• 文献检索
  • 文档翻译
  • 深度研究
  • 学术资讯
  • Suppr Zotero 插件Zotero 插件
  • 邀请有礼
  • 套餐&价格
  • 历史记录
应用&插件
Suppr Zotero 插件Zotero 插件浏览器插件Mac 客户端Windows 客户端微信小程序
定价
高级版会员购买积分包购买API积分包
服务
文献检索文档翻译深度研究API 文档MCP 服务
关于我们
关于 Suppr公司介绍联系我们用户协议隐私条款
关注我们

Suppr 超能文献

核心技术专利:CN118964589B侵权必究
粤ICP备2023148730 号-1Suppr @ 2026

文献检索

告别复杂PubMed语法,用中文像聊天一样搜索,搜遍4000万医学文献。AI智能推荐,让科研检索更轻松。

立即免费搜索

文件翻译

保留排版,准确专业,支持PDF/Word/PPT等文件格式,支持 12+语言互译。

免费翻译文档

深度研究

AI帮你快速写综述,25分钟生成高质量综述,智能提取关键信息,辅助科研写作。

立即免费体验

部分伸展的膜骨架中红细胞血影蛋白的结构

On the structure of erythrocyte spectrin in partially expanded membrane skeletons.

作者信息

McGough A M, Josephs R

机构信息

Department of Molecular Genetics and Cell Biology, University of Chicago, IL 60637.

出版信息

Proc Natl Acad Sci U S A. 1990 Jul;87(13):5208-12. doi: 10.1073/pnas.87.13.5208.

DOI:10.1073/pnas.87.13.5208
PMID:2367532
原文链接:https://pmc.ncbi.nlm.nih.gov/articles/PMC54291/
Abstract

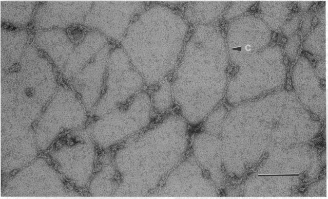
Spectrin is generally believed to play an important role in the erythrocyte membrane's ability to deform elastically. We have studied the structure of negatively stained spectrin in partially expanded membrane skeletons to determine how its molecular structure confers elastic properties on the cell membrane. Fourier analysis of electron micrographs of spectrin reveals that the alpha and beta subunits are twisted about a common axis, forming a two-start helix with twofold rotational symmetry. We propose that elastic deformation of the cell is mediated by transient extension of the helix by mechanical forces.

摘要

一般认为血影蛋白在红细胞膜弹性变形能力方面发挥着重要作用。我们研究了部分膨胀的膜骨架中经负染色的血影蛋白的结构,以确定其分子结构如何赋予细胞膜弹性特性。对血影蛋白电子显微照片的傅里叶分析表明,α亚基和β亚基围绕一个共同轴扭曲,形成具有双重旋转对称性的双股螺旋。我们提出细胞的弹性变形是由机械力使螺旋短暂伸展介导的。

https://cdn.ncbi.nlm.nih.gov/pmc/blobs/422f/54291/7a69069dd1e0/pnas01038-0326-a.jpg
https://cdn.ncbi.nlm.nih.gov/pmc/blobs/422f/54291/04d55fe01ab6/pnas01038-0324-a.jpg
https://cdn.ncbi.nlm.nih.gov/pmc/blobs/422f/54291/cc6f582644ea/pnas01038-0324-b.jpg
https://cdn.ncbi.nlm.nih.gov/pmc/blobs/422f/54291/1c8b5d58fbf9/pnas01038-0325-a.jpg
https://cdn.ncbi.nlm.nih.gov/pmc/blobs/422f/54291/44421638856f/pnas01038-0325-b.jpg
https://cdn.ncbi.nlm.nih.gov/pmc/blobs/422f/54291/7a69069dd1e0/pnas01038-0326-a.jpg
https://cdn.ncbi.nlm.nih.gov/pmc/blobs/422f/54291/04d55fe01ab6/pnas01038-0324-a.jpg
https://cdn.ncbi.nlm.nih.gov/pmc/blobs/422f/54291/cc6f582644ea/pnas01038-0324-b.jpg
https://cdn.ncbi.nlm.nih.gov/pmc/blobs/422f/54291/1c8b5d58fbf9/pnas01038-0325-a.jpg
https://cdn.ncbi.nlm.nih.gov/pmc/blobs/422f/54291/44421638856f/pnas01038-0325-b.jpg
https://cdn.ncbi.nlm.nih.gov/pmc/blobs/422f/54291/7a69069dd1e0/pnas01038-0326-a.jpg

相似文献

1
On the structure of erythrocyte spectrin in partially expanded membrane skeletons.部分伸展的膜骨架中红细胞血影蛋白的结构
Proc Natl Acad Sci U S A. 1990 Jul;87(13):5208-12. doi: 10.1073/pnas.87.13.5208.
2
The membrane skeleton of erythrocytes. A percolation model.红细胞的膜骨架。一种逾渗模型。
Biophys J. 1990 Jun;57(6):1167-77. doi: 10.1016/S0006-3495(90)82636-9.
3
The shape of spectrin molecules from human erythrocyte membranes.来自人红细胞膜的血影蛋白分子的形状。
Biochim Biophys Acta. 1978 Sep 26;536(1):313-7. doi: 10.1016/0005-2795(78)90079-x.
4
The spectrin-actin junction of erythrocyte membrane skeletons.红细胞膜骨架的血影蛋白-肌动蛋白连接
Biochim Biophys Acta. 1989 Jan 18;988(1):107-21. doi: 10.1016/0304-4157(89)90006-3.
5
Existence of a flat phase in red cell membrane skeletons.红细胞膜骨架中扁平相的存在。
Science. 1993 Feb 12;259(5097):952-5. doi: 10.1126/science.8438153.
6
Spectrin oligomerization is cooperatively coupled to membrane assembly: a linkage targeted by many hereditary hemolytic anemias?血影蛋白寡聚化与膜组装协同偶联:这是许多遗传性溶血性贫血所针对的一种联系吗?
Exp Mol Pathol. 2001 Jun;70(3):215-30. doi: 10.1006/exmp.2001.2377.
7
Spectrin cagliari. an Ala-->Gly substitution in helix 1 of beta spectrin repeat 17 that severely disrupts the structure and self-association of the erythrocyte spectrin heterodimer.血影蛋白卡利亚里型。β血影蛋白重复序列17的螺旋1中发生丙氨酸到甘氨酸的替换,这严重破坏了红细胞血影蛋白异二聚体的结构和自我缔合。
J Biol Chem. 1993 Oct 25;268(30):22656-62.
8
Hemin-mediated dissociation of erythrocyte membrane skeletal proteins.
J Biol Chem. 1985 Oct 5;260(22):12234-9.
9
Intertwined αβ spectrin meeting helical actin protofilament in the erythrocyte membrane skeleton: wrap-around vs. point-attachment.红细胞膜骨架中交错的αβ spectrin 与螺旋状肌动蛋白原纤维的相互作用:环绕式 vs. 点连接。
Ann Biomed Eng. 2011 Jul;39(7):1984-93. doi: 10.1007/s10439-011-0293-6. Epub 2011 Mar 17.
10
Spectrin folding versus unfolding reactions and RBC membrane stiffness.血影蛋白折叠与解折叠反应及红细胞膜硬度
Biophys J. 2008 Apr 1;94(7):2529-45. doi: 10.1529/biophysj.107.119438. Epub 2007 Dec 7.

引用本文的文献

1
Mechanical characterization of spectrin at the molecular level.在分子水平上对血影蛋白进行力学特性分析。
Sci Rep. 2024 Jul 18;14(1):16631. doi: 10.1038/s41598-024-67500-0.
2
The RoxyScan is a novel measurement of red blood cell deformability under oxidative and shear stress.罗氏扫描是一种新型的红细胞在氧化和切变应力下变形能力的测量方法。
Sci Rep. 2024 Mar 15;14(1):6344. doi: 10.1038/s41598-024-56814-8.
3
Effective cell membrane tension protects red blood cells against malaria invasion.有效的细胞膜张力可保护红细胞免受疟疾侵袭。

本文引用的文献

1
The preparation and chemical characteristics of hemoglobin-free ghosts of human erythrocytes.人红细胞无血红蛋白空泡的制备及其化学特性
Arch Biochem Biophys. 1963 Jan;100:119-30. doi: 10.1016/0003-9861(63)90042-0.
2
Erythrocyte spectrin is comprised of many homologous triple helical segments.红细胞血影蛋白由许多同源的三螺旋片段组成。
Nature. 1984;311(5982):177-80. doi: 10.1038/311177a0.
3
Ultrastructure of unit fragments of the skeleton of the human erythrocyte membrane.人类红细胞膜骨架单位片段的超微结构
PLoS Comput Biol. 2023 Dec 4;19(12):e1011694. doi: 10.1371/journal.pcbi.1011694. eCollection 2023 Dec.
4
Reticulocyte Maturation.网织红细胞成熟
Membranes (Basel). 2022 Mar 10;12(3):311. doi: 10.3390/membranes12030311.
5
Nanoscale dynamics of actin filaments in the red blood cell membrane skeleton.红细胞膜骨架中肌动蛋白丝的纳米级动力学。
Mol Biol Cell. 2022 Mar 1;33(3):ar28. doi: 10.1091/mbc.E21-03-0107. Epub 2022 Jan 12.
6
Constitutive Model of Erythrocyte Membranes with Distributions of Spectrin Orientations and Lengths.具有血影蛋白取向和长度分布的红细胞膜本构模型。
Biophys J. 2020 Dec 1;119(11):2190-2204. doi: 10.1016/j.bpj.2020.10.025. Epub 2020 Oct 30.
7
On the Effects of Reactive Oxygen Species and Nitric Oxide on Red Blood Cell Deformability.活性氧和一氧化氮对红细胞变形性的影响
Front Physiol. 2018 May 11;9:332. doi: 10.3389/fphys.2018.00332. eCollection 2018.
8
Feisty filaments: actin dynamics in the red blood cell membrane skeleton.活跃的细丝:红细胞膜骨架中的肌动蛋白动力学
Curr Opin Hematol. 2016 May;23(3):206-14. doi: 10.1097/MOH.0000000000000227.
9
The Physiological Molecular Shape of Spectrin: A Compact Supercoil Resembling a Chinese Finger Trap.血影蛋白的生理分子形状:一种类似中国指套的紧密超螺旋结构。
PLoS Comput Biol. 2015 Jun 11;11(6):e1004302. doi: 10.1371/journal.pcbi.1004302. eCollection 2015 Jun.
10
Life cycle-dependent cytoskeletal modifications in Plasmodium falciparum infected erythrocytes.疟原虫感染红细胞中依赖生命周期的细胞骨架修饰。
PLoS One. 2013 Apr 9;8(4):e61170. doi: 10.1371/journal.pone.0061170. Print 2013.
J Cell Biol. 1984 Sep;99(3):810-21. doi: 10.1083/jcb.99.3.810.
4
Structure of the sheath of bacteriophage T4. I. Structure of the contracted sheath and polysheath.噬菌体T4鞘的结构。I. 收缩鞘和多鞘的结构。
J Mol Biol. 1967 Apr 28;25(2):167-200. doi: 10.1016/0022-2836(67)90136-2.
5
Reconstruction of three-dimensional images from electron micrographs of structures with helical symmetry.从具有螺旋对称结构的电子显微照片重建三维图像。
J Mol Biol. 1970 Sep 14;52(2):355-69. doi: 10.1016/0022-2836(70)90036-7.
6
The organization of proteins in the human red blood cell membrane. A review.人类红细胞膜中蛋白质的组织。综述。
J Cell Biol. 1974 Jul;62(1):1-19. doi: 10.1083/jcb.62.1.1.
7
Optical filtering of electron micrographs: reconstruction of one-sided images.电子显微镜照片的光学滤波:单侧图像重建
Nature. 1966 Oct 1;212(5057):29-32. doi: 10.1038/212029a0.
8
An examination of the soluble oligomeric complexes extracted from the red cell membrane and their relation to the membrane cytoskeleton.对从红细胞膜中提取的可溶性寡聚复合物及其与膜细胞骨架的关系进行的一项研究。
Eur J Cell Biol. 1985 Mar;36(2):299-306.
9
Human erythrocyte spectrin dimer intrinsic viscosity: temperature dependence and implications for the molecular basis of the erythrocyte membrane free energy.人红细胞血影蛋白二聚体的特性粘度:温度依赖性及其对红细胞膜自由能分子基础的影响
Biochim Biophys Acta. 1985 Jun 11;816(1):102-10. doi: 10.1016/0005-2736(85)90398-0.
10
Stabilizing infrastructure of cell membranes.稳定细胞膜的基础结构。
Annu Rev Cell Biol. 1985;1:531-61. doi: 10.1146/annurev.cb.01.110185.002531.