Ren Zhenhua, Wang Jiayin, Wang Shuyan, Zou Chunlin, Li Xiaobo, Guan Yunqian, Chen Zhiguo, Zhang Y Alex
1] Cell Therapy Center, Xuanwu Hospital, Capital Medical University, and Key Laboratory of Neurodegeneration, Ministry of Education, Beijing, 100053, China [2] Department of Anatomy, Anhui Medical University, Hefei, 230032, China [3].
Sci Rep. 2013 Sep 27;3:2786. doi: 10.1038/srep02786.
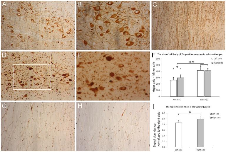
Glial cell-derived neurotrophic factor (GDNF) has shown beneficial effects in models of Parkinson's disease. The mild results observed in the double-blind clinical trial by intraputamenal infusion of recombinant GDNF proteins warrant a search for alternative delivery methods. In this study, we investigated the function of autologous mesenchymal stem cells (MSCs) expressing GDNF (GDNF-MSCs) for protection against MPTP-induced injury in cynomolgus monkeys. MSCs were obtained from the bone marrow of individual monkeys and gene-modified to express GDNF. Following unilateral engraftment of GDNF-MSCs into the striatum and substantia nigra, the animals were challenged with MPTP to induce a stable systemic Parkinsonian state. The motor functions were spared in the contralateral limbs of monkeys receiving GDNF-MSCs, but not in those receiving MSCs alone. In the striatum of the grafted hemisphere, dopamine levels were higher and dopamine uptake was enhanced. The results suggest that autologous MSCs may be a safe vehicle to deliver GDNF for enhancing nigro-striatum functions.
胶质细胞源性神经营养因子(GDNF)在帕金森病模型中已显示出有益作用。经壳核内输注重组GDNF蛋白的双盲临床试验中观察到的效果欠佳,这就需要寻找其他给药方法。在本研究中,我们研究了表达GDNF的自体间充质干细胞(GDNF-MSCs)对食蟹猴MPTP诱导损伤的保护作用。从个体猴子的骨髓中获取间充质干细胞,并对其进行基因改造以表达GDNF。将GDNF-MSCs单侧植入纹状体和黑质后,用MPTP对动物进行攻击以诱导稳定的全身性帕金森状态。接受GDNF-MSCs的猴子对侧肢体的运动功能得以保留,但仅接受间充质干细胞的猴子则不然。在移植半球的纹状体中,多巴胺水平较高且多巴胺摄取增强。结果表明,自体间充质干细胞可能是一种安全载体,可用于递送GDNF以增强黑质-纹状体功能。