Suppr超能文献

同步性肾盂癌合并小淋巴细胞淋巴瘤:一例报告

Synchronous renal pelvis carcinoma associated with small lymphocytic lymphoma: A case report.

作者信息

Yang Han-Jin, Huang Xiao

机构信息

Department of Pathology, The First Affiliated Hospital, School of Medicine, Zhejiang University, Hangzhou 310003, Zhejiang Province, China.

Department of Urology, The First Affiliated Hospital, School of Medicine, Zhejiang University, Hangzhou 310003, Zhejiang Province, China.

出版信息

World J Clin Cases. 2022 Oct 16;10(29):10663-10669. doi: 10.12998/wjcc.v10.i29.10663.

Abstract

BACKGROUND

Chronic lymphocytic leukemia/small lymphocytic lymphoma (CLL/SLL) is often associated with an increased risk of developing subsequent neoplasms of epithelial and mesenchymal origin. Coincidence of CLL/SLL and urothelial carcinoma (UC) is very rare. Herein, we report a case of synchronous renal pelvis carcinoma with SLL.

CASE SUMMARY

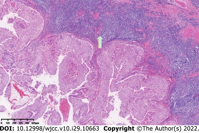
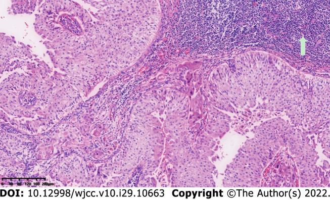
A 78-year-old man presented with the complaint of terminal painless gross hematuria for the past 2 mo. On physical examination, enlarged lymph nodes were palpable in the cervical and axillary regions. The patient's peripheral blood film was normal. He had a significant smoking history for the past 50 years. Cystoscopy revealed bleeding in the left upper urinary tract. Abdominal computed tomography imaging demonstrated a left renal pelvis tumor. The patient underwent laparoscopic radical nephroureterectomy. Histopathology revealed left renal pelvis high-grade invasive papillary UC and SLL involving the kidney and bone marrow. Renal pelvis lymphatic tissue and lymphocytes were positive for CD5, CD20, and CD23. In addition, the following results were obtained: CD3 (-), Ki-67 (30%+), Bcl-2 (+), Bcl-6 (+), CD10 (-), and CD79a (+). Moreover, no UC metastasis was observed in the lymph nodes.

CONCLUSION

This is the first case of coincident CLL/SLL and upper tract UC in the literature. Cancer patients with lymphadenopathies should always be investigated to rule out the possibility of synchronous or metachronous malignancy.

摘要

背景

慢性淋巴细胞白血病/小淋巴细胞淋巴瘤(CLL/SLL)常与随后发生上皮和间叶来源肿瘤的风险增加相关。CLL/SLL与尿路上皮癌(UC)同时发生的情况非常罕见。在此,我们报告一例SLL合并肾盂癌的病例。

病例摘要

一名78岁男性,因过去2个月出现终末期无痛肉眼血尿前来就诊。体格检查发现颈部和腋窝区域可触及肿大淋巴结。患者外周血涂片正常。他有50年的大量吸烟史。膀胱镜检查显示左上部尿路出血。腹部计算机断层扫描成像显示左肾盂肿瘤。患者接受了腹腔镜根治性肾输尿管切除术。组织病理学显示左肾盂高级别浸润性乳头状UC以及累及肾脏和骨髓的SLL。肾盂淋巴组织和淋巴细胞CD5、CD20和CD23呈阳性。此外,还获得以下结果:CD3(-)、Ki-67(30%+)、Bcl-2(+)、Bcl-6(+)、CD10(-)和CD79a(+)。而且,在淋巴结中未观察到UC转移。

结论

这是文献中首例CLL/SLL与上尿路UC同时发生的病例。对于有淋巴结病的癌症患者,应始终进行检查以排除同步或异时性恶性肿瘤的可能性。

https://cdn.ncbi.nlm.nih.gov/pmc/blobs/5975/9602217/e5e338ae6c64/WJCC-10-10663-g001.jpg

文献检索

告别复杂PubMed语法,用中文像聊天一样搜索,搜遍4000万医学文献。AI智能推荐,让科研检索更轻松。

立即免费搜索

文件翻译

保留排版,准确专业,支持PDF/Word/PPT等文件格式,支持 12+语言互译。

免费翻译文档

深度研究

AI帮你快速写综述,25分钟生成高质量综述,智能提取关键信息,辅助科研写作。

立即免费体验