Suppr超能文献

一种罕见的 T/NK 淋巴瘤,鼻型,主要发生于前列腺,伴有不常见的 CD30 阳性:病例报告及文献复习。

An extraordinary T/NK lymphoma, nasal type, occurring primarily in the prostate gland with unusual CD30 positivity: case report and review of the literature.

机构信息

Department of Urology, The Third Affiliated Hospital, Guangzhou Medical University, Guangzhou 510150, China.

出版信息

Diagn Pathol. 2013 Jun 17;8:94. doi: 10.1186/1746-1596-8-94.

Abstract

UNLABELLED

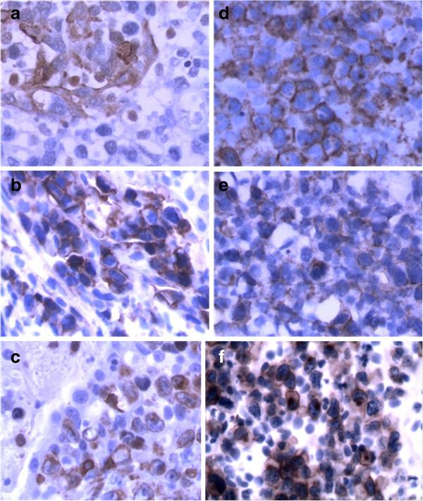
Extranodal NK/T cell lymphoma(NKTCL), nasal type, occurring primarily in the prostate gland, is extremely rare. We present a case of primarily prostatic NKTCL in a 59-year-old man suffering from dysuria. Histological examinations revealed that diffused, large-sized, pleomorphic lymphocytes were arranged in an angiocentric distribution with large areas of geographic necroses. Additionally, the prostatic glands were diffusely infiltrated by heteromorphous lymphocytes forming lymphoepithelial lesions. The tumor cells were strongly expressed CD3ϵ, CD56, TIA-1, granzyme B and EBV-encoded RNAs. And interestingly, the lymphoid cells were also strongly immunoreactive with CD30. A rearrangement study showed T-cell receptor γ-chain gene rearrangement with monoclonal appearance. Though postoperative combination of chemotherapy was given, the patient died four months later. Our observation and other literatures indicate that extremely rare NKTCLs unusually express CD30. TCR gene rearrangement existed in some NKTCL, suggesting that a subset of NKTCL may be a mixed NK/T-cell differentiation.

VIRTUAL SLIDES

The virtual slide(s) for this article can be found here: http://www.diagnosticpathology.diagnomx.eu/vs/9671878568932824.

摘要

未标记

发生于前列腺的结外 NK/T 细胞淋巴瘤(NKTCL),鼻型,极其罕见。我们报道 1 例 59 岁男性患者,以排尿困难为首发症状,发生于前列腺的原发性 NKTCL。组织学检查显示弥漫性、大细胞、多形性淋巴细胞呈血管中心性分布,伴有大片状地图样坏死。此外,前列腺腺体被异型淋巴细胞弥漫浸润,形成淋巴上皮病变。肿瘤细胞强表达 CD3ϵ、CD56、TIA-1、颗粒酶 B 和 EBV 编码的 RNA。有趣的是,这些淋巴细胞也强烈表达 CD30。T 细胞受体 γ 链基因重排在免疫组化上显示单克隆性重排。尽管术后给予联合化疗,但患者在 4 个月后死亡。我们的观察结果和其他文献表明,罕见的 NKTCL 异常表达 CD30。TCR 基因重排在某些 NKTCL 中存在,提示 NKTCL 的一个亚群可能是 NK/T 细胞混合分化。

https://cdn.ncbi.nlm.nih.gov/pmc/blobs/4f32/3707818/22737c7cb486/1746-1596-8-94-1.jpg

文献检索

告别复杂PubMed语法,用中文像聊天一样搜索,搜遍4000万医学文献。AI智能推荐,让科研检索更轻松。

立即免费搜索

文件翻译

保留排版,准确专业,支持PDF/Word/PPT等文件格式,支持 12+语言互译。

免费翻译文档

深度研究

AI帮你快速写综述,25分钟生成高质量综述,智能提取关键信息,辅助科研写作。

立即免费体验