Suppr超能文献

没食子鞣酸对急性胆汁淤积大鼠的抗炎和抗氧化作用。

Anti-inflammatory and anti-oxidative effects of corilagin in a rat model of acute cholestasis.

机构信息

Department of Neurosurgery, Neuro-oncology Laboratory, Affiliated Hospitalof Jining Medical College, Jining, Shandong 272029, PR China.

出版信息

BMC Gastroenterol. 2013 May 3;13:79. doi: 10.1186/1471-230X-13-79.

Abstract

BACKGROUND

Nowadays, treatments for cholestasis remain largely nonspecific and often ineffective. Recent studies showed that inflammatory injuries and oxidative stress occur in the liver with cholestasis. In this study, we would use corilagin to treat the animal model of acute cholestasis in order to define the activity to interfere with inflammation-related and oxidative stress pathway in cholestatic pathogenesis.

METHODS

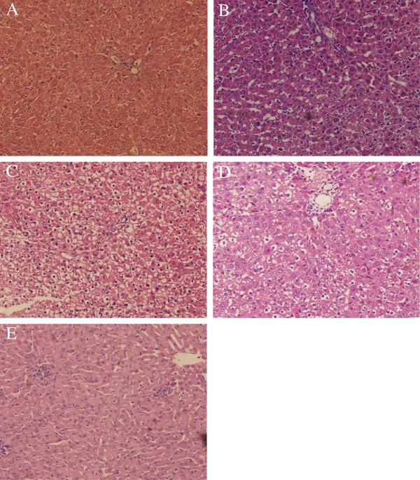
Rats were administrated with alpha-naphthylisothiocyanate to establish model of cholestasis and divided into corilagin, ursodeoxycholic acid, dexamethasone, model and normal groups with treatment of related agent. At 24h, 48h and 72h time points after administration, living condition, serum markers of liver damage, pathological changes of hepatic tissue, nuclear factor (NF)-kappaB, myeloperoxidase (MPO), malondialdehyde (MDA), superoxide dismutase (SOD) and nitric oxide (NO) were examined and observed.

RESULTS

Compared to model group, corilagin had remarkable effect on living condition, pathological manifestation of liver tissue, total bilirubin, direct bilirubin, (P<0.01), but no effect on alanine aminotransferase (ALT) and aspartate aminotransferase (AST). With corilagin intervention, levels of MPO, MDA and translocation of NF-κB were notably decreased, and levels of SOD and NO were markedly increased (P<0.05 or P<0.01).

CONCLUSIONS

It is shown that corilagin is a potential component to relieve cholestasis through inflammation-related and oxidation-related pathway.

摘要

背景

目前,针对胆汁淤积症的治疗方法仍大多是非特异性的,且往往效果不佳。最近的研究表明,在胆汁淤积症患者的肝脏中存在炎症损伤和氧化应激。在本研究中,我们将使用柯里拉京治疗急性胆汁淤积症动物模型,以确定其对炎症相关和氧化应激途径的干预活性,从而阐明胆汁淤积症发病机制。

方法

用α-萘异硫氰酸酯处理大鼠,建立胆汁淤积模型,并将其分为柯里拉京组、熊去氧胆酸组、地塞米松组、模型组和正常组,分别给予相应的药物治疗。在给药后 24h、48h 和 72h 时,观察大鼠的生存状态、血清肝损伤标志物、肝组织病理变化、核因子(NF)-κB、髓过氧化物酶(MPO)、丙二醛(MDA)、超氧化物歧化酶(SOD)和一氧化氮(NO)的变化。

结果

与模型组相比,柯里拉京能显著改善大鼠的生存状态和肝组织病理表现,降低总胆红素和直接胆红素(P<0.01),但对丙氨酸氨基转移酶(ALT)和天冬氨酸氨基转移酶(AST)无明显影响。柯里拉京干预后,MPO、MDA 和 NF-κB 的转位水平显著降低,SOD 和 NO 水平显著升高(P<0.05 或 P<0.01)。

结论

柯里拉京通过炎症相关和氧化应激相关途径缓解胆汁淤积症,这表明它可能是一种有潜力的治疗成分。

https://cdn.ncbi.nlm.nih.gov/pmc/blobs/32a2/3655894/ffa150e4afdc/1471-230X-13-79-1.jpg

文献AI研究员

20分钟写一篇综述,助力文献阅读效率提升50倍。

立即体验

用中文搜PubMed

大模型驱动的PubMed中文搜索引擎

马上搜索

文档翻译

学术文献翻译模型,支持多种主流文档格式。

立即体验