• 文献检索
  • 文档翻译
  • 深度研究
  • 学术资讯
  • Suppr Zotero 插件Zotero 插件
  • 邀请有礼
  • 套餐&价格
  • 历史记录
应用&插件
Suppr Zotero 插件Zotero 插件浏览器插件Mac 客户端Windows 客户端微信小程序
定价
高级版会员购买积分包购买API积分包
服务
文献检索文档翻译深度研究API 文档MCP 服务
关于我们
关于 Suppr公司介绍联系我们用户协议隐私条款
关注我们

Suppr 超能文献

核心技术专利:CN118964589B侵权必究
粤ICP备2023148730 号-1Suppr @ 2026

文献检索

告别复杂PubMed语法,用中文像聊天一样搜索,搜遍4000万医学文献。AI智能推荐,让科研检索更轻松。

立即免费搜索

文件翻译

保留排版,准确专业,支持PDF/Word/PPT等文件格式,支持 12+语言互译。

免费翻译文档

深度研究

AI帮你快速写综述,25分钟生成高质量综述,智能提取关键信息,辅助科研写作。

立即免费体验

CT 偶然发现的肺部亚实性结节:病因与处理方法。

Incidental, subsolid pulmonary nodules at CT: etiology and management.

机构信息

Department of Radiology.

出版信息

Cancer Imaging. 2013 Sep 23;13(3):365-73. doi: 10.1102/1470-7330.2013.9025.

DOI:10.1102/1470-7330.2013.9025
PMID:24061063
原文链接:https://pmc.ncbi.nlm.nih.gov/articles/PMC3800431/
Abstract

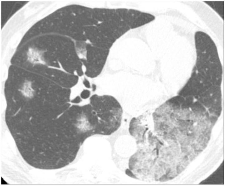
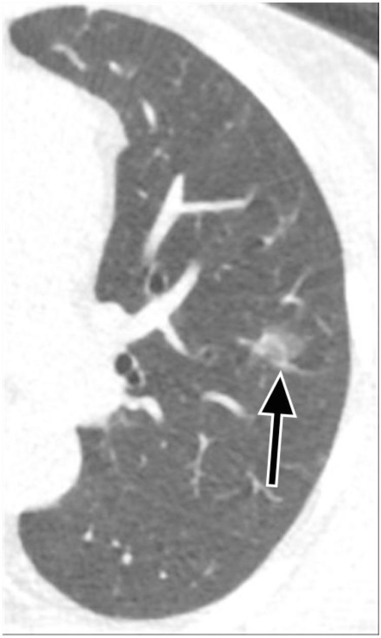
Pulmonary nodules, both solid and subsolid, are common incidental findings on computed tomography (CT) studies. Subsolid nodules (SSNs) may be further classified as either pure ground-glass nodules or part-solid nodules. The differential diagnosis for an SSN is broad, including infection, organizing pneumonia, inflammation, hemorrhage, focal fibrosis, and neoplasm. Adenocarcinomas of the lung are currently the most common type of lung cancer, representing 30-35% of all primary lung tumors, and the subtype of bronchioloalveolar cell carcinoma (BAC) commonly presents as an SSN. In 2011, a new classification system for lung adenocarcinomas was proposed by the International Association for the Study of Lung Cancer, the American Thoracic Society, and the European Respiratory Society. An important feature of the new system is the relinquishment of the term BAC in favor of more specific histologic subtypes. It has been reported that these subtypes are associated with characteristic CT findings. This article reviews the new classification system of lung adenocarcinomas, discusses and illustrates the associated CT findings, and outlines the current recommendations for further diagnosis, treatment, and follow-up of SSNs based on computed tomography findings.

摘要

肺部结节,无论是实性还是亚实性,都是计算机断层扫描(CT)研究中的常见偶然发现。亚实性结节(SSN)可进一步分为纯磨玻璃结节或部分实性结节。SSN 的鉴别诊断范围很广,包括感染、机化性肺炎、炎症、出血、局灶性纤维化和肿瘤。肺腺癌是目前最常见的肺癌类型,占所有原发性肺肿瘤的 30-35%,而细支气管肺泡细胞癌(BAC)亚型通常表现为 SSN。2011 年,国际肺癌研究协会、美国胸科学会和欧洲呼吸学会提出了一种新的肺腺癌分类系统。该系统的一个重要特点是放弃 BAC 一词,转而采用更具特异性的组织学亚型。据报道,这些亚型与特征性 CT 表现有关。本文回顾了肺腺癌的新分类系统,讨论并说明了相关的 CT 发现,并概述了基于 CT 发现对 SSN 进行进一步诊断、治疗和随访的当前建议。

https://cdn.ncbi.nlm.nih.gov/pmc/blobs/0ae9/3800431/861ee5dc7d99/ci13902511.jpg
https://cdn.ncbi.nlm.nih.gov/pmc/blobs/0ae9/3800431/9a29d044caa5/ci13902501.jpg
https://cdn.ncbi.nlm.nih.gov/pmc/blobs/0ae9/3800431/c7a42ebdef93/ci13902502.jpg
https://cdn.ncbi.nlm.nih.gov/pmc/blobs/0ae9/3800431/66e479702fbb/ci13902503.jpg
https://cdn.ncbi.nlm.nih.gov/pmc/blobs/0ae9/3800431/594b8847bc75/ci13902504.jpg
https://cdn.ncbi.nlm.nih.gov/pmc/blobs/0ae9/3800431/498c0b4c2079/ci13902505.jpg
https://cdn.ncbi.nlm.nih.gov/pmc/blobs/0ae9/3800431/5ae7d2b8444b/ci13902506.jpg
https://cdn.ncbi.nlm.nih.gov/pmc/blobs/0ae9/3800431/2135d4b3db52/ci13902507.jpg
https://cdn.ncbi.nlm.nih.gov/pmc/blobs/0ae9/3800431/14f9dbf4f064/ci13902508.jpg
https://cdn.ncbi.nlm.nih.gov/pmc/blobs/0ae9/3800431/ed36c90f0994/ci13902509.jpg
https://cdn.ncbi.nlm.nih.gov/pmc/blobs/0ae9/3800431/1281cee8ce41/ci13902510.jpg
https://cdn.ncbi.nlm.nih.gov/pmc/blobs/0ae9/3800431/861ee5dc7d99/ci13902511.jpg
https://cdn.ncbi.nlm.nih.gov/pmc/blobs/0ae9/3800431/9a29d044caa5/ci13902501.jpg
https://cdn.ncbi.nlm.nih.gov/pmc/blobs/0ae9/3800431/c7a42ebdef93/ci13902502.jpg
https://cdn.ncbi.nlm.nih.gov/pmc/blobs/0ae9/3800431/66e479702fbb/ci13902503.jpg
https://cdn.ncbi.nlm.nih.gov/pmc/blobs/0ae9/3800431/594b8847bc75/ci13902504.jpg
https://cdn.ncbi.nlm.nih.gov/pmc/blobs/0ae9/3800431/498c0b4c2079/ci13902505.jpg
https://cdn.ncbi.nlm.nih.gov/pmc/blobs/0ae9/3800431/5ae7d2b8444b/ci13902506.jpg
https://cdn.ncbi.nlm.nih.gov/pmc/blobs/0ae9/3800431/2135d4b3db52/ci13902507.jpg
https://cdn.ncbi.nlm.nih.gov/pmc/blobs/0ae9/3800431/14f9dbf4f064/ci13902508.jpg
https://cdn.ncbi.nlm.nih.gov/pmc/blobs/0ae9/3800431/ed36c90f0994/ci13902509.jpg
https://cdn.ncbi.nlm.nih.gov/pmc/blobs/0ae9/3800431/1281cee8ce41/ci13902510.jpg
https://cdn.ncbi.nlm.nih.gov/pmc/blobs/0ae9/3800431/861ee5dc7d99/ci13902511.jpg

相似文献

1
Incidental, subsolid pulmonary nodules at CT: etiology and management.CT 偶然发现的肺部亚实性结节:病因与处理方法。
Cancer Imaging. 2013 Sep 23;13(3):365-73. doi: 10.1102/1470-7330.2013.9025.
2
Overview and strategic management of subsolid pulmonary nodules.肺部亚实性结节的概述和策略管理。
J Thorac Imaging. 2012 Jul;27(4):240-8. doi: 10.1097/RTI.0b013e31825d515b.
3
Nodule characterization: subsolid nodules.结节特征:亚实性结节
Radiol Clin North Am. 2014 Jan;52(1):47-67. doi: 10.1016/j.rcl.2013.08.011. Epub 2013 Oct 6.
4
A Subsolid Nodules Imaging Reporting System (SSN-IRS) for Classifying 3 Subtypes of Pulmonary Adenocarcinoma.一种用于对肺腺癌三种亚型进行分类的亚实性结节影像报告系统(SSN-IRS)。
Clin Lung Cancer. 2020 Jul;21(4):314-325.e4. doi: 10.1016/j.cllc.2020.01.014. Epub 2020 Feb 6.
5
Subsolid pulmonary nodules and the spectrum of peripheral adenocarcinomas of the lung: recommended interim guidelines for assessment and management.肺亚实性结节及肺周围性腺癌谱:评估与管理的推荐性暂行指南。
Radiology. 2009 Dec;253(3):606-22. doi: 10.1148/radiol.2533090179.
6
Lung adenocarcinomas: correlation of computed tomography and pathology findings.肺腺癌:计算机断层扫描与病理结果的相关性
Diagn Interv Imaging. 2016 Oct;97(10):955-963. doi: 10.1016/j.diii.2016.06.021. Epub 2016 Sep 14.
7
Subsolid pulmonary nodules: CT-pathologic correlation using the 2011 IASLC/ATS/ERS classification.亚实性肺结节:使用2011年国际肺癌研究协会/美国胸科学会/欧洲呼吸学会分类的CT-病理对照
Clin Imaging. 2015 May-Jun;39(3):344-51. doi: 10.1016/j.clinimag.2014.12.009. Epub 2014 Dec 20.
8
Subsolid pulmonary nodules: imaging evaluation and strategic management.肺部磨玻璃结节:影像学评估与策略管理。
Curr Opin Pulm Med. 2012 Jul;18(4):304-12. doi: 10.1097/MCP.0b013e328354a5f2.
9
Current readings: radiologic interpretation of the part-solid nodule: clinical relevance and novel technologies.当前解读:部分实性结节的放射学解读:临床相关性与新技术
Semin Thorac Cardiovasc Surg. 2014 Summer;26(2):145-56. doi: 10.1053/j.semtcvs.2014.07.001. Epub 2014 Jul 16.
10
Ground-glass opacity nodules: histopathology, imaging evaluation, and clinical implications.磨玻璃密度结节:组织病理学、影像学评估及临床意义。
J Thorac Imaging. 2011 May;26(2):106-18. doi: 10.1097/RTI.0b013e3181fbaa64.

引用本文的文献

1
Prognosis of surgically resected clinical stage 1A non-small cell lung cancers manifesting as a subsolid nodule on computed tomography including pure ground glass nodules.表现为亚实性结节(包括纯磨玻璃结节)的手术切除的临床1A期非小细胞肺癌的预后
Cochrane Database Syst Rev. 2025 Mar 19;3(3):CD016091. doi: 10.1002/14651858.CD016091.
2
Comparing the Efficacy of Empirical Anti-Infective Therapy and Follow-Up Observation for Newly Diagnosed Pulmonary Ground-Glass Nodules With Suspected Inflammatory Etiology: A Multicenter Prospective Observational Study Protocol.比较经验性抗感染治疗与随访观察对新诊断的疑似炎症病因的肺磨玻璃结节的疗效:一项多中心前瞻性观察研究方案。
Health Sci Rep. 2024 Nov 13;7(11):e70201. doi: 10.1002/hsr2.70201. eCollection 2024 Nov.
3

本文引用的文献

1
Imaging bronchogenic adenocarcinoma: emerging concepts.影像学诊断支气管源性腺癌:新出现的概念
J Comput Assist Tomogr. 2012 Nov-Dec;36(6):629-35. doi: 10.1097/RCT.0b013e3182689305.
2
Radiologic implications of the 2011 classification of adenocarcinoma of the lung.2011 年肺腺癌分类的放射学意义。
Radiology. 2013 Jan;266(1):62-71. doi: 10.1148/radiol.12120240. Epub 2012 Oct 15.
3
Recommendations for the management of subsolid pulmonary nodules detected at CT: a statement from the Fleischner Society.实性和亚实性肺结节计算机体层成像处理的若干建议: Fleischner 学会的立场声明。
Detection of early-stage lung cancer in sputum using automated flow cytometry and machine learning.使用自动化流式细胞术和机器学习检测痰液中的早期肺癌。
Respir Res. 2023 Jan 21;24(1):23. doi: 10.1186/s12931-023-02327-3.
4
Intraoperative Molecular Imaging of Lung Cancer: A Review.肺癌术中分子影像学:综述
Surg Oncol Clin N Am. 2022 Oct;31(4):685-693. doi: 10.1016/j.soc.2022.06.006. Epub 2022 Sep 27.
5
The Impact of EGFR Tyrosine Kinase Inhibitor on the Natural Course of Concurrent Subsolid Nodules in Patients with Non-Small Cell Lung Cancer.表皮生长因子受体酪氨酸激酶抑制剂对非小细胞肺癌患者同时存在的亚实性结节自然病程的影响。
Cancer Res Treat. 2022 Jul;54(3):817-826. doi: 10.4143/crt.2021.822. Epub 2021 Nov 9.
6
Neutrophil-Lymphocyte Ratio as a Predictive Factor of Growing Malignant Pulmonary Ground-glass Opacity.中性粒细胞与淋巴细胞比值作为恶性肺磨玻璃影进展的预测因素
Cancer Manag Res. 2021 Jul 13;13:5651-5655. doi: 10.2147/CMAR.S319190. eCollection 2021.
7
Preoperative consolidation-to-tumor ratio is effective in the prediction of lymph node metastasis in patients with pulmonary ground-glass component nodules.术前强化-肿瘤比值在预测肺磨玻璃成分结节患者淋巴结转移中具有有效性。
Thorac Cancer. 2021 Apr;12(8):1203-1209. doi: 10.1111/1759-7714.13899. Epub 2021 Feb 25.
8
Lymphadenectomy is Unnecessary for Pure Ground-Glass Opacity Pulmonary Nodules.对于纯磨玻璃密度肺结节,淋巴结清扫并无必要。
J Clin Med. 2020 Mar 2;9(3):672. doi: 10.3390/jcm9030672.
9
18F-fluorodeoxyglucose positron emission tomography/computed tomography in the diagnosis of benign pulmonary lesions in sarcoidosis.18F-氟脱氧葡萄糖正电子发射断层扫描/计算机断层扫描在结节病良性肺病变诊断中的应用
Transl Lung Cancer Res. 2019 Jun;8(3):208-213. doi: 10.21037/tlcr.2019.06.09.
10
[Diagnosis and Treatment of Pulmonary Ground-glass Nodules].[肺磨玻璃结节的诊断与治疗]
Zhongguo Fei Ai Za Zhi. 2019 Jul 20;22(7):449-456. doi: 10.3779/j.issn.1009-3419.2019.07.07.
Radiology. 2013 Jan;266(1):304-17. doi: 10.1148/radiol.12120628. Epub 2012 Oct 15.
4
Reproducibility of histopathological subtypes and invasion in pulmonary adenocarcinoma. An international interobserver study.肺腺癌组织学亚型和浸润程度的可重复性。一项国际间观察者研究。
Mod Pathol. 2012 Dec;25(12):1574-83. doi: 10.1038/modpathol.2012.106. Epub 2012 Jul 20.
5
CT screening for lung cancer: implication of lung biopsy recommendations.肺癌 CT 筛查:肺活检推荐的影响。
AJR Am J Roentgenol. 2012 Feb;198(2):351-8. doi: 10.2214/AJR.11.6726.
6
International association for the study of lung cancer/american thoracic society/european respiratory society international multidisciplinary classification of lung adenocarcinoma.国际肺癌研究协会/美国胸科学会/欧洲呼吸学会国际多学科肺腺癌分类。
J Thorac Oncol. 2011 Feb;6(2):244-85. doi: 10.1097/JTO.0b013e318206a221.
7
Safe and effective minimally invasive approaches for small ground glass opacity.安全有效的微创方法治疗小范围磨玻璃影。
Ann Thorac Surg. 2010 Jun;89(6):S2114-7. doi: 10.1016/j.athoracsur.2010.03.075.
8
Clinicopathologic analysis of multiple (five or more) atypical adenomatous hyperplasias (AAHs) of the lung: evidence for the AAH-adenocarcinoma sequence.肺内多个(五个或更多)不典型腺瘤样增生(AAH)的临床病理分析:AAH-腺癌序列的证据。
J Thorac Oncol. 2010 Apr;5(4):466-71. doi: 10.1097/JTO.0b013e3181ce3b73.
9
Transient part-solid nodules detected at screening thin-section CT for lung cancer: comparison with persistent part-solid nodules.筛查肺癌用薄层 CT 检测到的部分实性结节:与持续存在的部分实性结节的比较。
Radiology. 2010 Apr;255(1):242-51. doi: 10.1148/radiol.09090547. Epub 2010 Feb 19.
10
Pulmonary ground-glass nodules: increase in mass as an early indicator of growth.肺部磨玻璃结节:质量增加是生长的早期指标。
Radiology. 2010 Apr;255(1):199-206. doi: 10.1148/radiol.09090571. Epub 2010 Feb 1.