• 文献检索
  • 文档翻译
  • 深度研究
  • 学术资讯
  • Suppr Zotero 插件Zotero 插件
  • 邀请有礼
  • 套餐&价格
  • 历史记录
应用&插件
Suppr Zotero 插件Zotero 插件浏览器插件Mac 客户端Windows 客户端微信小程序
定价
高级版会员购买积分包购买API积分包
服务
文献检索文档翻译深度研究API 文档MCP 服务
关于我们
关于 Suppr公司介绍联系我们用户协议隐私条款
关注我们

Suppr 超能文献

核心技术专利:CN118964589B侵权必究
粤ICP备2023148730 号-1Suppr @ 2026

文献检索

告别复杂PubMed语法,用中文像聊天一样搜索,搜遍4000万医学文献。AI智能推荐,让科研检索更轻松。

立即免费搜索

文件翻译

保留排版,准确专业,支持PDF/Word/PPT等文件格式,支持 12+语言互译。

免费翻译文档

深度研究

AI帮你快速写综述,25分钟生成高质量综述,智能提取关键信息,辅助科研写作。

立即免费体验

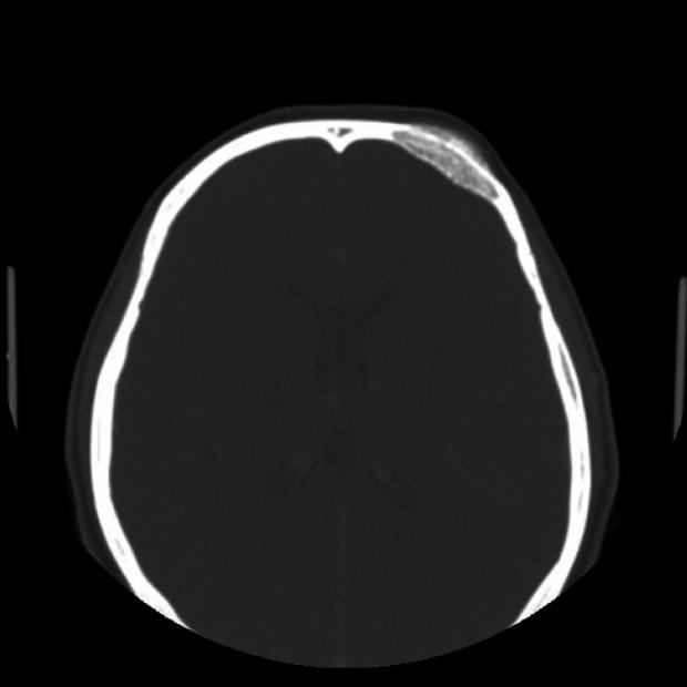
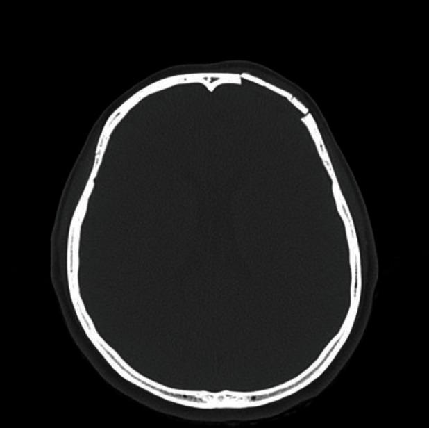
Primary intraosseous hemangioma in the frontal bone.

作者信息

Park Byung Ho, Hwang Euna, Kim Chung Hun

机构信息

Department of Plastic and Reconstructive Surgery, CHA Bundang Medical Center, CHA University, Seongnam, Korea.

出版信息

Arch Plast Surg. 2013 May;40(3):283-5. doi: 10.5999/aps.2013.40.3.283. Epub 2013 May 16.

DOI:10.5999/aps.2013.40.3.283
PMID:23730614
原文链接:https://pmc.ncbi.nlm.nih.gov/articles/PMC3665882/
Abstract
摘要
https://cdn.ncbi.nlm.nih.gov/pmc/blobs/ecf6/3665882/fb9c6f0d8018/aps-40-283-g005.jpg
https://cdn.ncbi.nlm.nih.gov/pmc/blobs/ecf6/3665882/42175935bfa0/aps-40-283-g001.jpg
https://cdn.ncbi.nlm.nih.gov/pmc/blobs/ecf6/3665882/81fe962da99c/aps-40-283-g002.jpg
https://cdn.ncbi.nlm.nih.gov/pmc/blobs/ecf6/3665882/d706e75be600/aps-40-283-g003.jpg
https://cdn.ncbi.nlm.nih.gov/pmc/blobs/ecf6/3665882/87cb906d84a7/aps-40-283-g004.jpg
https://cdn.ncbi.nlm.nih.gov/pmc/blobs/ecf6/3665882/fb9c6f0d8018/aps-40-283-g005.jpg
https://cdn.ncbi.nlm.nih.gov/pmc/blobs/ecf6/3665882/42175935bfa0/aps-40-283-g001.jpg
https://cdn.ncbi.nlm.nih.gov/pmc/blobs/ecf6/3665882/81fe962da99c/aps-40-283-g002.jpg
https://cdn.ncbi.nlm.nih.gov/pmc/blobs/ecf6/3665882/d706e75be600/aps-40-283-g003.jpg
https://cdn.ncbi.nlm.nih.gov/pmc/blobs/ecf6/3665882/87cb906d84a7/aps-40-283-g004.jpg
https://cdn.ncbi.nlm.nih.gov/pmc/blobs/ecf6/3665882/fb9c6f0d8018/aps-40-283-g005.jpg

相似文献

1
Primary intraosseous hemangioma in the frontal bone.额骨原发性骨内血管瘤
Arch Plast Surg. 2013 May;40(3):283-5. doi: 10.5999/aps.2013.40.3.283. Epub 2013 May 16.
2
Intraosseous cavernous hemangioma of the frontal bone.额骨骨内海绵状血管瘤
Neurol Med Chir (Tokyo). 2007 Nov;47(11):506-8. doi: 10.2176/nmc.47.506.
3
Intraosseous hemangioma of the lateral orbital wall.眶外侧壁骨内血管瘤
Ophthalmic Plast Reconstr Surg. 2004 Jan;20(1):27-30. doi: 10.1097/01.IOP.0000105565.82438.67.
4
Intraosseous capillary hemangioma of the frontal bone.
Am J Ophthalmol. 1987 Jun 15;103(6):824-7. doi: 10.1016/s0002-9394(14)74401-0.
5
[An intraosseous hemangioma in the perpendicular lamina of the ethmoid bone].[筛骨垂直板内的骨内血管瘤]
HNO. 2003 Feb;51(2):142-5. doi: 10.1007/s00106-002-0678-9.
6
Frontal intraosseous cryptic hemangioma presenting with supraorbital neuralgia.以眶上神经痛为表现的额骨骨内隐匿性血管瘤
Clin Neurol Neurosurg. 1999 Sep;101(3):215-9. doi: 10.1016/s0303-8467(99)00047-5.
7
Intraosseous Hemangioma of the Frontal Bone. Report of a Case and Review of the Literature.额骨骨内血管瘤。1例报告并文献复习
J Oral Maxillofac Surg. 2018 Apr;76(4):799-805. doi: 10.1016/j.joms.2017.09.014. Epub 2017 Sep 23.
8
Frontal Bone Hemangioma in an 8-year-old Female: A Common Tumor in a Rare Location.一名8岁女性的额骨血管瘤:罕见部位的常见肿瘤
J Neurosci Rural Pract. 2016 Dec;7(Suppl 1):S91-S93. doi: 10.4103/0976-3147.196455.
9
Intraosseous frontal hemangioma.
Head Neck. 1990 Mar-Apr;12(2):160-3. doi: 10.1002/hed.2880120212.
10
Intraosseous Hemangioma in the Humerus Diaphysis in an Eight-Year-Old Girl.一名8岁女孩肱骨干的骨内血管瘤
Cureus. 2021 Aug 23;13(8):e17375. doi: 10.7759/cureus.17375. eCollection 2021 Aug.

引用本文的文献

1
Surgical Navigation and CAD-CAM-Designed PEEK Prosthesis for the Surgical Treatment of Facial Intraosseous Vascular Anomalies.用于面部骨内血管畸形手术治疗的手术导航与计算机辅助设计和制造(CAD-CAM)设计的聚醚醚酮(PEEK)假体
J Clin Med. 2024 Aug 6;13(16):4602. doi: 10.3390/jcm13164602.
2
Anesthetic Management and Considerations in a Rare Case of Parietal Bone Hemangioma.一例罕见顶骨血管瘤病例的麻醉管理与注意事项
Cureus. 2024 May 11;16(5):e60098. doi: 10.7759/cureus.60098. eCollection 2024 May.
3
Calvarial hemangiomas: Series of 6 cases and review of literature.

本文引用的文献

1
Intraosseous hemangiomas of the facial bone.面骨骨内血管瘤
Plast Reconstr Surg. 2006 Jun;117(7):2366-72. doi: 10.1097/01.prs.0000218818.16811.9b.
2
Primary Intraosseous Skull Base Cavernous Hemangioma: Case Report.原发性骨内颅底海绵状血管瘤:病例报告
Skull Base. 2003 Nov;13(4):219-228. doi: 10.1055/s-2004-817698.
3
Cavernomas of the skull: review of the literature 1975-2000.颅骨海绵状血管瘤:1975 - 2000年文献综述
颅骨血管瘤:6例病例系列及文献复习
World Neurosurg X. 2024 Mar 8;23:100297. doi: 10.1016/j.wnsx.2024.100297. eCollection 2024 Jul.
4
Intraosseous vascular malformation of the skull: a case report and literature review.颅骨骨内血管畸形:一例报告及文献复习
Arch Craniofac Surg. 2024 Aug;25(4):187-191. doi: 10.7181/acfs.2023.00584. Epub 2024 Mar 6.
5
False-positive Imaging for Papillary Thyroid Cancer Caused by Intraosseous Hemangiomas.骨内血管瘤导致的甲状腺乳头状癌假阳性影像学表现
JCEM Case Rep. 2023 Sep 27;1(5):luad102. doi: 10.1210/jcemcr/luad102. eCollection 2023 Sep.
6
Update of pediatric bone tumors-notochordal tumors, chondrogenic tumors, and vascular tumors of the bone.小儿骨肿瘤更新——脊索瘤、软骨源性肿瘤和骨的血管肿瘤。
Skeletal Radiol. 2023 Jun;52(6):1101-1117. doi: 10.1007/s00256-022-04235-x. Epub 2022 Nov 11.
7
Concomitant giant purely intradiploic cavernous haemangioma and multifocal neurotoxoplasmosis.同时发生的巨大单纯颅板内海绵状血管瘤和多发性神经弓形虫病。
BMJ Case Rep. 2022 Nov 1;15(11):e252451. doi: 10.1136/bcr-2022-252451.
8
Surgical Management of a Massive Frontal Bone Hemangioma: Case Report.巨大额骨血管瘤的外科治疗:病例报告
J Neurol Surg Rep. 2022 Jul 10;83(3):e72-e76. doi: 10.1055/s-0042-1750366. eCollection 2022 Jul.
9
A practical overview of CT and MRI features of developmental, inflammatory, and neoplastic lesions of the sphenoid body and clivus.蝶鞍和斜坡发育性、炎症性和肿瘤性病变的 CT 和 MRI 特征的实用概述。
Neuroradiology. 2022 Aug;64(8):1483-1509. doi: 10.1007/s00234-022-02986-x. Epub 2022 Jun 3.
10
Displaced humeral pathological fracture secondary to intraosseous hemangioma.骨内血管瘤继发肱骨干病理性骨折移位
Radiol Case Rep. 2022 Mar 18;17(5):1609-1613. doi: 10.1016/j.radcr.2022.02.020. eCollection 2022 May.
Neurosurg Rev. 2002 Mar;25(1-2):56-62; discussion 66-7. doi: 10.1007/s101430100180.