Suppr超能文献

Squamous cell carcinoma of the bladder in a female associated with multiple bladder stones.

作者信息

Cho Jae Hyung, Holley Jean L

机构信息

College of Medicine, University of Illinois at Urbana-Champaign, Urbana, IL, USA.

出版信息

BMC Res Notes. 2013 Sep 4;6:354. doi: 10.1186/1756-0500-6-354.

Abstract

BACKGROUND

Bladder cancer is the most common malignancy in the urinary tract. Urothelial carcinoma is the most common histologic type of bladder cancer in the United States, accounting for approximately 90%. Squamous cell carcinoma is less common, making up 3-5% of bladder cancers. We present a case of squamous cell carcinoma in a female associated with multiple bladder stones.

CASE PRESENTATION

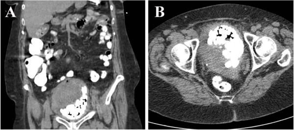
A 76-year-old Caucasian woman presented to the emergency department with gross hematuria and dysuria for one month. Urinalysis showed many RBCs and WBCs with positive nitrite. She was admitted with an initial impression of urinary tract infection and intravenous ceftriaxone was started. Urine culture grew greater than 100,000 cfu/ml of Enterococcus species. Computed tomographic imaging of the abdomen/pelvis with oral contrast revealed a markedly distended bladder with hemorrhage, multiple calculi, and diffuse bladder wall thickening. Cystoscopy was performed for diffuse bladder wall thickening and demonstrated numerous bladder stones, a bladder mass, and organized blood clots. Biopsy of the mass was consistent with high-grade carcinoma with squamous differentiation. The bladder cancer was not surgically resectable and radical cystectomy was not recommended due to old age and poor functional status. The patient refused chemotherapy and she died in 6 months.

CONCLUSIONS

The association between foreign bodies in the bladder and sqaumous cell carcinoma is well established. Long-standing bladder stones have been implicated as a cause of squamous cell carcinoma of the bladder. Our female patient's unusual presentation with multiple bladder stones and sqaumous cell carcinoma of the bladder highlights the association between these two conditions.

摘要
https://cdn.ncbi.nlm.nih.gov/pmc/blobs/44a8/3848612/9ba50721d497/1756-0500-6-354-1.jpg

相似文献

1
Squamous cell carcinoma of the bladder in a female associated with multiple bladder stones.
BMC Res Notes. 2013 Sep 4;6:354. doi: 10.1186/1756-0500-6-354.
6
7
Vesicoenteric fistula due to bladder squamous cell carcinoma.
Korean J Urol. 2014 Jul;55(7):496-8. doi: 10.4111/kju.2014.55.7.496. Epub 2014 Jul 11.
8
Leukoplakia of the bladder: an 8-year follow-up.
J Urol. 1974 Nov;112(5):600-2. doi: 10.1016/s0022-5347(17)59805-5.
9
Cytologic features of primary signet ring cell carcinoma of the bladder: a case report.
Acta Cytol. 2009 May-Jun;53(3):309-12. doi: 10.1159/000325314.

引用本文的文献

1
Delayed diagnosis of bladder squamous cell carcinoma secondary to massive bladder stone.
J Surg Case Rep. 2025 Aug 29;2025(8):rjaf682. doi: 10.1093/jscr/rjaf682. eCollection 2025 Aug.
2
Frequency and Characterization of Rare Histologic Subtypes in Canine Invasive Urothelial Carcinoma.
bioRxiv. 2025 May 14:2025.05.13.651218. doi: 10.1101/2025.05.13.651218.
3
Urothelial carcinoma of the urinary bladder related to a migrated mesh after inguinal hernioplasty: A case report.
IJU Case Rep. 2019 Jun 3;2(4):222-224. doi: 10.1002/iju5.12091. eCollection 2019 Jul.
4
Inflammatory microenvironment in the initiation and progression of bladder cancer.
Oncotarget. 2017 Oct 6;8(54):93279-93294. doi: 10.18632/oncotarget.21565. eCollection 2017 Nov 3.
5
Risk factors for development of primary bladder squamous cell carcinoma.
Ann R Coll Surg Engl. 2017 Feb;99(2):155-160. doi: 10.1308/rcsann.2016.0343. Epub 2016 Nov 21.
6
Incidence of renal carcinoma in non-functioning kidney due to renal pelvic stone disease.
Mol Clin Oncol. 2015 Jul;3(4):941-943. doi: 10.3892/mco.2015.550. Epub 2015 Apr 24.

本文引用的文献

1
Global cancer statistics.
CA Cancer J Clin. 2011 Mar-Apr;61(2):69-90. doi: 10.3322/caac.20107. Epub 2011 Feb 4.
3
Chronic inflammation and bladder cancer.
Urol Oncol. 2007 May-Jun;25(3):260-8. doi: 10.1016/j.urolonc.2006.10.002.
4
Malignant non-urothelial neoplasms of the urinary bladder: a review.
Eur Urol. 2003 Dec;44(6):672-81. doi: 10.1016/s0302-2838(03)00416-0.
7
Urinary tract infection and risk of bladder cancer.
Am J Epidemiol. 1984 Apr;119(4):510-5. doi: 10.1093/oxfordjournals.aje.a113768.
9
Postprostatectomy lithiasis.
Urol Int. 1991;46(2):221-31. doi: 10.1159/000282140.
10
Urinary infection, renal lithiasis and bladder cancer in Spain.
Eur J Cancer. 1991;27(4):498-500. doi: 10.1016/0277-5379(91)90395-t.

文献AI研究员

20分钟写一篇综述,助力文献阅读效率提升50倍。

立即体验

用中文搜PubMed

大模型驱动的PubMed中文搜索引擎

马上搜索

文档翻译

学术文献翻译模型,支持多种主流文档格式。

立即体验