• 文献检索
  • 文档翻译
  • 深度研究
  • 学术资讯
  • Suppr Zotero 插件Zotero 插件
  • 邀请有礼
  • 套餐&价格
  • 历史记录
应用&插件
Suppr Zotero 插件Zotero 插件浏览器插件Mac 客户端Windows 客户端微信小程序
定价
高级版会员购买积分包购买API积分包
服务
文献检索文档翻译深度研究API 文档MCP 服务
关于我们
关于 Suppr公司介绍联系我们用户协议隐私条款
关注我们

Suppr 超能文献

核心技术专利:CN118964589B侵权必究
粤ICP备2023148730 号-1Suppr @ 2026

文献检索

告别复杂PubMed语法,用中文像聊天一样搜索,搜遍4000万医学文献。AI智能推荐,让科研检索更轻松。

立即免费搜索

文件翻译

保留排版,准确专业,支持PDF/Word/PPT等文件格式,支持 12+语言互译。

免费翻译文档

深度研究

AI帮你快速写综述,25分钟生成高质量综述,智能提取关键信息,辅助科研写作。

立即免费体验

尿路上皮癌附近的淋巴细胞浸润类型对慢性淋巴细胞白血病具有诊断意义。

The type of lymphocyte infiltration near urothelial carcinoma is diagnostic for chronic lymphocytic leukemia.

作者信息

Baseskiogulu Barbaros, Canaz Funda, Kaya Coskun, Dönmez Turgut

机构信息

Department of Urology and Pathology, Faculty of Medicine, Osmangazi University, Eskisehir, Turkey.

出版信息

Urol Ann. 2013 Jan;5(1):47-9. doi: 10.4103/0974-7796.106968.

DOI:10.4103/0974-7796.106968
PMID:23662012
原文链接:https://pmc.ncbi.nlm.nih.gov/articles/PMC3643325/
Abstract

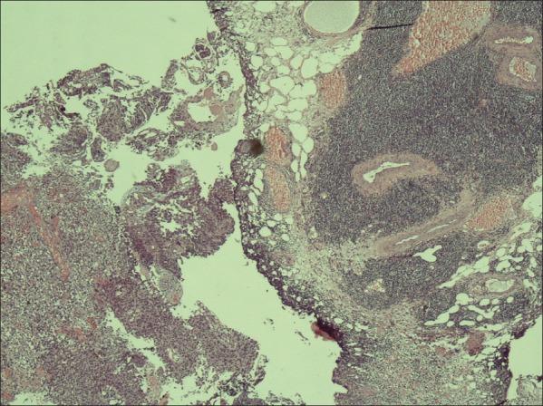
T-lymphocytic infiltration near the tumor site is an expected immune response in bladder cancers. However, reports of patients with bladder cancer exhibiting small lymphocytic infiltration of the bladder tissue are very rare in the literature. Here, the patient was presented to our group with hematuria, but subsequently diagnosed as exhibiting invasive bladder cancer and chronic lymphocytic leukemia with suspicious lymphocytic infiltration in a transurethral resection specimen. This case emphasizes the importance of lymphocytic infiltration's nature near urothelial carcinoma.

摘要

肿瘤部位附近的T淋巴细胞浸润是膀胱癌中预期的免疫反应。然而,文献中关于膀胱癌患者膀胱组织淋巴细胞浸润较少的报道非常罕见。在此,该患者因血尿前来我院就诊,但随后经诊断为浸润性膀胱癌和慢性淋巴细胞白血病,经尿道切除标本中可见可疑的淋巴细胞浸润。该病例强调了尿路上皮癌附近淋巴细胞浸润性质的重要性。

https://cdn.ncbi.nlm.nih.gov/pmc/blobs/31f2/3643325/6fc45bb3fab0/UA-5-47-g003.jpg
https://cdn.ncbi.nlm.nih.gov/pmc/blobs/31f2/3643325/4cbb954a4b5a/UA-5-47-g001.jpg
https://cdn.ncbi.nlm.nih.gov/pmc/blobs/31f2/3643325/372cc35a87d1/UA-5-47-g002.jpg
https://cdn.ncbi.nlm.nih.gov/pmc/blobs/31f2/3643325/6fc45bb3fab0/UA-5-47-g003.jpg
https://cdn.ncbi.nlm.nih.gov/pmc/blobs/31f2/3643325/4cbb954a4b5a/UA-5-47-g001.jpg
https://cdn.ncbi.nlm.nih.gov/pmc/blobs/31f2/3643325/372cc35a87d1/UA-5-47-g002.jpg
https://cdn.ncbi.nlm.nih.gov/pmc/blobs/31f2/3643325/6fc45bb3fab0/UA-5-47-g003.jpg

相似文献

1
The type of lymphocyte infiltration near urothelial carcinoma is diagnostic for chronic lymphocytic leukemia.尿路上皮癌附近的淋巴细胞浸润类型对慢性淋巴细胞白血病具有诊断意义。
Urol Ann. 2013 Jan;5(1):47-9. doi: 10.4103/0974-7796.106968.
2
Chronic lymphocytic leukemia of the bladder: an atypical etiology of gross hematuria.膀胱慢性淋巴细胞白血病:肉眼血尿的非典型病因。
Ther Adv Urol. 2014 Oct;6(5):198-200. doi: 10.1177/1756287214535461.
3
Triple cancer: chronic lymphocytic leukemia with bladder and prostate carcinoma.三重癌:慢性淋巴细胞白血病合并膀胱癌和前列腺癌。
Malays J Pathol. 2015 Aug;37(2):159-63.
4
Plasmacytoid Urothelial Carcinoma of the Urinary Bladder Metastatic to the Duodenum: A Case Report-Diagnostic Relevance of GATA3 Immunohistochemistry.膀胱浆细胞样尿路上皮癌转移至十二指肠:一例报告——GATA3免疫组化的诊断意义
Case Rep Pathol. 2017;2017:5209059. doi: 10.1155/2017/5209059. Epub 2017 Jan 31.
5
Urothelial carcinoma in both adnexa following perforation during transurethral resection of a non-muscle-invasive bladder tumor: a case report and literature review.附件尿路上皮癌继发于非肌层浸润性膀胱肿瘤经尿道电切术中穿孔:病例报告及文献复习。
Expert Rev Anticancer Ther. 2012 Dec;12(12):1529-36. doi: 10.1586/era.12.136.
6
Lymphoepithelioma-Like Carcinoma of the Bladder: A Case Report of a Rare and Particular Variant of Urothelial Carcinoma.膀胱淋巴上皮瘤样癌:尿路上皮癌一种罕见且特殊变体的病例报告
Case Rep Urol. 2018 Jul 8;2018:7975454. doi: 10.1155/2018/7975454. eCollection 2018.
7
Renal Metastasis of Small Cell Lung Cancer With Urothelial Carcinoma of the Bladder Misdiagnosed as Renal Cell Carcinoma.小细胞肺癌肾转移合并膀胱尿路上皮癌误诊为肾细胞癌
J Med Cases. 2019 Aug;10(8):253-256. doi: 10.14740/jmc3353. Epub 2019 Aug 26.
8
Primary Urothelial Bladder Cancer in a Young Patient: A Case Report and Review of the Literature.一名年轻患者的原发性膀胱尿路上皮癌:病例报告及文献综述
Cureus. 2021 Jun 23;13(6):e15864. doi: 10.7759/cureus.15864.
9
Primary small-cell neuroendocrine carcinoma of the bladder: Case report and literature review.膀胱原发性小细胞神经内分泌癌:病例报告及文献复习。
Arch Ital Urol Androl. 2020 Oct 2;92(3). doi: 10.4081/aiua.2020.3.211.
10
Extensive rhabdomyosarcomatous differentiation in recurrent low-grade urothelial carcinoma of the bladder after transurethral resection: a case report.经尿道切除术后复发性低度膀胱尿路上皮癌中广泛的横纹肌肉瘤样分化:一例报告
J Med Case Rep. 2015 Sep 10;9:199. doi: 10.1186/s13256-015-0684-7.

引用本文的文献

1
Synchronous renal pelvis carcinoma associated with small lymphocytic lymphoma: A case report.同步性肾盂癌合并小淋巴细胞淋巴瘤:一例报告
World J Clin Cases. 2022 Oct 16;10(29):10663-10669. doi: 10.12998/wjcc.v10.i29.10663.
2
Extramedullary chronic lymphocytic leukemia disguised as urinary tract infection.伪装成尿路感染的髓外慢性淋巴细胞白血病
Proc (Bayl Univ Med Cent). 2022 Jul 25;35(6):846-848. doi: 10.1080/08998280.2022.2100176. eCollection 2022.
3
Chronic lymphocytic leukemia of the bladder: an atypical etiology of gross hematuria.

本文引用的文献

1
[Leukemic infiltration of the urinary bladder. A new case and literature review].[膀胱白血病浸润。1例新病例及文献综述]
Actas Urol Esp. 2008 May;32(5):563-6. doi: 10.1016/s0210-4806(08)73885-3.
2
Personal use of hair dyes and risk of bladder cancer: a meta-analysis of epidemiologic data.个人使用染发剂与膀胱癌风险:流行病学数据的荟萃分析
Cancer Causes Control. 2008 Aug;19(6):549-58. doi: 10.1007/s10552-008-9123-z. Epub 2008 Feb 20.
3
Focus on TILs: Prognostic significance of tumor infiltrating lymphocytes in human bladder cancer.
膀胱慢性淋巴细胞白血病:肉眼血尿的非典型病因。
Ther Adv Urol. 2014 Oct;6(5):198-200. doi: 10.1177/1756287214535461.
聚焦肿瘤浸润淋巴细胞:肿瘤浸润淋巴细胞在人类膀胱癌中的预后意义
Cancer Immun. 2007 Jun 26;7:10.
4
Urinary bladder infiltration with chronic B-lymphocytic leukemia: two cases with unusual presentation.慢性B淋巴细胞白血病膀胱浸润:两例不寻常表现病例
Leuk Lymphoma. 2006 Jun;47(6):1184-7. doi: 10.1080/10428190500465341.
5
Chronic lymphocytic leukemia/small lymphocytic lymphoma presenting in urinary bladder without peripheral blood lymphocytosis: case report and literature review.膀胱原发无外周血淋巴细胞增多的慢性淋巴细胞白血病/小淋巴细胞淋巴瘤:病例报告及文献复习
Leuk Lymphoma. 2006 Jun;47(6):1163-5. doi: 10.1080/10428190500465283.
6
Pooled analysis and meta-analysis of glutathione S-transferase M1 and bladder cancer: a HuGE review.谷胱甘肽S-转移酶M1与膀胱癌的汇总分析和荟萃分析:一项HuGE综述
Am J Epidemiol. 2002 Jul 15;156(2):95-109. doi: 10.1093/aje/kwf018.
7
Relationship between glutathione S-transferase M1, T1, and P1 polymorphisms and chronic lymphocytic leukemia.谷胱甘肽S-转移酶M1、T1和P1基因多态性与慢性淋巴细胞白血病的关系
Blood. 2002 Jun 1;99(11):4216-8. doi: 10.1182/blood.v99.11.4216.
8
Immunocytoma of prostate.前列腺免疫细胞瘤
Urology. 1983 Oct;22(4):438-9. doi: 10.1016/0090-4295(83)90434-x.
9
Acute nonlymphocytic leukemia following bladder instillations with thiotepa.使用噻替派膀胱灌注后发生的急性非淋巴细胞白血病。
Can Med Assoc J. 1983 Sep 15;129(6):578-9.
10
Secondary non-hematopoietic cancers arising following treatment of hematopoietic disorders.造血系统疾病治疗后发生的继发性非造血系统癌症。
Cancer. 1985 Feb 1;55(3):512-5. doi: 10.1002/1097-0142(19850201)55:3<512::aid-cncr2820550307>3.0.co;2-z.