• 文献检索
  • 文档翻译
  • 深度研究
  • 学术资讯
  • Suppr Zotero 插件Zotero 插件
  • 邀请有礼
  • 套餐&价格
  • 历史记录
应用&插件
Suppr Zotero 插件Zotero 插件浏览器插件Mac 客户端Windows 客户端微信小程序
定价
高级版会员购买积分包购买API积分包
服务
文献检索文档翻译深度研究API 文档MCP 服务
关于我们
关于 Suppr公司介绍联系我们用户协议隐私条款
关注我们

Suppr 超能文献

核心技术专利:CN118964589B侵权必究
粤ICP备2023148730 号-1Suppr @ 2026

文献检索

告别复杂PubMed语法,用中文像聊天一样搜索,搜遍4000万医学文献。AI智能推荐,让科研检索更轻松。

立即免费搜索

文件翻译

保留排版,准确专业,支持PDF/Word/PPT等文件格式,支持 12+语言互译。

免费翻译文档

深度研究

AI帮你快速写综述,25分钟生成高质量综述,智能提取关键信息,辅助科研写作。

立即免费体验

脾脏在形状、大小和位置上的异常:图文综述

Splenic anomalies of shape, size, and location: pictorial essay.

作者信息

Yildiz Adalet Elcin, Ariyurek Macit Orhan, Karcaaltincaba Musturay

机构信息

Department of Radiology, Faculty of Medicine, Hacettepe University, 06100 Ankara, Turkey.

出版信息

ScientificWorldJournal. 2013 Apr 21;2013:321810. doi: 10.1155/2013/321810. Print 2013.

DOI:10.1155/2013/321810
PMID:23710135
原文链接:https://pmc.ncbi.nlm.nih.gov/articles/PMC3654276/
Abstract

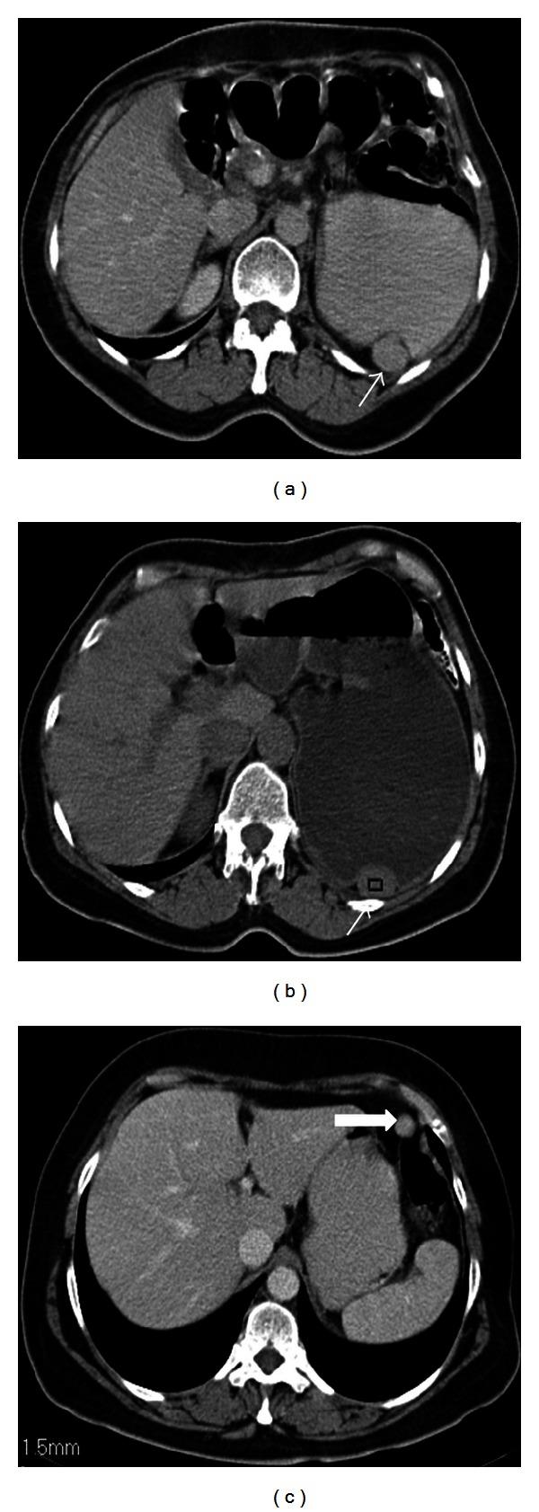
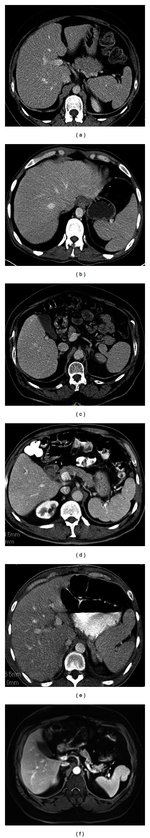
Spleen can have a wide range of anomalies including its shape, location, number, and size. Although most of these anomalies are congenital, there are also acquired types. Congenital anomalies affecting the shape of spleen are lobulations, notches, and clefts; the fusion and location anomalies of spleen are accessory spleen, splenopancreatic fusion, and wandering spleen; polysplenia can be associated with a syndrome. Splenosis and small spleen are acquired anomalies which are caused by trauma and sickle cell disease, respectively. These anomalies can be detected easily by using different imaging modalities including ultrasonography, computed tomography, magnetic resonance imaging, and also Tc-99m scintigraphy. In this pictorial essay, we review the imaging findings of these anomalies which can cause diagnostic pitfalls and be interpreted as pathologic processes.

摘要

脾脏可出现多种异常,包括其形状、位置、数量和大小。虽然这些异常大多是先天性的,但也有后天性类型。影响脾脏形状的先天性异常有分叶、切迹和裂隙;脾脏的融合和位置异常有副脾、脾胰融合和游走脾;多脾可与一种综合征相关。脾组织植入和小脾脏是分别由创伤和镰状细胞病引起的后天性异常。通过使用不同的成像方式,包括超声、计算机断层扫描、磁共振成像以及锝-99m闪烁扫描,这些异常很容易被检测到。在这篇图文文章中,我们回顾了这些异常的影像学表现,它们可能导致诊断陷阱,并被解释为病理过程。

https://cdn.ncbi.nlm.nih.gov/pmc/blobs/0bba/3654276/55d7f7e15470/TSWJ2013-321810.005.jpg
https://cdn.ncbi.nlm.nih.gov/pmc/blobs/0bba/3654276/fd473f84cfbb/TSWJ2013-321810.001.jpg
https://cdn.ncbi.nlm.nih.gov/pmc/blobs/0bba/3654276/b0b5323f331a/TSWJ2013-321810.002.jpg
https://cdn.ncbi.nlm.nih.gov/pmc/blobs/0bba/3654276/683b5b9b71d9/TSWJ2013-321810.004.jpg
https://cdn.ncbi.nlm.nih.gov/pmc/blobs/0bba/3654276/55d7f7e15470/TSWJ2013-321810.005.jpg
https://cdn.ncbi.nlm.nih.gov/pmc/blobs/0bba/3654276/fd473f84cfbb/TSWJ2013-321810.001.jpg
https://cdn.ncbi.nlm.nih.gov/pmc/blobs/0bba/3654276/b0b5323f331a/TSWJ2013-321810.002.jpg
https://cdn.ncbi.nlm.nih.gov/pmc/blobs/0bba/3654276/683b5b9b71d9/TSWJ2013-321810.004.jpg
https://cdn.ncbi.nlm.nih.gov/pmc/blobs/0bba/3654276/55d7f7e15470/TSWJ2013-321810.005.jpg

相似文献

1
Splenic anomalies of shape, size, and location: pictorial essay.脾脏在形状、大小和位置上的异常:图文综述
ScientificWorldJournal. 2013 Apr 21;2013:321810. doi: 10.1155/2013/321810. Print 2013.
2
Diagnostic imaging of abnormalities in the number and location of the spleen.脾脏数量及位置异常的诊断性影像学检查。
Radiologia (Engl Ed). 2019 Jan-Feb;61(1):26-34. doi: 10.1016/j.rx.2018.07.002. Epub 2018 Aug 4.
3
CT findings in congenital anomalies of the spleen.脾脏先天性异常的CT表现。
Br J Radiol. 2001 Aug;74(884):767-72. doi: 10.1259/bjr.74.884.740767.
4
A pattern-oriented approach to splenic imaging in infants and children.一种针对婴幼儿脾脏成像的面向模式的方法。
Radiographics. 1999 Nov-Dec;19(6):1465-85. doi: 10.1148/radiographics.19.6.g99no231465.
5
Imaging of the spleen: what the clinician needs to know.脾脏的影像学检查:临床医生需要了解的内容。
Singapore Med J. 2015 Mar;56(3):133-44. doi: 10.11622/smedj.2015040.
6
Intrathoracic splenosis: evaluation by superparamagnetic iron oxide-enhanced magnetic resonance imaging and radionuclide scintigraphy.胸腔内脾组织转移:超顺磁性氧化铁增强磁共振成像与放射性核素闪烁扫描评估。
Jpn J Radiol. 2009 Nov;27(9):371-4. doi: 10.1007/s11604-009-0350-3. Epub 2009 Nov 27.
7
Various congenital anomalies and anatomical variations of the spleen: a multimodality pictorial review.脾脏的各种先天性异常和解剖变异:多模态影像学综述
Abdom Radiol (NY). 2023 Apr;48(4):1505-1513. doi: 10.1007/s00261-023-03826-z. Epub 2023 Feb 15.
8
[CT anatomy of the normal spleen: variants and pitfalls].
J Radiol. 2007 Apr;88(4):549-58. doi: 10.1016/s0221-0363(07)89854-4.
9
Congenital anomalies of the spleen.脾脏先天性异常。
Semin Ultrasound CT MR. 2006 Oct;27(5):358-69. doi: 10.1053/j.sult.2006.06.002.
10
Gallbladder splenosis: a hereto unreported mimicker of a gallbladder neoplasm.胆囊脾组织异位:一种此前未报道过的胆囊肿瘤模仿者。
Clin Imaging. 2015 Mar-Apr;39(2):318-20. doi: 10.1016/j.clinimag.2014.10.018. Epub 2014 Nov 5.

引用本文的文献

1
Wandering Spleen Complicated by Thrombocytopenia, Acute Appendicitis, and Sepsis: A Case Report and Literature Review.游走脾合并血小板减少症、急性阑尾炎和脓毒症:一例报告及文献综述
Reports (MDPI). 2024 Sep 2;7(3):73. doi: 10.3390/reports7030073.
2
Wandering Accessory Spleen and Its Implications for Modern Clinical Practice.游走性副脾及其对现代临床实践的影响。
J Clin Med. 2025 Jun 1;14(11):3901. doi: 10.3390/jcm14113901.
3
A case of conservatively managed pelvic wandering spleen clinically mimicking uterine mass: A case report and literature review.

本文引用的文献

1
Abdominal multiple splenosis mimicking liver and colon tumors: a case report and review of the literature.腹部多发脾结节样转移酷似肝脏及结肠肿瘤:1 例病例报告并文献复习。
Int J Med Sci. 2012;9(2):174-7. doi: 10.7150/ijms.3983. Epub 2012 Jan 26.
2
Accessory hepatic lobe.副肝叶
Surg Radiol Anat. 2011 Nov;33(9):819-22. doi: 10.1007/s00276-011-0818-6. Epub 2011 May 5.
3
Thoracic splenosis: a case report and the importance of clinical history.胸腔脾组织植入:一例报告及临床病史的重要性。
1例保守治疗的盆腔游走脾临床误诊为子宫肿物:病例报告及文献复习
Radiol Case Rep. 2025 May 15;20(8):3765-3769. doi: 10.1016/j.radcr.2025.04.097. eCollection 2025 Aug.
4
Concurrent Persistent Truncus Arteriosus and Left Atrial Diverticulum in a Domestic Short-Haired Cat.一只家养短毛猫同时患有永存动脉干和左心房憩室
Animals (Basel). 2025 Mar 20;15(6):899. doi: 10.3390/ani15060899.
5
Accessory splenic infarction presenting as acute abdominal pain: A case report.以急性腹痛为表现的副脾梗死:一例报告
Int J Surg Case Rep. 2025 Feb;127:110852. doi: 10.1016/j.ijscr.2025.110852. Epub 2025 Jan 6.
6
Unveiling three accessory spleens in one patient: a rare case report and literature review.一名患者发现三个副脾:罕见病例报告及文献综述
Int J Emerg Med. 2024 Nov 12;17(1):175. doi: 10.1186/s12245-024-00758-3.
7
Computed tomography features and surgical treatment of wandering spleen torsion: A case report.游走脾扭转的计算机断层扫描特征及手术治疗:一例报告
Radiol Case Rep. 2024 Sep 24;19(12):6213-6216. doi: 10.1016/j.radcr.2024.08.146. eCollection 2024 Dec.
8
Spleen anomalies and lesions in CT and MRI: essentials for radiologists and clinicians-a pictorial review.CT和MRI检查中的脾脏异常与病变:放射科医生和临床医生必备知识——图文综述
Abdom Radiol (NY). 2025 Feb;50(2):860-874. doi: 10.1007/s00261-024-04405-6. Epub 2024 Aug 28.
9
Atypically located accessory splenic hemangiosarcoma in a Dog: Diagnostic value of triple-phase computed tomography.犬脾脏非典型部位副脾血管肉瘤:三期 CT 扫描的诊断价值。
Vet Med Sci. 2024 May;10(3):e1431. doi: 10.1002/vms3.1431.
10
Intrapancreatic accessory spleens in African swine fever infection of wild boar ().野猪非洲猪瘟感染中的胰腺内副脾()。
Front Vet Sci. 2023 Dec 12;10:1306320. doi: 10.3389/fvets.2023.1306320. eCollection 2023.
J Korean Med Sci. 2010 Feb;25(2):299-303. doi: 10.3346/jkms.2010.25.2.299. Epub 2010 Jan 19.
4
CT and MRI of intraperitoneal splenosis.腹腔内脾组织植入的 CT 和 MRI 表现。
Diagn Interv Radiol. 2010 Jun;16(2):145-9. doi: 10.4261/1305-3825.DIR.1855-08.1. Epub 2009 Oct 19.
5
Accessory spleen torsion: rare cause of acute abdomen in children and review of literature.副脾扭转:儿童急腹症的罕见病因及文献综述
J Pediatr Surg. 2009 Sep;44(9):e15-8. doi: 10.1016/j.jpedsurg.2009.06.029.
6
Multidetector computed tomography diagnosis of fusion of pancreas and spleen confirmed by magnetic resonance imaging.
J Comput Assist Tomogr. 2009 Mar-Apr;33(2):291-2. doi: 10.1097/RCT.0b013e31817d74f7.
7
Accessory hepatic lobe mimicking an intra-abdominal tumor.副肝叶酷似腹内肿瘤。
J Comput Assist Tomogr. 2007 Jul-Aug;31(4):572-3. doi: 10.1097/01.rct.0000250107.78176.de.
8
The wandering spleen: CT findings and possible pitfalls in diagnosis.游走脾:CT表现及诊断中可能存在的陷阱
Clin Radiol. 2006 Nov;61(11):954-8. doi: 10.1016/j.crad.2006.06.007.
9
MR imaging of the spleen: spectrum of abnormalities.脾脏的磁共振成像:异常表现谱
Radiographics. 2005 Jul-Aug;25(4):967-82. doi: 10.1148/rg.254045154.
10
CT features of the accessory spleen.副脾的CT特征。
AJR Am J Roentgenol. 2004 Dec;183(6):1653-7. doi: 10.2214/ajr.183.6.01831653.