Suppr超能文献

成功切除肝细胞癌的颅内转移灶。

Successful resection of intracranial metastasis of hepatocellular carcinoma.

作者信息

Okimoto Kenichiro, Ogasawara Sadahisa, Chiba Tetsuhiro, Kanai Fumihiko, Yokota Hajime, Motoyama Tenyu, Suzuki Eiichiro, Ooka Yoshihiko, Tawada Akinobu, Iwadate Yasuo, Saeki Naokatsu, Yokosuka Osamu

机构信息

Department of Gastroenterology and Nephrology, Graduate School of Medicine, Chiba University, Chiba, Japan.

出版信息

Case Rep Gastroenterol. 2013 Mar 28;7(1):182-7. doi: 10.1159/000350673. Print 2013 Jan.

Abstract

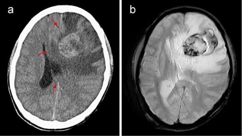
Intracranial metastasis of hepatocellular carcinoma (HCC) is rare, but has an extremely poor prognosis. We report a case with successful surgical removal of intracranial metastasis of HCC. A 32-year-old man was admitted to our hospital with severe vomiting. He had been followed for liver cirrhosis due to hepatitis B virus infection and received a right hepatic trisectionectomy for HCC 1 year earlier. For the recurrence of HCC, sorafenib had been administered 6 months before admission. On admission, he exhibited consciousness disturbance, which gradually worsened. Two days later, both computed tomography and magnetic resonance imaging revealed an intra-axial tumor with perifocal edema and hemorrhage in the left frontal lobe. The tumor was successfully removed by craniotomy and pathological examination revealed that it was composed of moderately differentiated HCC cells. The day after surgical resection of the tumor, his consciousness returned to normal. Subsequently, he was treated with hepatic arterial infusion chemotherapy with 5-fluorouracil and cisplatin using an implanted port-catheter system. Surgical resection of intracranial metastasis of HCC would be important and meaningful in some cases.

摘要

肝细胞癌(HCC)的颅内转移罕见,但预后极差。我们报告一例成功手术切除HCC颅内转移灶的病例。一名32岁男性因严重呕吐入院。他因乙型肝炎病毒感染导致肝硬化,1年前接受了HCC右半肝切除术。因HCC复发,入院前6个月给予了索拉非尼治疗。入院时,他出现意识障碍,且逐渐加重。两天后,计算机断层扫描和磁共振成像均显示左额叶有一个轴内肿瘤,伴有瘤周水肿和出血。通过开颅手术成功切除了肿瘤,病理检查显示其由中度分化的HCC细胞组成。肿瘤手术切除后的第二天,他的意识恢复正常。随后,使用植入式导管系统对其进行了5-氟尿嘧啶和顺铂肝动脉灌注化疗。在某些情况下,手术切除HCC颅内转移灶具有重要意义。

https://cdn.ncbi.nlm.nih.gov/pmc/blobs/df2d/3635693/b45977058a5f/crg-0007-0182-g01.jpg

文献AI研究员

20分钟写一篇综述,助力文献阅读效率提升50倍。

立即体验

用中文搜PubMed

大模型驱动的PubMed中文搜索引擎

马上搜索

文档翻译

学术文献翻译模型,支持多种主流文档格式。

立即体验