ逆转录病毒属,可导致猫发生多种肿瘤性和非肿瘤性疾病。病毒 env 序列的改变被认为与疾病特异性有关,但 FeLV 遗传多样性如何导致这些变体在自然界中的产生仍知之甚少。我们从日本自然感染的猫中分离出 FeLV env 基因,并分析了这些基因的进化动态。系统发育重建将我们的 FeLV 样本分为三个不同的遗传群,称为基因型 I、II 和 III。基因型 I 是主要的遗传群,在日本可进一步分为 1-7 个分支。基因型与地理分布相关;基因型 I 和 II 分布在日本,而来自日本以外的 FeLV 样本属于基因型 III。这些结果可能是由于日本的 FeLV 地理隔离。观察到的 FeLV env 基因结构多样性主要是由突变、缺失、插入和重组引起的,这些变体可能在个体猫中从头产生。FeLV 干扰测定表明,FeLV 基因型与已知的 FeLV 受体亚群无关。我们已经确定了我们认为对评估 FeLV 系统发育关系可靠的基因型,这些基因型包含了我们样本中观察到的高度结构多样性。总的来说,这些发现扩展了我们对该领域γ逆转录病毒进化模式的理解,并可为评估新菌株的出现以及理解猫中 FeLV 传播的分子机制提供有用的基础。

https://cdn.ncbi.nlm.nih.gov/pmc/blobs/d94a/3623909/e379d8d44323/pone.0061009.g001.jpg

相似文献

1
Phylogenetic and structural diversity in the feline leukemia virus env gene.
PLoS One. 2013 Apr 11;8(4):e61009. doi: 10.1371/journal.pone.0061009. Print 2013.
2
Genetic diversity in the feline leukemia virus gag gene.
Virus Res. 2015 Jun 2;204:74-81. doi: 10.1016/j.virusres.2015.04.008. Epub 2015 Apr 17.
3
Reduced Folate Carrier: an Entry Receptor for a Novel Feline Leukemia Virus Variant.
J Virol. 2019 Jun 14;93(13). doi: 10.1128/JVI.00269-19. Print 2019 Jul 1.
5
Naturally occurring feline leukemia virus subgroup A and B infections in urban domestic cats.
J Gen Virol. 2008 Nov;89(Pt 11):2799-2805. doi: 10.1099/vir.0.2008/003855-0.
6
Recombinant feline leukemia virus genes detected in naturally occurring feline lymphosarcomas.
J Virol. 1993 Jun;67(6):3118-25. doi: 10.1128/JVI.67.6.3118-3125.1993.
7
Notch2 transduction by feline leukemia virus in a naturally infected cat.
J Vet Med Sci. 2014 Apr;76(4):553-7. doi: 10.1292/jvms.13-0344. Epub 2013 Dec 9.
9
Tracking the Fate of Endogenous Retrovirus Segregation in Wild and Domestic Cats.
J Virol. 2019 Nov 26;93(24). doi: 10.1128/JVI.01324-19. Print 2019 Dec 15.
10
Inhibition of feline leukemia virus subgroup A infection by coinoculation with subgroup B.
Virology. 2000 Nov 10;277(1):40-7. doi: 10.1006/viro.2000.0606.

引用本文的文献

2
FeLIX is a restriction factor for mammalian retrovirus infection.
J Virol. 2024 Apr 16;98(4):e0177123. doi: 10.1128/jvi.01771-23. Epub 2024 Mar 5.
3
Multiple recombination events between endogenous retroviral elements and feline leukemia virus.
J Virol. 2024 Feb 20;98(2):e0140023. doi: 10.1128/jvi.01400-23. Epub 2024 Jan 19.
5
Genetic Diversity and Evolution of Viruses Infecting : A Global Perspective.
Viruses. 2023 Jun 7;15(6):1338. doi: 10.3390/v15061338.
7
Feline Leukemia Virus Frequently Spills Over from Domestic Cats to North American Pumas.
J Virol. 2022 Dec 14;96(23):e0120122. doi: 10.1128/jvi.01201-22. Epub 2022 Nov 14.
8

本文引用的文献

1
Infectious endogenous retroviruses in cats and emergence of recombinant viruses.
J Virol. 2012 Aug;86(16):8634-44. doi: 10.1128/JVI.00280-12. Epub 2012 Jun 6.
3
TranslatorX: multiple alignment of nucleotide sequences guided by amino acid translations.
Nucleic Acids Res. 2010 Jul;38(Web Server issue):W7-13. doi: 10.1093/nar/gkq291. Epub 2010 Apr 30.
4
An updated nation-wide epidemiological survey of feline immunodeficiency virus (FIV) infection in Japan.
J Vet Med Sci. 2010 Aug;72(8):1051-6. doi: 10.1292/jvms.09-0574. Epub 2010 Mar 12.
5
SeaView version 4: A multiplatform graphical user interface for sequence alignment and phylogenetic tree building.
Mol Biol Evol. 2010 Feb;27(2):221-4. doi: 10.1093/molbev/msp259. Epub 2009 Oct 23.
6
The remarkable frequency of human immunodeficiency virus type 1 genetic recombination.
Microbiol Mol Biol Rev. 2009 Sep;73(3):451-80, Table of Contents. doi: 10.1128/MMBR.00012-09.
7
Identification of a feline leukemia virus variant that can use THTR1, FLVCR1, and FLVCR2 for infection.
J Virol. 2009 Jul;83(13):6706-16. doi: 10.1128/JVI.02317-08. Epub 2009 Apr 15.
10
Naturally occurring feline leukemia virus subgroup A and B infections in urban domestic cats.
J Gen Virol. 2008 Nov;89(Pt 11):2799-2805. doi: 10.1099/vir.0.2008/003855-0.

文献AI研究员

20分钟写一篇综述,助力文献阅读效率提升50倍。

立即体验

用中文搜PubMed

大模型驱动的PubMed中文搜索引擎

马上搜索

文档翻译

学术文献翻译模型,支持多种主流文档格式。

立即体验