Suppr超能文献

评估新型超顺磁性氧化铁造影剂 GEH121333 用于癌症免疫反应的磁共振成像。

Evaluation of the novel USPIO GEH121333 for MR imaging of cancer immune responses.

机构信息

Department of Radiology, Molecular Imaging Program at Stanford, Stanford University, Stanford, CA 94305, USA.

出版信息

Contrast Media Mol Imaging. 2013 May-Jun;8(3):281-8. doi: 10.1002/cmmi.1526.

Abstract

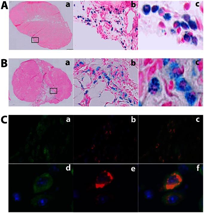
Tumor-associated macrophages (TAM) maintain a chronic inflammation in cancers, which is associated with tumor aggressiveness and poor prognosis. The purpose of this study was to: (1) evaluate the pharmacokinetics and tolerability of the novel ultrasmall superparamagnetic iron oxide nanoparticle (USPIO) compound GEH121333; (2) assess whether GEH121333 can serve as a MR imaging biomarker for TAM; and (3) compare tumor MR enhancement profiles between GEH121333 and ferumoxytol. Blood half-lives of GEH121333 and ferumoxytol were measured by relaxometry (n = 4 each). Tolerance was assessed in healthy rats injected with high dose GEH121333, vehicle or saline (n = 4 each). Animals were monitored for 7 days regarding body weight, complete blood counts and serum chemistry, followed by histological evaluation of visceral organs. MR imaging was performed on mice harboring MMTV-PyMT-derived breast adenocarcinomas using a 7 T scanner before and up to 72 h post-injection (p.i.) of GEH121333 (n = 10) or ferumoxytol (n = 9). Tumor R1, R2* relaxation rates were compared between different experimental groups and time points, using a linear mixed effects model with a random effect for each animal. MR data were correlated with histopathology. GEH121333 showed a longer circulation half-life than ferumoxytol. Intravenous GEH121333 did not produce significant adverse effects in rats. All tumors demonstrated significant enhancement on T1, T2 and T2*-weighted images at 1, 24, 48 and 72 h p.i. GEH121333 generated stronger tumor T2* enhancement than ferumoxytol. Histological analysis verified intracellular compartmentalization of GEH121333 by TAM at 24, 48 and 72 h p.i. MR imaging with GEH121333 nanoparticles represents a novel biomarker for TAM assessment. This new USPIO MR contrast agent provides a longer blood half-life and better TAM enhancement compared with the iron supplement ferumoxytol.

摘要

肿瘤相关巨噬细胞(TAM)在癌症中维持慢性炎症,与肿瘤侵袭性和预后不良相关。本研究的目的是:(1)评估新型超小超顺磁性氧化铁纳米颗粒(USPIO)化合物 GEH121333 的药代动力学和耐受性;(2)评估 GEH121333 是否可作为 TAM 的磁共振成像(MRI)生物标志物;(3)比较 GEH121333 和 Ferumoxytol 对肿瘤的 MRI 增强特征。通过弛豫测量法(每组各 4 只)测量 GEH121333 和 Ferumoxytol 的血液半衰期。在接受高剂量 GEH121333、载体或生理盐水注射的健康大鼠中评估耐受性(每组各 4 只)。监测动物 7 天,包括体重、全血细胞计数和血清化学,然后对内脏器官进行组织学评估。使用 7 T 扫描仪在携带 MMTV-PyMT 衍生的乳腺腺癌的小鼠中进行 MRI 检查,在注射 GEH121333(n = 10)或 Ferumoxytol(n = 9)前和注射后最多 72 小时进行。使用具有每个动物随机效应的线性混合效应模型比较不同实验组和时间点的肿瘤 R1、R2弛豫率。将 MR 数据与组织病理学相关联。GEH121333 的循环半衰期长于 Ferumoxytol。静脉内注射 GEH121333 在大鼠中未产生显著的不良反应。所有肿瘤在注射后 1、24、48 和 72 小时的 T1、T2 和 T2-加权图像上均显示出显著增强。GEH121333 产生的肿瘤 T2*增强强于 Ferumoxytol。组织学分析在注射后 24、48 和 72 小时验证了 GEH121333 通过 TAM 的细胞内区室化。使用 GEH121333 纳米颗粒的 MRI 代表 TAM 评估的新型生物标志物。与铁补充剂 Ferumoxytol 相比,这种新型 USPIO MRI 造影剂提供了更长的血液半衰期和更好的 TAM 增强。

https://cdn.ncbi.nlm.nih.gov/pmc/blobs/f962/3662997/70793ce6955e/cmmi0008-0281-f1.jpg

文献AI研究员

20分钟写一篇综述,助力文献阅读效率提升50倍。

立即体验

用中文搜PubMed

大模型驱动的PubMed中文搜索引擎

马上搜索

文档翻译

学术文献翻译模型,支持多种主流文档格式。

立即体验